Winning and Losing

By Anand Mantravadi, MD

Vince Lombardi once said, “Winning is habit. Unfortunately, so is losing.”

There are many patients whose personal scenarios, stakes of surgery, and postoperative courses linger indelibly in my memory. Sometimes, second-guessing decisions and wishing for factors beyond my control to be within my control have led to sleepless nights for me.

A VISUAL PROFESSIONAL

Several years ago, I encountered a patient who was a former curator of an art museum and an avid artist himself. He had retired from his role at the museum and moved hours away from the city when he began to observe difficulty in his vision. Upon presentation, his visual acuity was 20/30 in each eye and, unfortunately, he had far advanced glaucomatous disc damage in both eyes with severe field loss.

What happened next is a scenario we all see far too often. Whether due to personal circumstances, distance, inability to get rides to the office, or other factors, the patient stopped following up regularly. He returned 1 year later with no light perception in his left eye and with 20/50 visual acuity and uncontrolled IOP in his right eye.

I urged him to proceed with surgery, and he underwent trabeculectomy with mitomycin C in his only sighted right eye. His immediate postoperative course was unremarkable, and by a few months after surgery he was off topical medications and seemed stable. However, follow-up was again an issue, and, nearly a year later, the patient returned, saying, “Doctor, I’m just not seeing well.”

Watch it Now

Complex Cataract Extraction With Transconjunctival Bleb Revision

The vision in his better-seeing eye had declined to light perception, and he had a grade 3 flat anterior chamber, a white cataract, a large bleb, and an IOP of 7 mm Hg. B-scan ultrasonography did not demonstrate any choroidal effusion. The decision-making at this point was clear, and I recommended that we proceed immediately with cataract extraction and bleb revision, which we did (see Watch It Now).

GREAT STAKES

The patient’s personal story, what he had at stake, and the immense trust he placed in me definitely had an impact on me. He had lived alone, was fiercely independent, and, as an artist, was a visual professional—and this was all gone, and fairly rapidly at that. This certainly elevated the surgical stakes.

The surgery proceeded according to plan, but the visual outcome was indeed uncertain.

The patient eventually improved to 20/40 visual acuity, with IOP settling in the low teens off medication. He regained independence and the ability to cook for himself, and he resumed painting. Another artist, the patient’s friend, sent me pictures of my patient’s art because he was too humble to share. What he could create despite his impairment was incredible.

SHIFTING PERSPECTIVES

Trying to focus on what I can control rather than worrying about what I can’t has helped me to reduce my sleepless nights over the past decade. It’s an exciting time to be a glaucoma specialist, and the future of glaucoma care promises to bring safer modalities and approaches. However, our empathy and personal investment in our patients’ outcomes are certain to still produce some more sleepless nights ahead.


Up Against Helplessness

By Linda Huang, MD

We glaucoma specialists have all spent countless hours thinking about our patients. Whether we are mulling over the best course of action or reflecting on what previously went wrong, we all know that glaucoma management is hardly a straightforward endeavor. Many times, patients’ past experiences will guide our choices for their treatment course, as was the case for this patient.

A LONG HISTORY

An 85-year-old white woman presented with a long history of surgeries on her left eye. She had been diagnosed with pseudoexfoliative glaucoma and underwent trabeculectomy in the left eye. The trabeculectomy unfortunately failed quickly, and a Baerveldt glaucoma implant (Johnson & Johnson Vision) was inserted. The patient then developed late hypotony that did not respond to ligation of the tube shunt, and the drainage device was explanted.

Her IOP subsequently increased, and an Ahmed Glaucoma Valve (New World Medical) was placed. Despite injection of an OVD at the end of the surgery, on postoperative day 1 the patient had a shallow anterior chamber and hemorrhagic choroidals. Visual acuity in the eye was light perception. The Ahmed device was ligated, and the choroidals were drained.

NEXT COURSE OF ACTION

The patient was subsequently referred to our clinic for management of her right eye, in which the IOP was in the 50s mm Hg. She had undergone only cataract surgery in this eye.

I performed a trabeculectomy in the right eye, and laser suture lysis was done postoperatively to titrate the IOP.

Three weeks after the trabeculectomy, the patient’s IOP in this eye was in the midteens. It remained well controlled for approximately 3 years, when the surgical site began to scar and the IOP increased into the mid-20s mm Hg. Topical medications were restarted, but the patient’s IOP increased into the 40s mm Hg despite medical therapy. With the long surgical history and poor vision in her left eye, she was reluctant to undergo incisional glaucoma surgery on her right eye.

After many long discussions, the patient agreed to proceed with cyclophotocoagulation. One week after the laser procedure, her IOP was in the low 20s mm Hg. At 1 month, her IOP decreased to 3 mm Hg, and she had a shallow anterior chamber and significant choroidals. With increased steroids and atropine treatment, her IOP eventually increased, along with resolution of the choroidals. At 5 months, however, her IOP increased into the 30s mm Hg. Medications were restarted, and her pressures fluctuated in the mid-20s mm Hg.

It was clear that the patient’s IOP was not sufficiently controlled, as visual field testing showed progression to a central island. Surgical intervention was readdressed. Given the history of hypotony in her left eye, I discussed implanting a valved drainage device, such as an Ahmed Glaucoma Valve, in the right eye. To prevent early hypotony, the tube could be ligated and laser suture lysis performed at a later time.

To date, however, at each visit, the patient continues to be fearful of surgery, as she previously experienced immediate loss of vision with devastating complications in her left eye. Despite the evidence that she is losing her sight, she continues to doubt that the next procedure will somehow work when all others have failed. I sense that she has already given up.

CURRENT OBJECTIVES

Currently, at each visit, I’m not only checking the patient’s pressures and discussing her surgical options, I am also trying to reverse her sense of helplessness. If I am able to convince her to proceed with surgery, perhaps it will be the last opportunity to save her eye. That will certainly keep me up at night.


Figure 1. Color external photograph demonstrates a large left-side port wine birthmark and associated buphthalmos. The left cornea was enlarged and hazy.

Courtesy of Ta Chen Peter Chang, MD

Adding Insult to Injury

By Ta Chen Peter Chang, MD

An 8-day-old infant presented with a left-side port wine birthmark and associated buphthalmos and corneal opacity (Figure 1). Glaucoma secondary to the port wine birthmark was suspected, and an examination under anesthesia (EUA) was performed. IOP measured 35 mm Hg in the left eye, and B-scan ultrasound revealed moderate to marked cupping and a thickened choroid. During the same EUA session, I performed the first stage of a Baerveldt device implantation and a circumferential ab externo trabeculotomy using an illuminated microcatheter.

By 6 weeks later, the cornea had cleared (Figure 2), but the eye’s axial length had increased out of bounds of normal ocular growth curve, and the IOP remained elevated at 27 mm Hg despite treatment. The second stage of the Baerveldt implantation was performed with the tip of the tube in the anterior chamber, and two scleral windows were created in anticipation of choroidal effusions.

Figure 2. Color anterior segment and fundus photographs demonstrate bilaterally clear corneas and nonglaucomatous optic discs.

Courtesy of Ta Chen Peter Chang, MD

Figure 3. Color fundus photo of the left eye. A large, bullous exudative retinal detachment can be noted.

Courtesy of Ta Chen Peter Chang, MD

Eight weeks later, on repeat EUA, the patient’s IOP was 15 mm Hg, and I noted a large bullous exudative retinal detachment without concurrent choroidal effusion (Figure 3). Following consultation with the pediatric vitreoretinal service, the parents declined external beam radiation treatment and opted instead for intravitreal anti-VEGF injections.

Over the next 15 months, multiple injections were required as the retinal detachment waxed and waned but never completely resolved. Then, approximately 6 weeks after the last intravitreal injection, the child developed redness of the eye, lid swelling, and decreased oral intake. EUA revealed intact conjunctiva and hypopyon in the anterior chamber. The patient was diagnosed with severe endophthalmitis (Figure 4). Vitreous biopsy was performed and intravitreal antibiotic injections were given, and the culture was negative. Over the following 2 months, the retina became totally detached, and the eye was chronically inflamed and painful. The eye was enucleated shortly thereafter.

Six months later, the child developed photophobia and a granulomatous anterior chamber reaction in her other eye. Dilated fundus examination revealed Dalen-Fuchs nodules suspicious for sympathetic ophthalmia (Figure 5).

Figure 4. Color anterior segment photograph and echographic images demonstrate turbid aqueous and hypopyon in the anterior chamber. The vitreous was filled with debris with extensive membrane formation.

Figure 5. Color anterior segment photograph demonstrates granulomatous anterior chamber reaction, and fundus photograph shows Dalen-Fuchs nodules.

Courtesy of Ta Chen Peter Chang, MD

MY THOUGHTS

This case was particularly challenging for several reasons. First, the patient is an infant. Second, the glaucomatous eye was buphthalmic and had a large choroidal hemangioma, which makes any type of glaucoma surgery hazardous. Third, the abnormal choroidal anatomy was such that, even with a modest decrease in IOP and concurrent creation of scleral windows (the child was never hypotonous), recalcitrant exudative retinal detachment developed. Fourth, adding insult to injury, the remaining eye became the unwitting victim of this saga and developed presumed sympathetic ophthalmia.

Last, and perhaps the most harrowing part of all, I do not know what I should, would, or could have done differently. Some anecdotal literature supports the use of systemic propranolol in Sturge-Weber syndrome patients to decrease the risk of choroidal vasculature–related complications, which I believe would have been worth a try.


Complicated by Thyroid Eye Disease

By Sahar Bedrood, MD, PhD

A 40-year-old man with a new diagnosis of hyperthyroidism with recent acute thyroid crisis, and with previously existing diabetes mellitus type 2 and hypertension, presented with decreased vision in both eyes and a bulging right eye for 2 months. He was diagnosed with glaucoma 4 years earlier but had been noncompliant with his eye drops. He was recently restarted on maximal medical therapy and was referred to our center for IOP control.

Figure 6. Photograph of the optic n

Courtesy of Sahar Bedrood, MD, PhD

On examination, his visual acuity was 20/50 OD and 20/30 OS, and IOP was 43 mm Hg OD and 22 mm Hg OS. Anterior segment examination was notable for significant proptosis of the right eye with conjunctival chemosis, poor ocular surface, lid edema, and eyelid flare consistent with thyroid eye disease. Posterior segment examination of the right eye showed a 0.85 cup-to-disc ratio with a pale remaining rim; the macula had an epiretinal membrane with multiple cotton wool spots near the arcades, attenuated vessels, and normal periphery. Posterior segment examination of the left eye showed a 0.99 cup-to-disc ratio, a flat macula, and attenuated vessels but was otherwise normal (Figures 6 and 7). Figure 8 shows Humphrey visual fields (Carl Zeiss Meditec) of the right and left eyes. The right eye showed nonspecific superior defects, and the left eye had a central island of vision remaining.

Figure 7. OCT (Spectralis, Heidelberg Engineering) of the retinal nerve fiber layer in the right and left eyes.

Figure 8. Humphrey visual fields (Carl Zeiss Meditec) of the right (A) and left (B) eyes.

Courtesy of Sahar Bedrood, MD, PhD

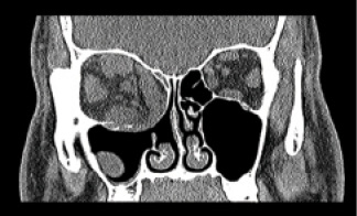
Figure 9. CT scan of the patient’s orbits prior to radiation and decompression.

Figure 10. B-scans of the orbit at postoperative week 4 after trabeculectomy, showing choroidals and tenting of the sclera secondary to orbital congestion.

CLINICAL COURSE AND TREATMENT

The patient underwent trabeculectomy of the right eye due to high IOP on maximal medical therapy. In the immediate postoperative period, he had a diffuse bleb, IOP in the low teens, and preservation of baseline visual acuity. However, around postoperative week 2, the right eye developed significant chemosis and proptosis from reactivation of his thyroid eye disease and orbital congestion that required immediate pulse therapy with intravenous methylprednisolone sodium, followed by weekly intravenous methylprednisolone sodium.

The orbital congestion and pressure were pushing his globe forward and encouraging outflow through the trabeculectomy site, causing a shallow anterior chamber. At postoperative week 4, visual acuity was reduced to hand motions, and radiation of the orbit was performed to reduce the orbital congestion (Figures 9 and 10). At postoperative week 8, orbital decompression was performed endoscopically, which improved the proptosis and chemosis. At 5 months after initial presentation to our center, the proptosis in the right eye was improved, the IOP was 14 mm Hg, the chamber continued to be moderately shallow with peripheral choroidals, and visual acuity was hand motions with a dense posterior subcapsular cataract. After cataract extraction, the patient’s visual acuity remained stable at 20/800.

MULLING IT OVER

This case truly kept me up at night because I questioned the timing and necessity of glaucoma surgery in a patient with advanced glaucoma and severe thyroid eye disease. This case had me mulling over the following questions:

• Should one perform glaucoma surgery in a patient with active thyroid eye disease and advanced glaucoma with high IOP?
• Would conjunctival surgery incite inflammation of his thyroid eye disease?
• Would a minimally invasive approach reduce the risk of hypotony, or would it fail given the stage of glaucoma and level of inflammation?
• Should I operate on the other eye that has only a central island of vision remaining and risk aggravating the thyroid disease in that eye? Should I have operated on that eye first?
• Now that the proptosis has improved, should I remove the cataract? What eye measurements would I use for the IOL?
• Should I consider draining the choroidals in a patient with posterior pressure, a shallow chamber, and aggressive thyroid eye disease?

TAKEAWAYS

Overall, I took away a few pearls from this case. First, avoid filtering surgery in a patient with active thyroid eye disease. If the inflammation is not controlled, there are risks of choroidal effusion, shallow anterior chamber, hypotony, and failure of the trabeculectomy due to inflammation. Additionally, if a patient has active thyroid eye disease and glaucoma surgery is required, consider pretreatment with intravenous methylprednisolone sodium pulse dosing prior to glaucoma surgery, and follow with weekly dosing of methylprednisolone sodium during the postoperative period.

Sahar Bedrood, MD, PhD
• Glaucoma and Cataract Surgeon, Acuity Eye Group, Los Angeles, California
• Clinical Assistant Professor, USC Roski Eye Institute, Los Angeles, California
saharbedrood@gmail.com
• Financial disclosure: None

Ta Chen Peter Chang, MD
• Associate Professor of Clinical Ophthalmology and Pediatrics at Bascom Palmer Eye Institute in Miami, Florida
t.chang@med.miami.edu
• Financial disclosure: None relevant

Linda Huang, MD
• Private practice, The Glaucoma Institute of Northern New Jersey in Rochelle Park
lindayhuangmd@gmail.com
• Financial disclosure: None relevant

Anand Mantravadi, MD
• Glaucoma Physicians and Surgeons, Philadelphia, Pennsylvania
• Glaucoma Specialist, Wills Eye Hospital, Philadelphia, Pennsylvania
• Financial disclosure: Consultant (Allergan, Glaukos); Speaker (Glaukos)