CASE PRESENTATION
A 20-year-old man with high myopia (axial length, 35.08 mm) had a traumatic cataract removed from his left eye. Although the posterior capsule was intact, the surgeon was concerned about zonular weakness that he noted intraoperatively, so he placed a three-piece IOL in the sulcus in hopes that it would offer more stability than would a lens placed in the bag.
Two years postoperatively, the patient returned complaining of monocular diplopia. His IOL had subluxated inferiorly. It was repositioned in the OR but subluxated a second time 2 years later, whereupon it was again repositioned. Two years after that, the patient returned complaining of intermittent monocular diplopia, and the lens was found to be highly mobile in the sulcus. He had developed mild glaucoma and was referred for management of the disease and the IOL.
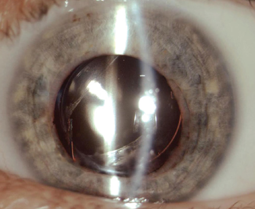
Figure 1. Slit-lamp retroillumination showed iris transillumination defects overlying the optic edge.
On examination, BCVA measured 20/30-2 in the affected eye. In the fellow eye, BCVA was 20/60, and there was amblyopia and an exotropia. The IOP measured 24 mm Hg OS on timolol, and the trabecular meshwork showed asymmetrically heavy pigmentation, with iris transillumination defects overlying the inferior optic edge (Figure 1). The IOL itself was mildly subluxated inferiorly, and ultrasound biomicroscopy (UBM) confirmed contact between the inferior iris and optic, with a Soemmering ring causing anterior displacement of the IOL (Figure 2). Visual field testing of the left eye demonstrated an early nasal step, and the optic nerve exhibited mild superior thinning.
Figure 2. In a vertical orientation (inferior angle is on the left), UBM demonstrated an inferiorly subluxated IOL, Soemmering ring, and optic-iris contact inferiorly.
How would you manage this case? Would you prescribe medical therapy or perform laser trabeculoplasty and defer surgery if the IOP and glaucomatous progression could be controlled? Would you treat the IOL subluxation, given that it is the likely cause of the glaucoma? Would you instead offer a combined IOL and glaucoma surgery?
—Case prepared by Devesh K. Varma, MD, FRCSC

DAVINDER S. GROVER, MD, MPH
Without question, this patient needs better IOP control. If he were not bothered by his intermittent monocular double vision, I would increase glaucoma medical therapy to a fixed combination of brimonidine and timolol or dorzolamide and timolol dosed twice a day, and I might consider starting a mild topical steroid if he had low-grade inflammation from the lens-iris contact. Because he has complained about the monocular diplopia, I would exchange the IOL for a scleral-fixated IOL and place a 250-mm2 Baerveldt glaucoma implant (Johnson & Johnson Vision) at the same time.
I would avoid angle surgery in this case, given the risk of bleeding and the complexity of the patient’s multiple prior surgeries. Additionally, if he were to develop a hyphema after angle surgery, blood might spill back to the vitreous, significantly decreasing vision for a few months in his sighted eye. The trabecular meshwork and downstream collector channels are likely damaged. Because he is highly myopic and glaucoma surgery will be combined with complicated anterior segment surgery, I think the safest and most predictable method by which to control the IOP would be a 250-mm2 Baerveldt glaucoma implant or a single-plate Molteno implant (Katena). In my experience, angle surgery does not work well in patients who have such a high degree of myopia.
If the Soemmering ring is prominent and causing the IOL to sit anteriorly, I might consider incising it and debulking the tissue with microsurgical forceps.

SHAKEEL SHAREEF, MD
This case highlights secondary pigmentary glaucoma with asymmetric dense trabecular pigmentation, iris transillumination defects, optic nerve changes, and visual field loss. The defects were caused by inferior iris chafing from the subluxated optic, as confirmed with UBM.
Repeated repositioning and findings of a highly mobile subluxated lens indicate inadequate capsular support, likely from zonulopathy or zonular loss. Although one could initiate IOP-lowering medication or perform laser trabeculoplasty to prevent further field loss, the subluxated IOL that is liberating pigment would still have to be addressed.
Previous use of a capsular tension ring and Ahmed Capsular Tension Segments (Morcher, US distributor FCI Ophthalmics) to stabilize the capsular bag would have averted the need to place the IOL in the sulcus. With an open-loop anterior chamber IOL, a compromised trabecular meshwork and long-term corneal decompensation are a concern. An iris-fixated IOL is not a viable option because it can contribute to pigment dispersion, iritis, and the formation of peripheral anterior synechiae.
I would recommend exchanging the subluxated IOL for a scleral-fixated IOL. Concern about long-term suture degradation leads me to advise either suturing the IOL with PTFE sutures (Gore-Tex) or fixating the IOL with a sutureless technique. Surgery would resolve the iris chafing, pigment liberation, and IOP spikes.1
To address the early visual field loss and mildly elevated IOP, I would combine lens surgery with either ab interno canaloplasty using the iTrack 250 (Ellex Medical Lasers) or goniotomy using the Kahook Dual Blade (New World Medical) to maintain an IOP in the midteens. Because of the patient’s young age, I would counsel him regarding his risk of secondary glaucoma from the initial trauma and his potential need for multiple interventions if IOP control is suboptimal.

JULIA SONG, MD
There is iris-lens chafing. The pigment dispersion may stabilize or worsen. The IOL may dislocate again, either spontaneously or with trauma, particularly if the patient is active in sports. If he has symptomatic glare, he may benefit from a sutured IOL with scleral fixation; I would not recommend iris fixation because the tissue is compromised. If lens surgery were elected, the ophthalmologist could consider options for concomitant glaucoma surgery to avoid IOP spikes and reduce morbidity.
Additional treatment options include adding medication to the current beta-blocker (a carbonic anhydrase inhibitor, alpha agonist, prostaglandin analogue, Rho kinase inhibitor, or anticholinergic) and selective laser trabeculoplasty. If the patient chooses to undergo glaucoma surgery, angle or trabecular meshwork procedures will be more appropriate than conventional surgeries (ie, trabeculectomy or a glaucoma drainage device implantation) because the glaucoma is mild.
I would thoroughly discuss with the patient his options: long-term (probably lifelong) topical medical therapy, laser therapy, or surgery. He will need to consider what his insurance plan covers, his willingness and ability to adhere to prescribed medical therapy, and his activity level. Fortunately, the glaucoma is not advanced, so the patient has time to try nonsurgical options if he wishes.

WHAT I DID:
DEVESH K. VARMA, MD, FRCSC
Zonular laxity and a large sulcus space in this highly myopic patient led to IOL instability, pigment shedding from the iris, and subsequent IOP elevation. Although adding medication or performing laser trabeculoplasty might have decreased the IOP in the short term, I took into account that the IOP could still fluctuate widely and that chronic exposure of the trabecular meshwork to pigment could cause more permanent dysfunction. My usual inclination in cases like this one is to address the underlying problem, particularly in a young patient who will otherwise face a long life of glaucoma management. I therefore decided to stabilize the IOL, which offered the additional benefit of addressing the patient’s intermittent monocular diplopia.
Figure 3. Postoperative slit-lamp examination showed the optic captured through a posterior capsulorhexis and the haptics in the sulcus.
Options included exchanging the current IOL for an iris-fixated Artisan IOL (Ophtec), anterior chamber IOL, or scleral-sutured IOL or fixating the haptics of the current IOL via an intrascleral fixation technique. I avoided iris suture fixation because it would have left the iris in close contact with the IOL and because pigment shedding might have persisted.
In this eye, the posterior capsule remained intact, allowing me to pursue a somewhat infrequently used option. I performed a posterior capsulorhexis and posterior optic capture, while leaving the haptics in the sulcus (Figure 3). This maneuver created some clearance between the IOL and the iris (Figure 4), thus addressing the uveitis-glaucoma-hyphema syndrome, while simultaneously stabilizing and centering the IOL and resolving the patient’s intermittent diplopia.
Postoperatively, the patient no longer had intermittent monocular diplopia. His BCVA improved slightly to 20/30+2. The IOP measured 16 mm Hg off timolol and remained stable for the next 5 years.
Figure 4. Postoperative UBM showed improved centration and clearance between the IOL and iris.
1. Dajee KP, Abbey AM, Williams GA. Management of dislocated intraocular lenses in eyes with insufficient capsular support. Curr Opin Ophthalmol. 2016;27(3):191-195.
Devesh K. Varma, MD, FRCSC | Section Editor
• Glaucoma and advanced anterior segment surgeon, Prism Eye Institute, Mississauga, Ontario, Canada
• Assistant Professor, University of Toronto
• devesh.varma@prismeye.ca
• Financial disclosure: None
Davinder S. Grover, MD, MPH
• Attending surgeon and clinician, Glaucoma Associates of Texas, Dallas
• Member, GT Editorial Board
• dgrover@glaucomaassociates.com
• Financial disclosure: Consultant (Allergan, New World Medical, Reichert, Shire); Lecturer (Allergan, Bausch + Lomb, New World Medical, Reichert); Medical Advisory Board (MicroOptx)
Shakeel Shareef, MD
• Professor, Flaum Eye Institute, University of Rochester School of Medicine, Rochester, New York
• shakeel_shareef@urmc.rochester.edu
• Financial disclosure: None
Julia Song, MD
• Private practice, Dr. Song Vision in Pasadena, Los Alamitos, and Long Beach, California
• jsongmd@drsongvision.com; www.DrSongVision.com
• Financial disclosure: None
