A Sign of Active Progression
By Jin-Soo Kim, MD; and Young Kook Kim, MD
The association of optic disc hemorrhage (ODH) with glaucoma was first recognized more than 100 years ago by Jannik P. Bjerrum, who called it glaucoma haemorrhagicum. The phenomenon was subsequently overlooked until the 1970s, when Stephen M. Drance, MD, revisited the issue in his study on splinter hemorrhages in open-angle glaucoma patients.1 Today, ODH is known to have a strong association with glaucoma development and progression.1-3 However, its low prevalence and transient nature render elucidation of its exact pathogenesis and causal relationship with glaucoma progression difficult.4
ODH AND GLAUCOMA PROGRESSION
Previous reports have shown that structural and functional progression is ongoing after the appearance of ODH.5,6 Changes to the optic disc and the appearance and enlargement of retinal nerve fiber layer (RNFL) defect can occur subsequent to ODH.5,7,8 Researchers have documented the appearance of new glaucomatous visual field (VF) defect2 and a faster rate of VF change6 after ODH.
Correspondingly, a study in patients with preperimetric glaucoma showed that ODH was associated with glaucoma progression, specifically with structural change.9 These results suggest that glaucoma patients who experience episodes of ODH have a higher likelihood of faster RNFL thinning. It remains unclear, however, whether ODH has a causative role in disease progression. Considering the low frequency of ODH in advanced stages of glaucoma, it is possible that ODH is just one of a number of phenomena detected during the disease course.
LC AND ODH
The pathophysiology of ODH, notwithstanding its strong association with glaucoma progression, has yet to be fully elucidated. Recent advances in spectral-domain OCT with enhanced depth imaging and swept-source OCT with longer wavelengths have made it possible to obtain in vivo images of the LC, which is known to be the initial site of glaucomatous damage.
Many studies have concluded that ODH is the consequence of microvascular disruption resulting from structural alteration of the LC,7 whereas others have reported that ODH is associated with compromised blood supply inside the optic nerve head.10 Indeed, these hypotheses appear to be at least partly related. Strong spatial correlations between ODH and laminar disruption have been reported,11 and a recent prospective study revealed that laminar disinsertions were detected more frequently in glaucoma patients with ODH than in those without.
Another recent prospective study showed that glaucomatous eyes with ODH at the site of focal LC defects had frequent and faster VF progression than eyes with ODH unaccompanied by LC alterations or LC alterations unaccompanied by ODH.12 Considering that the LC is the primary site of glaucomatous damage, ODH can provide secondary clues to the identification of vulnerable LC and thus of patients at high risk of further progression.
TREATMENT INTENSIFICATION AFTER ODH
Even if ODH were an early sign of structural glaucoma progression, it would have less clinical value if the progression could not be altered by more aggressive treatment. The Early Manifest Glaucoma Trial showed that the presence or frequency of ODH was not related to IOP-lowering treatment either before or after controlling for associated factors,13 which suggests that ODH might not be a sign of insufficient IOP reduction. Another prospective study in glaucoma patients with ODH, however, showed that greater IOP reduction in combination with more aggressive treatments after ODH contributed to slower rates of progressive VF loss.14 A recent study showed that glaucoma treatment intensification after ODH may have a beneficial effect in reducing the rate of RNFL thinning.15
These findings imply that, in glaucomatous eyes with ODH, treatment intensification can slow glaucoma progression. Even if ODH is not the cause of glaucoma progression, it might still be an important sign of the need for treatment intensification.
CONCLUSION
It is hard to deny that ODH is an important sign of active glaucoma progression. Unfortunately, due to current technical limitations in the detection of very early glaucoma progression, clarification of the possible causal relationship between ODH and glaucoma progression will remain difficult into the near future. Although ODH might not be a cause of glaucoma progression, there is sufficient evidence that the two have an association. In any event, ODH holds clinically significant prognostic value as a sign of potential glaucoma progression and possible need for treatment intensification.
1. Drance S, Anderson DR, Schulzer M, Collaborative Normal-Tension Glaucoma Study Group. Risk factors for progression of visual field abnormalities in normal-tension glaucoma. Am J Ophthalmol. 2001;131:699-708.
2. De Moraes CG, Demirel S, Gardiner SK, et al. Rate of visual field progression in eyes with optic disc hemorrhages in the ocular hypertension treatment study. Arch Ophthalmol. 2012;130:1541-1546.
3. Budenz DL, Anderson DR, Feuer WJ, et al. Detection and prognostic significance of optic disc hemorrhages during the Ocular Hypertension Treatment Study. Ophthalmology. 2006;113:2137-2143.
4. Diehl DL, Quigley HA, Miller NR, et al. Prevalence and significance of optic disc hemorrhage in a longitudinal study of glaucoma. Arch Ophthalmol. 1990;108:545-550.
5. Ishida K, Yamamoto T, Sugiyama K, Kitazawa Y. Disk hemorrhage is a significantly negative prognostic factor in normal-tension glaucoma. Am J Ophthalmol. 2000;129:707-714.
6. Kim JM, Kyung H, Azarbod P, et al. Disc haemorrhage is associated with the fast component, but not the slow component, of visual field decay rate in glaucoma. Br J Ophthalmol. 2014;98:1555-1559.
7. Nitta K, Sugiyama K, Higashide T, et al. Does the enlargement of retinal nerve fiber layer defects relate to disc hemorrhage or progressive visual field loss in normal-tension glaucoma? J Glaucoma. 2011;20:189-195.
8. Ahn JK, Park KH. Morphometric change analysis of the optic nerve head in unilateral disk hemorrhage cases. Am J Ophthalmol. 2002;134:920-922.
9. Kim KE, Jeoung JW, Kim DM, et al. Long-term follow-up in preperimetric open-angle glaucoma: progression rates and associated factors. Am J Ophthalmol. 2015;159:160-168.
10. Kurvinen L, Harju M, Saari J, Vesti E. Altered temporal peripapillary retinal flow in patients with disc hemorrhages. Graefes Arch Clin Exp Ophthalmol. 2010;248:1771-1775.
11. Kim YK, Park KH. Lamina cribrosa defects in eyes with glaucomatous disc haemorrhage. Acta Ophthalmol. 2016;94:E468-E473.
12. Park HL, Lee J, Jung Y, Park CK. Optic disc hemorrhage and lamina cribrosa defects in glaucoma progression. Sci Rep. 2017;7:3489.
13. Bengtsson B, Leske MC, Yang Z, et al. Disc hemorrhages and treatment in the early manifest glaucoma trial. Ophthalmology. 2008;115:2044-2048.
14. Medeiros FA, Alencar LM, Sample PA, et al. The relationship between intraocular pressure reduction and rates of progressive visual field loss in eyes with optic disc hemorrhage. Ophthalmology. 2010;117:2061-2066.
15. Akagi T, Zangwill LM, Saunders LJ, et al. Rates of local retinal nerve fiber layer thinning before and after disc hemorrhage in glaucoma. Ophthalmology. 2017;124:1403-1411.
Jin-Soo Kim, MD
• Clinical Instructor of Ophthalmology, Seoul National University Hospital, Seoul, Korea
• plastichaos@live.com
• Financial disclosure: None
Young Kook Kim, MD
• Assistant Professor of Ophthalmology, Seoul National University College of Medicine, Seoul, Korea
• md092@naver.com
• Financial disclosure: None
Not a Sign But a Risk Factor
By Brian A. Francis, MD; and Aleksandr Yelenskiy, MD
Since the first report of ODH in glaucoma in 1889, many other studies have emphasized this association. After its rediscovery by Drance and Begg in 1970, numerous investigators have explored ODH as a risk factor for the development and progression of glaucoma. Some recent studies have shown that changes in the optic nerve, RNFL, and VF precede and progress after ODH in glaucoma patients.
However, even with evidence of the association between ODH and glaucoma progression, it should be emphasized that disc hemorrhage is a complex process that cannot be explained by vascular, mechanical, or pressure-related factors alone. Although the occurrence of ODH should be noted as significant, it is not a definite sign of glaucomatous progression, as some have suggested.
ODH can occur in disease states other than glaucoma. Posterior vitreous detachment, elevated resistance of the central retinal vein, diabetic retinopathy or diabetic microvascular disease, leukemia, optic disc drusen, lupus, use of antiplatelet agents, and different types of optic neuropathy have been shown to manifest various degrees of disc hemorrhage.1-6 Using ODH alone as evidence of glaucoma or glaucomatous progression may be incorrect without first looking at the full spectrum of causes.
Eyes with ODH do not necessarily always have glaucoma or show faster rates of progression. Whereas some studies show greater VF progression in eyes with recurrent disc hemorrhage than in those without, other studies show a faster structural progression but similar functional progression.7,8 In the Blue Mountains Eye study and the Beaver Dam Study, most ODHs were observed in eyes without glaucoma.9,10
There is strong evidence in the literature to show associations between ODH and glaucomatous progression, including nerve changes, perimetric changes, and ganglion cell loss.11-14 However, there is conflicting evidence whether the clinical significance of solitary, nonrecurrent hemorrhage is of similar to that of recurrent disc hemorrhage. Thus, a solitary finding of ODH may not necessarily indicate the need for more aggressive treatment.
It is important to note that a weakening of the lamina cribrosa (LC) may be implicated in the pathophysiology of disc hemorrhage. There is a strong correlation between laminar disruption and ODH.15,16 Thus, ODH may be only a secondary sign of the structural changes implicated in the disease process itself, rather than a prognostic indicator of glaucoma. Certain aspects of disc hemorrhage can be closely related to laminar change in glaucoma patients, but they can also occur independently.17 This may explain why patients with severe end-stage glaucoma have a relatively lower frequency of ODH.
Many studies have shown that eyes with normal-tension glaucoma (NTG) have a higher incidence of ODH than those with high-tension primary open-angle glaucoma (POAG).18-22 This finding is hard to resolve if one assumes a common disease state in NTG and POAG eyes. Even with adequate IOP-lowering therapy, NTG eyes are more predisposed to hemorrhage. This shows that the prognostic significance of ODH is more nuanced than commonly believed.
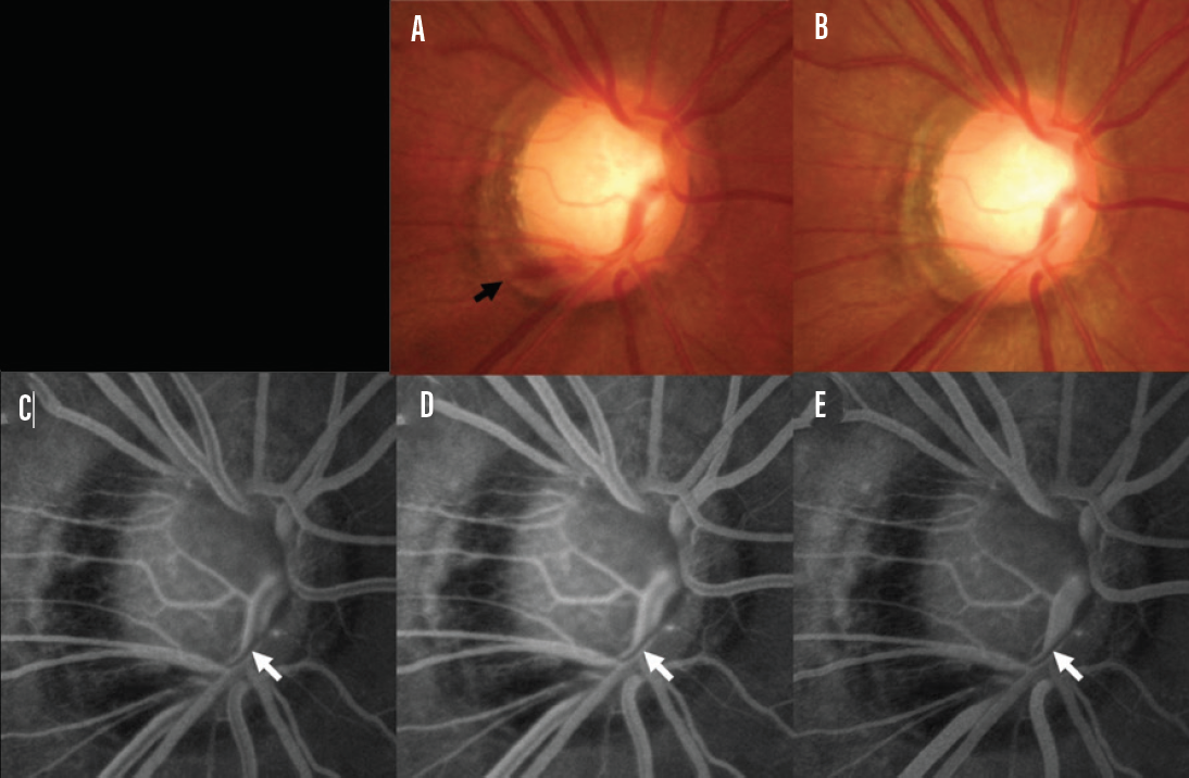
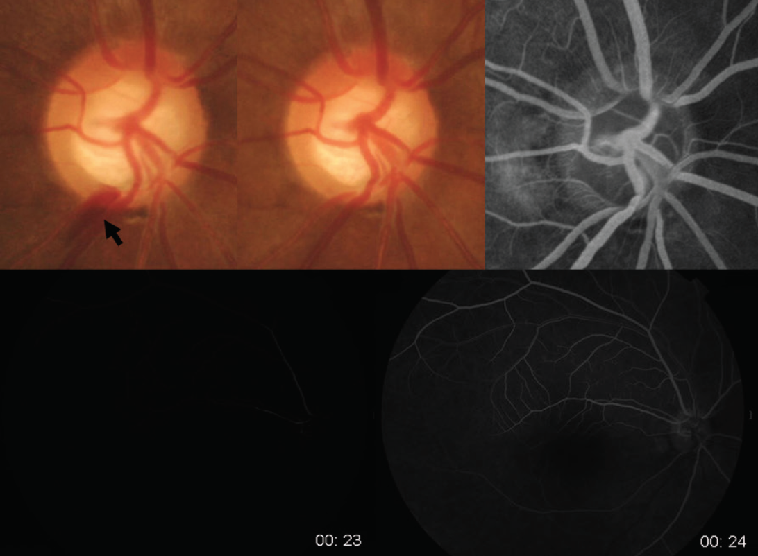
ODH suggests vascular damage and an increased likelihood that a significant vascular component is contributing to the disease when ODH occurs. Park et al23 studied 35 eyes with ODH to analyze the relationship among ODH, vascular abnormalities, and changes in the optic disc and RNFL. They found that approximately half of the eyes with ODH had accompanying localized RNFL defects. Of these eyes, 60% had vascular changes on fluorescein angiography at the site of the ODH (Figure 1). However, almost half of the eyes with ODH did not have an associated RNFL defect, and those eyes did not show vessel filling defects or delayed filling (Figure 2).
Figure 1. A 47-year-old woman with normal-tension glaucoma. ODH (black arrow) was present at the border of a localized retinal nerve fiber layer defect in her right eye (A). Fluorescein angiography was performed 3 months after disappearance of the ODH in the disc photograph (B). A vessel filling defect (white arrow) was found at the midarteriovenous phase (C), early late phase (D), and late phase of fluorescein angiography (E). The vessel filling defect was proximal to the location of the ODH. This vein is reflected at the cup margin, the proximal location of the ODH.
Figure 2. A 54-year-old woman with normal-tension glaucoma. ODH not related to a localized retinal nerve fiber layer defect shows no specific findings suggesting hemodynamic changes, such as vessel filling defect or delayed filling, disc leak, or disc filling defects.
(Courtesy of Park et al23)
CONCLUSION
Although many ophthalmologists have formed opinions about the prognostic significance of ODH in glaucoma, there is still no clear consensus. It is undeniable that there is a strong association between glaucoma and disc hemorrhage. However, we recommend viewing ODH as a risk factor for progression rather than a definitive sign of progression. Clinicians must increase their vigilance and the frequency of monitoring for progression after ODH, but they should consider other factors before initiating more aggressive treatment, especially surgical intervention.
1. Uhler TA, Piltz-Seymour J. Optic disc hemorrhages in glaucoma and ocular hypertension: implications and recommendations. Curr Opin Ophthalmol. 2008;19(2):89-94.
2. Schacknow PN, Samples JR, eds. The Glaucoma Book: a Practical, Evidence-Based Approach to Patient Care. New York: Springer; 2010.
3. Budenz DL, Anderson DR, Feuer WJ, et al. Detection and prognostic significance of optic disc hemorrhages during the Ocular Hypertension Treatment Study. Ophthalmology. 2006;113(12):2137-2143.
4.Jonas JB, Iester M. Disc hemorrhage and glaucoma. Ophthalmology. 1995;102(3):365-366.
5. Katz B, Hoyt WF. Intrapapillary and peripapillary hemorrhage in young patients with incomplete posterior vitreous detachment. Signs of vitreopapillary traction. Ophthalmology. 1995;102(2):349-354.
6. Roberts TV, Gregory-Roberts JC. Optic disc haemorrhages in posterior vitreous detachment. Aust N Z J Ophthalmol. 1991;19(1):61-63.
7. Ishida K, Yamamoto T, Sugiyama K, Kitazawa Y. Disk hemorrhage is a significantly negative prognostic factor in normal-tension glaucoma. Am J Ophthalmol. 2000;129:707-714.
8. Kim SH, Park KH. The relationship between recurrent optic disc hemorrhage and glaucoma progression. Ophthalmology. 2006;113:598-602.
9. Healey PR, Mitchell P, Smith W, Wang JJ. Optic disc hemorrhages in a population with and without signs of glaucoma. Ophthalmology. 1998;105(2):216-223.
10. Klein BE, Klein R, Sponsel WE, et al. Prevalence of glaucoma. The Beaver Dam Eye Study. Ophthalmology. 1992;99(10):1499-1504.
11. Ernest PJ, Schouten JS, Beckers HJ, et al. An evidence-based review of prognostic factors for glaucomatous visual field progression. Ophthalmology. 2013;120(3):512-519.
12. Rasker MT, van den Enden A, Bakker D, Hoyng PF. Deterioration of visual fields in patients with glaucoma with and without optic disc hemorrhages. Arch Ophthalmol. 1997;115(10):1257-1262.
13. Drance S, Anderson DR, Schulzer M; Collaborative Normal-Tension Glaucoma Study Group. Risk factors for progression of visual field abnormalities in normal-tension glaucoma. Am J Ophthalmol. 2001;131(6):699-708.
14. Leske MC, Heijl A, Hussein M, et al. Factors for glaucoma progression and the effect of treatment: the Early Manifest Glaucoma Trial. Arch Ophthalmol. 2003;121(1):48-56.
15. Lee EJ, Kim TW, Kim M, et al. Recent structural alteration of the peripheral lamina cribrosa near the location of disc hemorrhage in glaucoma. Invest Ophthalmol Vis Sci. 2014;55:2805-2815.
16. Kim YK, Park KH. Lamina cribrosa defects in eyes with glaucomatous disc haemorrhage. Acta Ophthalmol. 2016; 94:e468-e473.
17. Sharpe GP, Danthurebandara VM, Vianna JR, et al. Optic disc hemorrhages and laminar disinsertions in glaucoma. Ophthalmology. 2016;123:1949-1956.
18. Gloster J. Incidence of optic disc haemorrhages in chronic simple glaucoma and ocular hypertension. Br J Ophthalmol. 1981;65:452-456.
19. Airaksinen PJ, Mustonen E, Alanko HI. Optic disc hemorrhages: analysis of stereophotographs and clinical data of 112 patients. Arch Ophthalmol. 1981;99:1795-1801.
20.Kitazawa Y, Shirato S, Yamamoto T. Optic disc hemorrhage in low-tension glaucoma. Ophthalmology. 1986;93:853-857.
21. Jonas JB, Budde WM. Optic nerve head appearance in juvenile- onset chronic high-pressure glaucoma and normal-pressure glaucoma. Ophthalmology. 2000;107:704-711.
22. Miyake T, Sawada A, Yamamoto T, et al. Incidence of disc hemorrhages in open-angle glaucoma before and after trabeculectomy. J Glaucoma. 2006;15(2):164-171.
23. Park HYL, Jeong HJ, Kim YH, Park CK. Optic disc hemorrhage is related to various hemodynamic findings by disc angiography. PLoS One. 2015;10(4):e0120000.
Brian A. Francis, MD
• Health Sciences Professor of Ophthalmology and Rupert and Gertrude Steiger Endowed Chair, Doheny and Stein Eye Institutes, David Geffen School of Medicine, University of California, Los Angeles
• bfrancis@doheny.org
• Financial disclosure: None acknowledged
Aleksandr Yelenskiy, MD
• Glaucoma Fellow, Doheny and Stein Eye Institutes, David Geffen School of Medicine, University of California, Los Angeles
• Financial disclosure: None acknowledged
