
Managing elderly patients with less than optimally controlled glaucoma creates dilemmas. How aggressive should one be, given the risks of the disease versus the risk of the treatment, particularly when the next step contemplated is surgical? The following case exemplifies the difficult questions that arise when a referring physician sends one of these patients for a surgical consultation. What is the patient’s life expectancy versus the rate of disease progression? What are the risks of filtration surgery in patients of advanced age? How should surgical technique be altered, if at all, to prevent complications?
AT A GLANCE
• When managing elderly patients with less than optimally controlled glaucoma, the surgeon must weigh the risks of the disease versus the risk of the treatment.
• In the case described herein, the surgeon and patient agreed to proceed with trabeculectomy with mitomycin C.
• A week and two days after surgery, the patient presented with pain and vision loss from a choroidal hemorrhage. He lost the ability to read, leaving the surgeon to question the choices he had made.
THE CASE
An 89-year-old white man was referred to me by a local general ophthalmologist on May 16, 2013, for a glaucoma surgical consultation. The patient had a longstanding history of severe primary open-angle glaucoma, and the referring physician was concerned about visual field progression in the patient’s better-seeing right eye. The visual potential was limited in his left eye by advanced glaucoma and dry age-related macular degeneration. He was on maximally tolerated glaucoma medications and had undergone trabeculoplasty on both eyes.
Given his advanced age, the patient’s health and life expectancy played a role in my recommendations. In addition to his ocular diagnoses, he had a history of hypertension as well as cardiovascular and cerebrovascular disease. Although the patient was wheelchair bound, he was mentally alert and enjoyed reading and watching television.
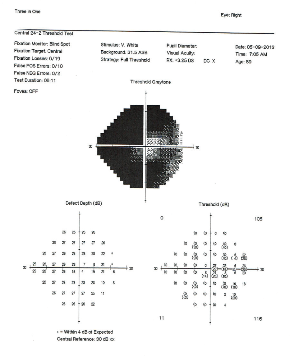
On exam, BCVA was 20/40 at distance and J2 at near in the right eye and count fingers at 6 feet in the left eye. The IOP measured 23 mm Hg OD and 25 mm Hg OS, and central corneal thickness was approximately 500 µm in each eye. The anterior segment exam was remarkable only for posterior chamber lenses. The macular findings were consistent with mild dry age-related macular degeneration in both eyes. The disc examination revealed almost total cupping of both optic nerves. The visual fields sent from the referring physician revealed progressive visual field loss in the right eye that was threatening fixation (Figure).
Figure. The patient’s preoperative visual field was consistent with severe glaucoma.
Having been burned in the past by surgical complications in the patient’s age group, I was hesitant to consider filtration surgery. The case for filtration surgery was compelling, however, and included the recent pressures and the rate of visual field loss. After a long and thorough discussion with the patient regarding the risks of advancing glaucoma versus those of a filtration procedure, we agreed to proceed with surgery. Because the conjunctiva was untouched, I opted for a trabeculectomy with mitomycin C over a tube shunt.
Within 2 weeks, I operated on the patient’s right eye. The procedure was straightforward: the conjunctiva was not excessively thin, and only two releasable flap sutures were required to produce a nearly watertight closure, which is my desired flap tamponade technique. On day 1, the patient’s vision was stable. The IOP measured 18 mm Hg and was easily massaged down to 12 mm Hg with bleb elevation. One week later, the bleb was nearly flat and moderately vascular, and the IOP was 22 mm Hg. Neither the IOP nor bleb elevation improved with digital massage, so I removed one suture, which immediately elevated the bleb and reduced the IOP to 10 mm Hg.
Two days later, the patient called the office to report pain and vision loss. As any glaucoma surgeon would suspect, the patient had suffered a choroidal hemorrhage in his right eye. Given its extent, I sent him to a vitreoretinal specialist, who drained the hemorrhage days later. The patient’s BCVA never improved beyond 20/400, and he lost the reading function he had enjoyed preoperatively.
LESSONS LEARNED
In retrospect, I can hear the paraphrased words of my mentor, George Spaeth, MD: “Treat the patient, Mike, not the pressure.” Did this patient truly need filtration surgery? Although this man’s surgery had an unfortunate outcome, it is impossible to determine if or when his useful vision would have succumbed to a similar fate from the disease. Nor is it possible to predict the comparative vision quality after loss from glaucomatous optic nerve atrophy versus the devastating hemorrhage in the case. Perhaps slow visual field loss of fixation would have been a better outcome for him.
Some studies addressing the rate of glaucomatous visual field loss in patients attempt to provide guidance for predicting patients’ risk of blindness from the disease. Those who present with significant visual field loss are at greater risk of blindness, and “fast progressors” over the early course of treatment are more likely to experience legal blindness during their lifetime.1,2
The patient in this case was experiencing an aggressive rate of visual field loss in his better-seeing eye, but he had risk factors for a hemorrhage, including advanced age and vascular disease.3,4 Regardless of which side of the argument one takes, the laws of averages and statistics do not necessarily predict the outcome of an individual patient who is seeking guidance.
Hindsight also had me questioning my surgical technique in this case. In high myopes, I typically place more flap sutures than necessary in order to avoid hypotony maculopathy. This practice can allow a more gradual and titratable IOP reduction postoperatively. The approach might have been a better choice for this patient, who was also at risk for hypotony-related complications. Moreover, the use of mitomycin C, another risk factor for hypotony, could also be questioned in this case.5
Finally, other surgical procedures for IOP reduction were available to me at the time. Ab externo canaloplasty with a retained suture and trabeculotomy ab interno were reasonable options. Although these procedures do not achieve the same degree of IOP reduction as trabeculectomy, the decrease might have been adequate for this patient’s needs.
To this day, two thoughts persist when I review this case. One is the phrase do no harm. When managing a progressive disease, however, acts of omission can cause harm just as easily as acts of commission. The second thought is that ophthalmologists and their patients today benefit from the explosion of potentially safer methods of glaucoma surgery during the past 10 years. Ab interno trabeculotomy and canaloplasty, trabecular microbypass stents, suprachoroidal stents, and new filtration surgery devices hold promise for yielding better quality-of-life outcomes for glaucoma patients regardless of their age or disease stage.
1. Bengtsson B, Heijl A. Prediction of glaucomatous visual field loss by extrapolation of linear trends. Arch Ophthalmol. 2009;127:1610-1615.
2. Foulsham WS, Fu L, Tatham AJ. Prior rates of visual field loss and lifetime risk of blindness in glaucomatous patients undergoing trabeculectomy. Eye. 2015;29(10):1353-1359.
3. Kamyar V, Schwartz SG, et al. Incidence of postoperative suprachoroidal hemorrhage after glaucoma filtration surgeries in the United States. Clin Ophthalmol. 2015;9:579-584.
4. Moshfeghi DM, Kim BY, et al. Appositional suprachoroidal hemorrhage: a case control study. Am J Ophthalmol. 2004;138(6):959-963.
5. Thomas M, Vajaranat TS, Aref AA. Hypotony maculopathy: clinical presentation and therapeutic methods. Ophthalmol Ther. 2015;4(2):79-88.
Section Editor Leon W. Herndon, MD
• professor of ophthalmology, Duke University of Eye Center,
• Durham, North Carolina
• (919) 684-6622; leon.herndon@duke.edu
Michael C. Stiles, MD
• owner, Stiles Eyecare Excellence and Glaucoma Institute in Overland Park, Kansas
• clinical assistant professor, Department of Ophthalmology, University of Kansas School of Medicine in Kansas City
• (913) 897-9299; mstiles@stileseye.com; Twitter @Mcraigstiles
• financial interest: none acknowledged
