Optical coherence tomography (OCT) has become an important tool for the clinical evaluation of the optic nerve and retina. Although OCT dates to the early 1990s, the introduction of the Stratus OCT (Carl Zeiss Meditec) in 2001—the original time-domain technology—marks when OCT became widely accessible. The Stratus OCT measured retinal nerve fiber layer (RNFL) thickness via a 3.5-mm-diameter circle centered on the optic disc and used radial scans to provide measurements of the optic nerve head (ONH) such as disc, cup, and rim area. Spectral-domain OCT, first introduced in the United States in 2006 by Optovue with the RTVue OCT, offered improvements over time-domain OCT. The spectral-domain Cirrus OCT (Carl Zeiss Meditec), released in 2007, initially only measured RNFL thickness. Software modifications released soon thereafter made evaluating the ONH possible by creating a cube of data that could be used for different measurements. Heidelberg Engineering recently released the Glaucoma Module Premium Edition (GMPE) in Europe for Spectralis (available since 2008) that allows for the evaluation of ONH parameters. (GMPE is not yet approved for use in the United States.). The Spectralis has measured the RNFL since its introduction.
Alternatively, as OCT devices have evolved, a few innovations stand out. The devices' resolution has improved, resulting in better segmentation of the retinal layers and better test-retest repeatability. These advances allow the identification and segmentation of individual layers, such as the ganglion cell layer in the macula region, and the recognition of anatomical landmarks such as Bruch membrane opening (BMO), through which the optic nerve passes. The identification of the BMO provides a more consistent measurement of the optic disc's size and rim area.
ONH PARAMETERS AS A DIAGNOSTIC TOOL
Initially, there were concerns about using ONH parameters to detect early glaucomatous damage, because early changes in the disease process can be subtle and wide overlap exists in the ONH measurements of healthy and glaucomatous eyes. Yet, OCT scans have been shown to differentiate between healthy and glaucomatous eyes using RNFL measurements1,2 and, more recently, with ONH parameters.3,4 One important change that improved the use of ONH parameters as a diagnostic tool, instituted with both the Cirrus and Spectralis OCT devices, is the use of the BMO to define the border of the optic disc margin, which then serves as a reference structure for other measurements (Figures 1 and 2).5 The BMO is clinically invisible but can be identified accurately and repeatedly with OCT as compared to the clinician's observation of where the disc margins lie.
The internal limiting membrane is the anterior boundary for neuroretinal tissue and a structure that OCT is also capable of consistently identifying. Rather than horizontal rim width, which may overestimate the extent of rim tissue, the rim tissue orientation at the point of measurement is taken into account.6 The orientation of rim tissue varies at different locations around the ONH.7 The minimum distance from the BMO to the internal limiting membrane is used to define the amount of rim tissue around the circumference of the nerve. Thus, the BMO minimal rim width (MRW) is a geometrically and anatomically accurate depiction of neuroretinal rim width at each point on the nerve.
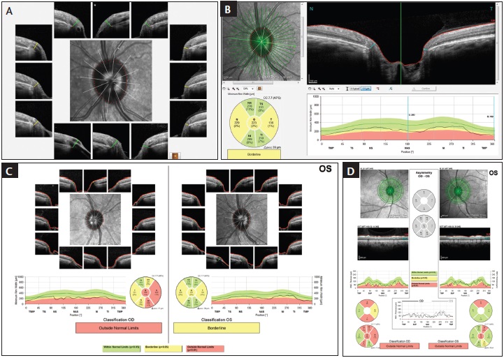
Figure 1. A Spectralis OCT multicolor image from the left eye of an individual with primary open-angle glaucoma. Wedgeshaped RNFL defects are seen in the superior and inferior portions of the image (A). This is the enlarged image of the left eye from the Cirrus OCT RNFL deviation map. The disc margins are highlighted as well as the measurement ring that is 3.5 mm in diameter. Areas are flagged as yellow or red, indicating they are reduced in thickness when compared to the reference dataset (B). This is an enlarged left-eye image from the Cirrus OCT printout showing the extracted horizontal tomogram. The black circle indicates the placement of BMO, and the red line indicates the internal limiting membrane. A line from the black circle to the red circle is used to measure the MRW (C). The Cirrus OCT printout from this patient. The neuroretinal rim thickness map (middle of the page between the RNFL deviation maps) is color-coded with the left eye (dotted line) crossing from areas of green to red, indicating thin rim tissue compared to the normative dataset (D).
For both the Cirrus and Spectralis OCT devices, MRW is used and compared to a reference set of healthy individuals (Figures 1 and 2). The Spectralis uses 24 radial scans, giving 48 equidistant data points. The Spectralis will further align the sector orientation based upon the fovea-to-BMO center angle. For the Cirrus OCT, the MRW is estimated over a continuum as data points are pulled from the data cube. The Cirrus OCT fits a plane to the BMO surface and uses that plane to characterize and correct for how the optic nerve is tilted relative to the retinal surface. Also, the Cirrus corrects for disc size when comparing ONH measurements to normative limits.
Both devices present their results using a temporal-superior-nasal-inferior-temporal scale, which is color-coded based upon normative limits (green, yellow, red; Figures 1 and 2). For the Spectralis OCT's sector map, the results are provided in a Garway-Heath layout, with the superior and inferior region sectors 40º in size, temporal 90º, and nasal 110º. The raw scores are displayed alongside a number indicating where the measurement falls in the normative data distribution. The Cirrus OCT also allows the clinician to learn where a measurement falls within the normative distribution but requires the clinician to click on a triangle in the parameters section of the screen to retrieve this information (Figure 3).
With the introduction of the GMPE software for Spectralis, RNFL analysis is provided using three different circle diameters centered on the optic disc (3.5, 4.1, and 4.7 mm in diameter). The RNFL measurements also show where the measurement falls within the normative data range. The significance of the larger circles' diameters has not been evaluated for diagnostic significance (Figure 2).
COMBINING STRUCTURAL PARAMETERS
When Mwanza et al evaluated the ability of Cirrus ONH parameters to discriminate healthy eyes from glaucomatous eyes, they found that the best parameters were vertical rim thickness, rim area, RNFL thickness at 7 o'clock, RNFL thickness in the inferior quadrant, vertical cup-to-disc ratio, and average RNFL thickness.4 The area under the curve for these parameters varied from 0.963 to 0.890. The best ONH parameters performed similarly to RNFL with regard to differentiating glaucomatous eyes from healthy eyes. Chauhan et al examined the ability of the BMO-MRW with the Spectralis OCT to differentiate healthy eyes from glaucomatous eyes and reported that the global BMO-MRW provided the best diagnostic performance.6 At 95% specificity, the sensitivity of the RNFL was 70%; BMO horizontal rim width was 51%; and BMO-MRW was 81%.
Figure 2. The Spectralis GMPE image from the left eye of the individual in Figure 1. The placement of the BMO is seen as the red dots on the image in the center of the screen as well as on the individual images. The line drawn from the red dot to the retinal surface indicates the orientation of BMO. The line is color-coded based upon whether the measurement is flagged as outside normative limits (A). An image of the MRW for an individual section. In the top left is the orientation of the lines used for the measurement with the darker green line indicating the section being analyzed. The top right shows the B-scan of this section. The bottom left shows the sector analysis using Garway-Heath sectors. The measurements are seen with their placement in the normative distribution in parentheses below the measurement. The global score is in the center and is associated with the evaluation as a borderline presentation. Areas seen as green inferior and superior in the sector map are close to being flagged as abnormal. The lower right image shows the color-coded temporal-superior-nasal-inferior-temporal profile of neuroretinal rim tissue. The blue line going through the green area indicates the mean of the distribution. The black line is the actual measurement with the confidence limits color-coded. The disc area is 1.96 mm2 (B). The Spectralis GMPE ONH printout for this patient (C). The RNFL printout for the GMPE module for this patient. Three circle diameters are created and compared to normative data. The sector analysis provides information on the measurement's place in the normative distribution. For the printout shown, the results for the small 3.5-mm circle scan are seen (D).
CONCLUSION
OCT is an evolving technology that provides measurements of the RNFL, the macula, and now, the ONH. The last add important information to facilitate practitioners' recognition of glaucoma. Based on my clinical experience, it is best to use ONH measurements in combination with other OCT structural parameters such as RNFL thickness and ganglion cell complex. Mwanza et al demonstrated that using all OCT structural parameters in combination with one another was more effective at detecting early glaucomatous damage compared with analyses done with individual parameters.8 n
Figure 3. The normative distributions for the left eye from the Cirrus OCT. ONH parameters are at the top of the page, and the RNFL parameters are at the bottom.
The author thanks V. Michael Patella, OD, from Carl Zeiss Meditec and Ali Tafreshi from Heidelberg Engineering for their review of this manuscript for accuracy.
Murray Fingeret, OD, is the chief of the Optometry Section, Department of Veterans Affairs, New York Harbor Healthcare System, Brooklyn, New York. He is a consultant to Carl Zeiss Meditec and Heidelberg Engineering and is on the advisory board for Carl Zeiss Meditec, Optovue, and Topcon. Dr. Fingeret may be reached at murrayf@optonline.net.
1. Deleon-Ortega JE, Arthur SN, McGwin G Jr, et al. Discrimination between glaucomatous and nonglaucomatous eyes using quantitative imaging devices and subjective optic nerve head assessment. Invest Ophthalmol Vis Sci. 2006;47:3374-3380.
2. Sehi M, Greenfield DS. Assessment of the retinal nerve fiber layer using optic coherence tomography and scanning laser polarimetry in progressive glaucomatous optic neuropathy. Am J Ophthalmol. 2006;142:1056-1059.
3. Greaney MJ, Hoffman DC, Garway-Heath DF, et al. Comparison of optic nerve imaging methods to distinguish normal eyes from those with glaucoma. Invest Ophthalmol Vis Sci. 2002;43:140-145.
4. Mwanza J-C, Oakley JD, Budenz DL, et al. Ability of the Cirrus HD-OCT optic nerve head parameters to discriminate normal from glaucomatous eyes. Ophthalmology. 2011;118:241-248.
5. Chauhan BC, Burgoyne CF. From clinical examination of the optic disc to clinical assessment of the optic nerve head: a paradigm change. Am J Ophthalmol. 2013;156:218-227.
6. Chauhan BC, O'Leary N, Al Mobarak FA, et al. Enhanced detection of open-angle glaucoma with an anatomically accurate optical coherence tomography-derived neuroretinal rim parameter. Ophthalmology. 2013;120:535-543.
7. Reis ASC, Sharpe GP, Yang H, et al. Optic disc margin anatomy in patients with glaucoma and normal controls with spectral-domain optical coherence tomography. Ophthalmology. 2012;119:738-747.
8. Mwanza J-C, Warren JL, Budenz DL, et al. Combining spectral-domain optical coherence tomography structural parameters for the diagnosis of glaucoma with early visual field loss. Invest Ophthalmol Vis Sci. 2013;54:8393-8400.
