Laser peripheral iridotomy is typically adequate therapy but not always.
By Nicholas P. Bell, MD
Primary angle closure (PAC) resides on a disease spectrum, increasing in severity from suspected to PAC to primary angle-closure glaucoma (PACG). Primary angle-closure suspects (PACS) have occludable anterior chamber angles at risk of appositional angle closure. An occludable angle is present if at least 180º to 270º (depending on whose definition is used) of the trabecular meshwork (TM) cannot be visualized by gonioscopy. In an eye with an occludable angle (and no history of prior intraocular surgery or ocular trauma), if there is clinical evidence of appositional or synechial iridotrabecular contact such as pigment smudging anterior to Schwalbe’s line or even a sliver of peripheral anterior synechiae, if the IOP is elevated, or if there is a history consistent with acute or intermittent subacute angle closure, the patient is no longer a suspect and should be diagnosed with PAC. If the condition has been present long enough to result in glaucomatous optic neuropathy, the patient has PACG.1,2
Currently, laser peripheral iridotomy (LPI) is the mainstay of treatment for PAC. LPI is performed to protect against progressive trabecular dysfunction and obstruction. By equalizing the aqueous pressure gradient between the anterior and posterior chambers, the procedure slightly deepens the anterior chamber angle by decreasing the degree of angle narrowing due to iris bowing from pupillary block. PAC eyes treated with LPI still need to be monitored, however, for possible progressive angle narrowing and the development of glaucoma. Studies have shown that most patients treated with LPI need subsequent treatment to control their IOP.3-6
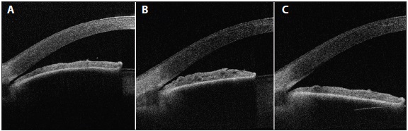
As the crystalline lens ages and becomes cataractous, it thickens and may secondarily narrow the anterior chamber angle.7 Numerous studies over the past decade have shown that lens extraction with IOL implantation is also a reasonable option for the management of PAC and PACG, maybe even more effective than LPI.8 Anatomical studies using anterior segment optical coherence tomography imaging have demonstrated that the angle deepens more after lens extraction than after LPI (Figure).9
Figure. Anterior segment optical coherence tomography of an eye before treatment (A), 1 week after LPI (B), and 1 week after lens extraction (performed 4 months after LPI; C).
Developing an approach to PACS requires asking a few questions. First, does the patient need to be treated? Some eyes with questionably occludable angles can be observed closely with serial gonioscopy with or without anterior segment imaging to watch for progression to PAC. These patients should only have their pupils dilated if necessary and should be cautioned against using medications that may cause pupillary dilation, especially over-the-counter cold remedies containing antihistamines and decongestants. Long-term medicinal therapy with miotics was common before laser technology became available, but the agents’ use today is limited by their local side effects and the risk of disease progression relative to treatment with LPI. If ophthalmologists decide to intervene surgically, most perform an LPI, but lens extraction may be a better choice for PACS in a few circumstances.
COEXISTENT CATARACT
Unlike patients with PAC, PACS have not yet demonstrated clinical evidence of iridotrabecular contact, and the TM is not yet diseased. Lens extraction may prevent the TM from ever becoming functionally damaged, essentially “curing” PAC. If a visually significant cataract is present, lens extraction is logical, because it will improve the patient’s BCVA while also treating his or her risk of angle closure. There is no need to perform an LPI prior to cataract surgery. If there is concern that pupillary dilation in the preoperative holding area may precipitate an acute angle-closure attack, the time spent between administering the dilating medications and the start of surgery should be minimized. Intracameral dilating solutions circumvent the problem completely. Standard phacoemulsification techniques should be employed. The only modification I make to my technique is to deliberately flush the angle with the bimanual irrigation handpiece at the very end of the procedure, but this precaution is probably more beneficial for the PAC patient in whose eyes peripheral anterior synechiae have started to form.
HYPEROPIA
Eyes on the PAC spectrum are typically hyperopic. Those with high magnitudes of hyperopia are often proportionately shorter with more congested anterior segments. In my experience, moderate (+2.25 to +5.00 D) and high (> +5.00 D) hyperopes seem to be at greater risk of PAC progression than low (≤ +2.00 D) hyperopes. Whereas the latter can often accommodate to functional emmetropia, high hyperopes frequently require distance correction all their lives. Corneal refractive surgical options for high hyperopes are limited, and initially successful outcomes are prone to regression. These patients also tend to become functionally presbyopic prematurely. Clear lens extraction (to be discussed later) may be an attractive refractive option for these patients, while also helping to prevent progression to PAC.
On the other hand, patients with nanophthalmos (bilateral small eyes, axial lengths < 20 mm, and very high hyperopia [often > +10.00 D]) should not be offered clear lens extraction and should only have cataracts removed when truly functionally necessary due to their increased risk of intraoperative and postoperative complications such as choroidal effusion and hemorrhage. LPI is recommended, but if the lens must be removed, prophylactic scleral windows are advisable.
CLEAR LENS EXTRACTION
What if the patient’s BCVA is 20/30? Or 20/25? Or 20/20? How much weight should be given to the patient’s functional complaint or decrease in vision with brightness acuity testing when drawing the line between a cataract that is not quite visually significant and a clear lens? Most ophthalmologists consider clear lens extraction to be a bit too aggressive for PACS, owing to vision-threatening surgical risks such as endophthalmitis, retinal detachment, and cystoid macular edema. Another consequence of lens extraction in sufficiently young patients is that some may have difficulty adapting to the acute loss of accommodation. As surgical options for presbyopic correction continue to improve, this may become less problematic.
CONCLUSION
Although LPI is typically adequate therapy for PACS, lens extraction should be performed when the patient has a visually significant cataract, and the option can be offered to moderate to high hyperopes who would gain a refractive benefit.
Nicholas P. Bell, MD, is A. G. McNeese, Jr professor and clinical associate professor in the Ruiz Department of Ophthalmology and Visual Science, The University of Texas Medical School, and Robert Cizik Eye Clinic, both in Houston. Dr. Bell may be reached at (713) 559-5200; nbell@cizikeye.org.
1. Foster PJ, Buhrmann R, Quigley HA, et al. The definition and classification of glaucoma in prevalence surveys. Br J Ophthalmol. 2002;86(2):238-242.
2. AAO PPP Panel, Hoskins Center for Quality Eye Care. Primary Angle Closure PPP - 2010. American Academy of Ophthalmology One Network website. October 2010. http://one.aao.org/preferred-practice-pattern/primary-angle-closure-ppp--october-2010. Accessed January 26, 2015.
3. Cumba RJ, Nagi KS, Bell NP, et al. Clinical outcomes of peripheral iridotomy in patients with the spectrum of chronic primary angle closure. ISRN Ophthalmol. 2013;2013828972.
4. Alsagoff Z, Aung T, Ang LP, et al. Long-term clinical course of primary angle-closure glaucoma in an Asian population. Ophthalmology. 2000;107(12):2300-2304.
5. Peng PH, Nguyen H, Lin HS, et al. Long-term outcomes of laser iridotomy in Vietnamese patients with primary angle closure. Br J Ophthalmol. 2011;95(9):1207-1211.
6. Rosman M, Aung T, Ang LP, et al. Chronic angle-closure with glaucomatous damage: long-term clinical course in a North American population and comparison with an Asian population. Ophthalmology. 2002;109(12):2227-2231.
7. Tarongoy P, Ho CL, Walton DS. Angle-closure glaucoma: the role of the lens in the pathogenesis, prevention, and treatment. Surv Ophthalmol. 2009;54(2):211-225.
8. Emanuel ME, Parrish RK, 2nd, Gedde SJ. Evidence-based management of primary angle closure glaucoma. Curr Opin Ophthalmol. 2014;25(2):89-92.
9. Gross J, Baker LA, Chuang AZ, et al. Comparing the effect of laser peripheral iridotomy to lens extraction on anterior segment morphology in narrow angle eyes using anterior segment optical coherence tomography. IOVS. 2014;55:e-abstract 6122.
Currently, this procedure is a first-line option only when the patient has a concomitant cataract.
By Garry P. Condon, MD
I have been asked to comment on the potential role for lens extraction alone as first-line therapy for patients classified as primary angle-closure suspects (PACS). For the purposes of these comments, I will define PACS as individuals demonstrating closure of greater than 180º of the anterior chamber angle without abnormally elevated IOP or evidence of glaucomatous damage.
THE UNDISPUTED MAINSTAY OF TREATMENT
Compared with any other surgical intervention, the extraction of the crystalline lens has the greatest positive impact on anterior chamber angle width (Figure). Its beneficial effect on angle width and anterior chamber depth is proportionately greater in eyes with narrower angles to begin with compared to eyes with more open angles before lens removal.1 Studies that used lens extraction as a primary component in the surgical management of chronic and acute angle-closure glaucoma have moved it closer to the forefront of surgical therapy and have led to its more frequently supplanting filtration surgery in treating many of these patients.2
Considering eyes at risk for angle closure, those with partial appositional or subacute angle closure, and those in an acute attack of angle closure, the indisputable mainstay of definitive, nonmedical, first-line therapy is laser peripheral iridotomy (LPI). Adjunctive iridoplasty followed by lens extraction may be considered if there is a lack of response to or an inability to create a patent peripheral iridotomy. Moving to these additional interventions may be dictated by the amount of resolution of the anatomical closure as well as the physician’s overall concern about future IOP control and the patient’s ongoing risk for glaucomatous damage.
Although currently under study in Asia, lens extraction alone as a first-line approach is certainly not at this time an accepted alternative to LPI for managing PACS. That said, for a patient with cataract-related visual complaints who also meets the definition of PACS, I would proceed with straightforward cataract surgery without first performing an LPI. Indeed, in my experience, the likelihood of causing an acute attack of angle closure with preoperative pupillary dilation is so remarkably low that I never treat these patients with a preoperative LPI. I will, however, perform intraoperative gonioscopy once the IOL is in position and reduce areas of peripheral anterior synechiae with a microforceps.
Figure. A gonioscopic view of an eye with suspected angle closure (A). After cataract surgery, the same eye exhibits a dramatically wider angle (B).
CONCLUSION
Except for cases of visually significant cataract, lens extraction surgery has not replaced attempting an LPI as first-line therapy when anatomical angle closure of any degree is evident. I look forward to learning more from current studies evaluating specific anterior segment relationships and parameters like “lens vault,” which might point to lens extraction as a better first-line approach in some types of PACS. n
Garry P. Condon, MD, is an associate professor of ophthalmology at Drexel University College of Medicine, a clinical associate professor at the University of Pittsburgh, and the chairman of the Department of Ophthalmology at Allegheny General Hospital in Pittsburgh. Dr. Condon may be reached at (412) 359- 6298; garrycondon@gmail.com.
1. Hayashi K, Hayashi H, Nakao F, Hayashi F. Changes in anterior chamber angle width and depth after intraocular lens implantation in eyes with glaucoma. Ophthalmology. 2000;107(4):698-703.
2. Tham CC, Kwong YY, Leung DY, et al. Phacoemulsification vs phacotrabeculectomy in chronic angle-closure glaucoma with cataract: complications [corrected]. Arch Ophthalmol. 2010;128(3):303-311. Erratum in: Arch Ophthalmol. 2010;128(9):1128.
