CASE PRESENTATION No. 1
A 61-year-old white woman was referred to our practice for an evaluation of uncontrolled glaucoma in the left eye. Previous surgeries included bilateral LASIK in 2005 and a combined phaco-trabeculectomy in the left eye with subsequent bleb needling 6 months prior to her visit.
AT A GLANCE
• Two cases demonstrate progressive glaucoma in patients who have undergone previous glaucoma surgery.
• The first case illustrates how the use of a microinvasive glaucoma surgery device in a patient with a previous failed trabeculectomy and limited options can do well. In contrast, the second case illustrates that not all patients will have an adequate response to microinvasive glaucoma surgery.
At presentation, the patient was administering a fixed combination of brimonidine tartrate and timolol maleate (Combigan; Allergan) twice daily and bimatoprost ophthalmic solution 0.01% (Lumigan; Allergan) once at night, both in the left eye. Her BCVA measured 20/25 in the right eye and 20/150 with eccentric gaze in the left eye. An afferent pupillary defect was present in the left eye. The IOP was 12 and 32 mm Hg in the right and left eyes, respectively. An anterior segment examination of the right eye revealed a mild cataract. In the left eye, there was a flat, scarred- down bleb superiorly, a peripheral iridotomy at 12 o’clock, and a well-centered posterior chamber IOL. Gonioscopy revealed a scarred ostomy at 12 o’clock in the left eye, but the angle was otherwise open to the scleral spur 360° with 1+ pigmentation.
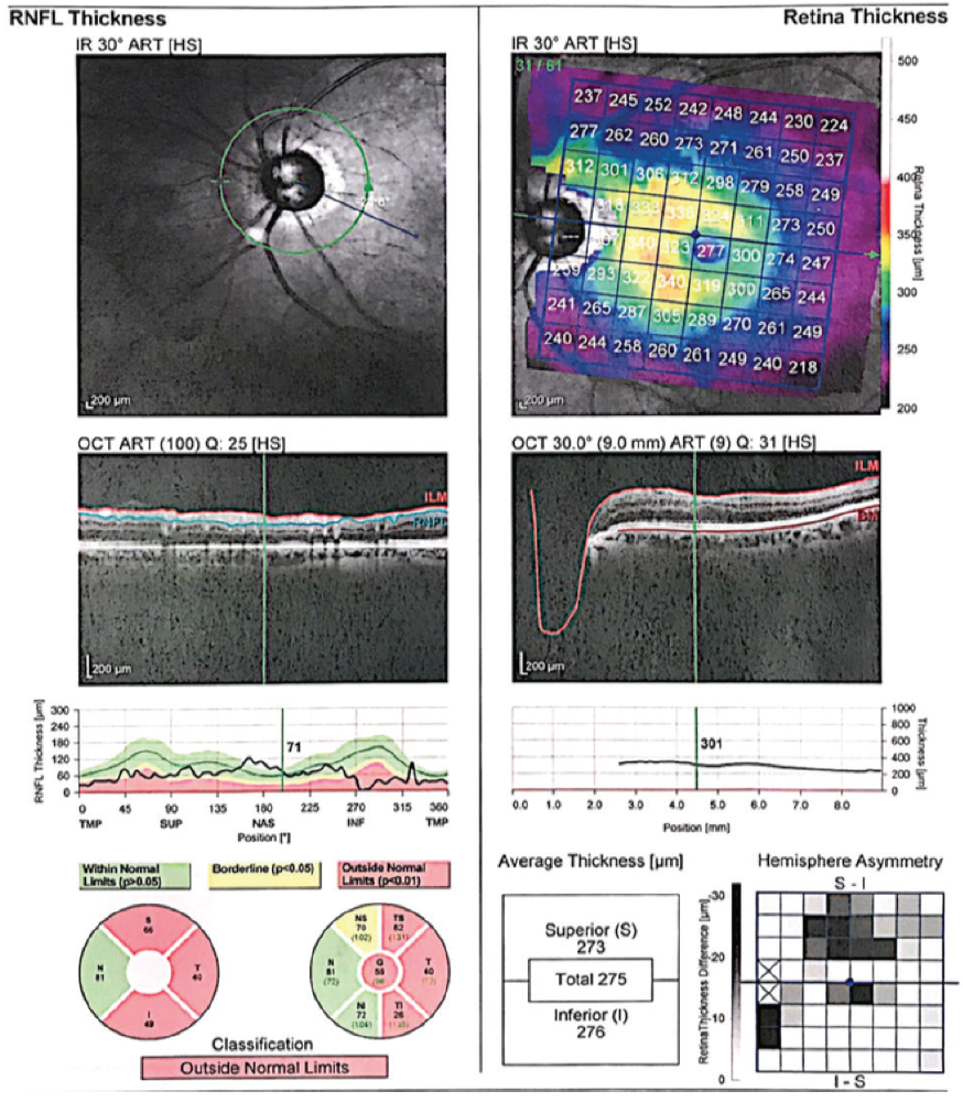
A posterior segment examination revealed a cup-to-disc ratio of 0.5 with an epiretinal membrane in the right eye. The left eye had a cup-to-disc ratio of 0.95 with pallor and an epiretinal membrane. Central corneal thickness by ultrasound pachymetry measured 511 µm OD and 510 µm OS. Visual field testing showed a relatively clean field in the right eye and severe loss in the left eye. Optic nerve optical coherence tomography showed no retinal nerve fiber layer (RNFL) thinning in the right eye but severe RNFL thinning in the left eye (Figures 1 and 2).
HOW WOULD YOU PROCEED?
• Would you add medication?
• Would you perform a laser procedure?
• Would you perform a surgical procedure?
Figure 1. Optical coherence tomography showing thinning of the RNFL and an epiretinal membrane.
Figure 2. Humphrey visual field testing (Carl Zeiss Meditec) showing severe visual field loss.
surgical COURSE
The patient underwent a goniotomy procedure with the Kahook Dual Blade (New World Medical). Her IOP has remained at 12 mm Hg or lower while staying on her medications for the 8 months since surgery.
CASE PRESENTATION No. 2
A 78-year-old white woman was referred to our practice for an evaluation of uncontrolled glaucoma in the right eye. Previous procedures included cataract surgery 14 years ago in both eyes; selective laser trabeculoplasty in the left eye 2 years ago; and a combination of Descemet stripping automated endothelial keratoplasty, two trabecular meshwork bypass stents placed at one time 1 clock hour apart, and endocyclophotocoagulation 1 year ago.
At presentation, the patient was administering bimatoprost ophthalmic solution 0.03% once at night, a fixed combination of brimonidine tartrate and timolol maleate twice daily, and brinzolamide (Azopt; Alcon) three times daily, with all medications in the right eye only. Her BCVA was 20/50 OD and 20/20 OS. An afferent pupillary defect was present in the right eye. Her IOP measured 41 and 15 mm Hg in the right and left eyes, respectively.
An anterior examination of the right eye demonstrated a clear, well-centered Descemet stripping endothelial keratoplasty graft, a peripheral iridotomy at 6 o’clock from previous surgery, and a well-centered posterior chamber IOL status post YAG capsulotomy. The left eye had a well-centered posterior chamber IOL status post YAG capsulotomy as well. Gonioscopy revealed two nasal, well-placed trabecular meshwork stents that were both patent and 2 clock hours apart in the right eye; otherwise, both angles were open to the scleral spur with 1+ pigmentation. A posterior segment examination revealed a cup-to-disc ratio of 0.9 in the right eye and 0.6 in the left eye. Central corneal thickness by ultrasound pachymetry was 556 µm OD and 521 µm OS. Visual field testing showed severe field loss in the right eye and a partial inferior arcuate defect in the left. Optic nerve optical coherence tomography demonstrated severe RNFL thinning in the right eye but none in the left.
HOW WOULD YOU PROCEED?
• Would you add oral medications?
• Would you perform a laser procedure?
• Would you perform a surgical procedure?
Surgical COURSE
The patient underwent the Xen subconjunctival bypass stent procedure (Allergan) with mitomycin C. Her IOP has remained at 18 mm Hg or lower at all visits postoperatively. At her most recent visit (6 months postoperatively), the IOP measured 12 mm Hg.
DISCUSSION
These two cases demonstrate progressive disease after glaucoma surgery. The first was a case of advanced glaucoma following a failed trabeculectomy in a young patient, and the second was a case of advanced glaucoma following a failed combined microinvasive glaucoma surgery (MIGS) procedure in a patient who had undergone Descemet stripping endothelial keratoplasty. The latter was not taking any steroid drops, so the elevated IOP was unlikely related to a steroid response.
Unfortunately, it is not uncommon for glaucoma to progress after surgical intervention. Until recently, these patients’ options were limited to another invasive procedure such as a trabeculectomy or tube shunt, each with its own risks.1 The growing availability of MIGS technologies gives surgeons and patients more choices.
Surgical options for the first patient included a repeat trabeculectomy, a glaucoma drainage device, or a MIGS procedure. At the time of presentation, the Xen Glaucoma Treatment System and the CyPass Micro-Stent (Alcon) were not available, but many other procedures were, including the iStent Trabecular Micro-Bypass Stent (Glaukos), the Kahook Dual Blade, ab interno canaloplasty, and gonioscopy-assisted transluminal trabeculoplasty.
The iStent and CyPass are approved for use in conjunction with cataract surgery, so using them in this case would have been off-label. Not all patients will have the IOP response that this patient did, but the case illustrates the potential success of a MIGS device in a patient with a previous failed trabeculectomy and limited options.
The primary surgical options discussed with the second patient included a trabeculectomy, a glaucoma drainage device, and subconjunctival microstenting—all available at presentation. Given her previous Descemet stripping automated endothelial keratoplasty, a glaucoma tube shunt would not have been ideal.
This case illustrates that, although a MIGS-first approach is reasonable in the treatment of many patients with glaucoma, these technologies will not lower IOP sufficiently in everyone. It is still important to be able to offer a bypass procedure and ensure that patients are aware of this potential need from the beginning.
All surgical options have advantages and shortcomings. MIGS procedures provide an alternative for surgeons to help patients with a minimally invasive approach, while understanding that a second trabeculectomy and/or tube shunt is still available if needed.
1. Gedde SJ, Schiffman JC, Feuer WJ, et al. Treatment outcomes in the Tube Versus Trabeculectomy (TVT) study after five years of follow-up. Am J Ophthalmol. 2012;153(5):789-803.
Michael D. Greenwood, MD
• glaucoma, cornea, cataract, and refractive surgery, Vance Thompson Vision, Fargo, North Dakota
• (701) 566-5390; 5390; michael.greenwood@vancethompsonvision.com; Twitter @migreenw
• financial disclosure: consultant to New World Medical
Russell Swan, MD
• cataract, refractive, cornea, and glaucoma surgeon, Vance Thompson Vision, Fargo, North Dakota
• (406) 219-0700; russell.swan@vancethompsonvision.com
• financial interest: none acknowledged
