Blepharospasm and Glaucomatous Visual Field Defects
By Mark S. Dikopf, MD; Pete Setabutr, MD; and Thasarat S. Vajaranant, MD
A 72-year-old man with glaucoma was referred for evaluation. His medical history included systemic hypertension (not on beta-blocker treatment), obstructive sleep apnea, hypercholesterolemia, and diet-controlled diabetes mellitus.
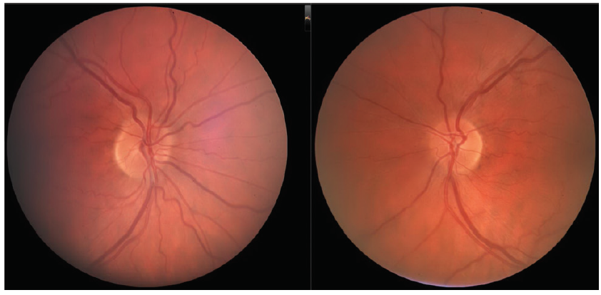
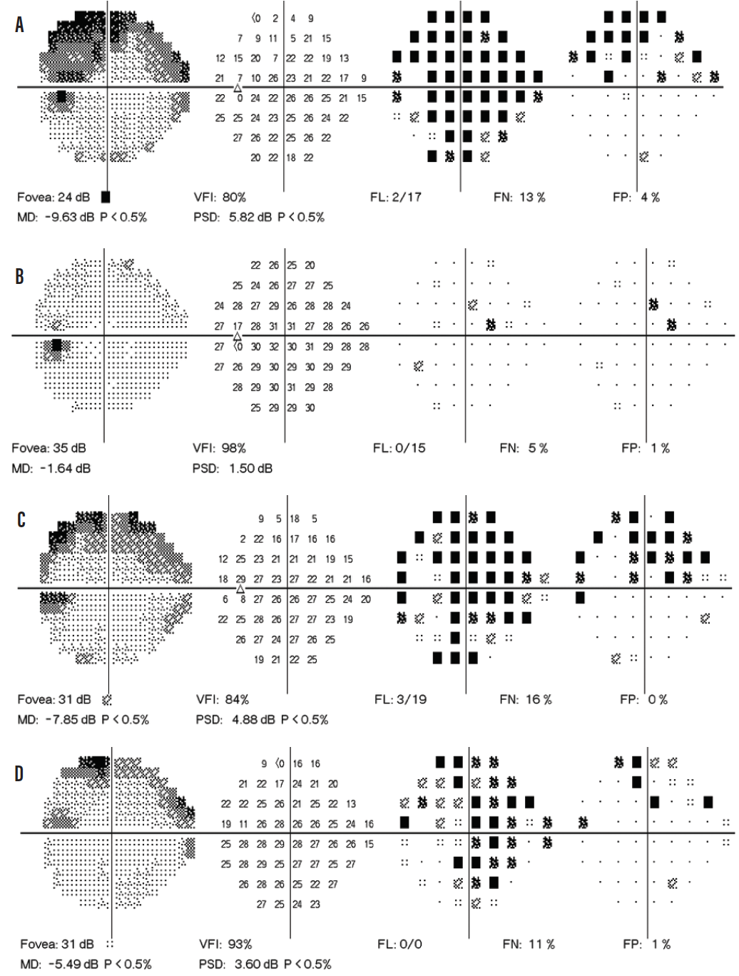
The patient's BCVA was 20/20 OD and 20/25 OS. Examination revealed 1+ corneal punctate epithelial erosions OU, mild nuclear sclerosis OU, open angles on gonioscopy, and inferior thinning of the optic disc OU (Figure 1). IOP was 16 mm Hg OD and 14 mm Hg OS on a nightly prostaglandin analogue drop. Inferior nerve thinning was confirmed by OCT, and 24-2 automated perimetry revealed a fixation-threatening superior arcuate depression OD and a superior arcuate depression OS (Figure 2A). Continued use of the prostaglandin analogue was recommended.
Figure 1. Fundus photographs of the patient's right (A) and left (B) optic nerves.
Figure 2. An initial 24-2 visual field showed a superior arcuate defect in the patient's left eye (A). Three months later, the arcuate defect had improved (B). One year later, superior arcuate changes were observed (C). Six months after botulinum toxin therapy, the patient had a stable, improved superior visual field (D).
On examination 3 months later, the patient had IOPs of 15 mm Hg OU with a stable arcuate defect OD and improved, scattered superior defects OS (Figure 2B).
THE FOLLOWING YEAR
Examination every 3 months over the following year showed mild punctate epithelial erosions and IOPs in the mid to low teens. Automated perimetry at each examination was also stable until redevelopment of a dense superior arcuate depression OS was noted (Figure 2C). Dilated fundus examination did not show retinal or new optic nerve head pathology corresponding to the observed visual field (VF) defect.
At this time, however, the patient noted tightness around his left eye, which had been occurring sporadically over the past few years. Upon voluntary forceful contraction of the orbicularis oculi and oris, hemifacial spasm was elicited. Subsequent neuroimaging was negative for brainstem pathology or a compressive lesion of the facial cranial nerve. The patient was referred to an oculoplastics specialist, who began administering botulinum toxin (Botox, Allergan) therapy.
At follow-up glaucoma visits, the patient noted resolution of the eyelid tightness. VF examination consistently showed improved superior VFs OS (Figure 2D).
DISCUSSION
Blepharospasm is an involuntary, episodic contraction of eyelid muscles that can occur in either primary or secondary form. Primary blepharospasm is a dystonia originating in the basal ganglia and manifesting as uncontrolled forceful contracture of eyelid musculature. Secondary blepharospasm also involves involuntary contracture of eyelid muscles, and it may be implicated with various syndromes and causes of ocular surface irritation, including dry eye or preservative load from ophthalmic drops. Hemifacial spasm involves involuntary contraction of eyelid as well as mimetic muscles, and it also occurs in primary and secondary forms.
Detecting glaucomatous VF progression may be challenging due to factors that can cause spurious defects, including pupil size,1 refractive error,2 lens rim artifact,3 blepharoptosis, cataract,4-6 multifocal IOLs,7 and patient learning or fatigue.8 There is a paucity of research examining the relationship between blepharospasm and glaucoma, with no conclusive evidence linking the two.9,10 Similarly, there is a lack of research investigating the effects of blepharospasm on automated perimetry.
In addition to primary etiologies, psychological and environmental stressors during perimetry testing (eg, desiccation of a compromised ocular surface) may lead to blepharospasm and misleading defects on automated perimetry. As this could potentially lead to inappropriate escalation of therapy, the effects of blepharospasm should be considered in the same vein as other causes of perimetry artifacts.
1. Mikelberg FS, Drance SM, Schulzer MD, Wijsman K. The effect of miosis on visual field indices. In: Greve EL, Heijl A, eds. Seventh International Visual Field Symposium. Dordrecht: Martinus Nijhoff/Dr. W. Junk Publishers; 1987:645-649.
2. Weinreb RN, Perlman JP. The effect of refractive correction on automated perimetric thresholds. Am J Ophthalmol. 1986;101:706-709.
3. Zalta AH. Lens rim artifact in automated threshold perimetry. Ophthalmology. 1989;96:1302-1311.
4. Heuer DK, Anderson DR, Knighton RW, Feuer WJ, Gressel MG. The influence of simulated light scattering on automated perimetric threshold measurements. Arch Ophthalmol. 1988;106:1247-1251.
5. Lam Bl, Alward WL, Kolder HE. Effect of cataract on automated perimetry. Ophthalmology. 1991;98:1066-1070.
6. Budenz DL, Feuer WJ, Anderson DR. The effect of simulated cataract on glaucomatous visual field. Ophthalmology. 1993;100:511-517.
7. Farid M, Chak G, Garg S, Steinert RF. Reduction in mean deviation values in automated perimetry in eyes with multifocal compared to monofocal intraocular lens implants. Am J Ophthalmol. 2014;158:227-231.
8. Wild JM, Searle AE, Dengler-Harles M, O'Neill EC. Long-term follow-up of baseline learning and fatigue effects in the automated perimetry of glaucoma and ocular hypertensive patients. Acta Ophthalmol (Copenh). 1991;69:210-216.
9. Nicoletti AG, Zacharias LC, Susanna Jr R, Matavoshi S. Patients with essential blepharospasm and glaucoma: case reports. Arq Bras Oftalmol. 2008 71:747-751.
10. Lee MS, Harrison AR, Grossman DS, Sloan FA. Risk of glaucoma among patients with benign essential blepharospasm. Ophthalmol Plast Reconstr Surg. 2010;26:434-437.
Mark S. Dikopf, MD
• Clinical Instructor, Department of Ophthalmology and Visual Sciences, Illinois Eye and Ear Infirmary, University of Illinois at Chicago
• Private practice, Midwest Center for Sight, Des Plaines, Illinois
• mdikopf2@uic.edu
• Financial disclosure: None
Pete Setabutr, MD
• Associate Professor of Ophthalmology; Director, Oculoplastic & Reconstructive Services; Director, Millennium Park Eye Center, Illinois Eye and Ear Infirmary, University of Illinois at Chicago
• Financial disclosure: None
Thasarat S. Vajaranant, MD
• Associate Professor of Ophthalmology; Director, Glaucoma Service, Illinois Eye and Ear Infirmary, University of Illinois at Chicago
• Financial disclosure: None
Topless Disc Syndrome and Schwartz-Matsuo Syndrome
By Shandiz Tehrani, MD, PhD
CASE NO. 1
A 44-year-old white woman was referred for loss of vision and possible glaucoma. She reported experiencing vision loss for 1 year, and she had been cognizant of peripheral field loss in both eyes for several years. The patient was able to drive in the daytime and at night. Her most recently recorded IOPs were in the 20s mm Hg, and she had been using bimatoprost in both eyes every night at bedtime for 1 month.
The patient had a history of amblyopia OD, hypertropia OS, and type 2 diabetes mellitus. She had previously undergone strabismus surgery OD in the 1970s. The patient reported no smoking, alcohol use, or illicit drug use. Her mother had a history of retinal detachment, and her father was a glaucoma suspect.
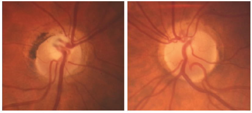
Upon examination, the patient's IOP was 15 mm Hg OD and 16 mm Hg OS. Gonioscopy revealed open angles, and central corneal thickness measured 697 µm OD and 719 µm OS. Anterior segment examination was unremarkable OU. Fundus examination showed bilateral absence of the superior optic nerve head (ONH) rim, superior peripapillary atrophy OU, and retinal vessels emanating from the superior optic discs (Figure 1).
Figure 1. Fundus examination showed bilateral absence of the superior optic nerve head rim, superior peripapillary atrophy, and retinal vessels emanating from the superior optic discs.
Figure 2. Humphrey visual field testing showed bilateral partial arcuate defects without involvement of the nasal visual field or central vision.
On 24-2 Humphrey VF testing, bilateral partial arcuate defects without involvement of the nasal VF or the central vision were evident (Figure 2). OCT of the peripapillary retinal nerve fiber layer (RNFL) showed remarkably low superior RNFL thickness OU (14 µm and 17 µm, respectively; Figure 3). The unusual ONH/RNFL structural loss and nonclassic functional loss on VF prompted referral to a neuro-ophthalmology subspecialist.
Figure 3. OCT of the peripapillary retinal nerve fiber layer showed remarkably low superior retinal nerve fiber layer thickness in both eyes.
Consultation with neuro-ophthalmology led to a diagnosis of superior segmental optic hypoplasia (SSOH), or topless disc syndrome. SSOH is a nonprogressive congenital anomaly that affects the superior ONH bilaterally. Common clinical presentations include: (1) relative superior entrance of the central retinal artery; (2) superior peripapillary scleral halo, also known as the double-ring sign; (3) superior disc pallor; and (4) significant superior RNFL thinning. The condition often results in a corresponding inferior VF defect.
With SSOH, patients are typically young and have adequate vision. VF loss is more commonly bilateral than unilateral, and SSOH is more common in females than in males. Risk factors include prematurity and low birth weight, and a strong association has been shown between SSOH and maternal diabetes.1,2 No therapy is indicated for SSOH.
The structural absence of the superior ONH with nonclassic inferior VF loss should prompt a consideration of SSOH in the differential diagnosis of patients undergoing evaluation for glaucoma.
CASE NO. 2
A 36-year-old white man was referred for asymptomatic unilateral IOP elevation. On routine examination by his optometrist, the patient had an IOP of 26 mm Hg OS. The following week, his IOP had increased to 39 mm Hg OS. The patient was started on a timolol-brimonidine combination drop OS twice daily, and he was referred to the glaucoma clinic.
The patient had a history of seasonal allergies and sports-related concussions in the 1990s without known eye trauma. He reported no smoking, alcohol use, or illicit drug use. Relevant family history included a paternal great grandmother with possible glaucoma.
Upon examination, the patient's IOP was 13 mm Hg OD and 15 mm Hg OS. Gonioscopy revealed open angles without significant trabecular meshwork pigmentation, and central corneal thickness measured 560 µm OU. Anterior segment examination was unremarkable OD but was significant for 2+ anterior chamber pigmented cells, faint peripheral radial iris transillumination defects, and no Krukenberg spindle OS. Posterior fundus examination without scleral depression was unremarkable, with bilaterally intact ONH rims (Figure 4). Humphrey 30-2 VF testing was unremarkable OD, whereas isolated superior and inferior VF defects just superior and inferior to the blind spot, respectively, were observed OS (Figure 5).
Figure 4. Posterior fundus examination without scleral depression was unremarkable, with bilaterally intact ONH rims.
Figure 5. On 30-2 Humphrey visual field testing, isolated superior and inferior visual field defects were observed just superior and inferior to the blind spot, respectively, OS (A). Results were unremarkable OD (B).
Because the patient was a healthy young man with unilateral IOP elevation, pigmented anterior chamber cells on examination, and iris transillumination defects, the differential diagnoses included glaucomatocyclitic crisis, pigment dispersion syndrome (primary or secondary), inflammatory glaucoma (herpes simplex virus or cytomegalovirus), and traumatic glaucoma. Given the asymptomatic unilateral findings of anterior chamber cells without an obvious cause, the patient was referred to the retina-uveitis division for further evaluation.
Figure 6. Upon referral to the retina-uveitis service, the patient was diagnosed with chronic macula-on retinal detachment and Schwartz-Matsuo syndrome.
Upon referral to the retina-uveitis service, the patient underwent fundus examination with scleral depression, which showed a far peripheral chronic-atrophic retinal detachment with anterior dialysis and intraretinal cysts. The patient was diagnosed with chronic macula-on retinal detachment and Schwartz-Matsuo syndrome (Figure 6). Schwartz-Matsuo syndrome involves ocular hypertension in the setting of chronic rhegmatogenous retinal detachment, typically caused by anterior dialysis at the ora serrata.3-5 The pathophysiology of Schwartz-Matsuo syndrome includes the chronic release of photoreceptor outer segments into the aqueous humor, which impedes trabecular meshwork outflow. Primary clinical findings include pigmented aqueous cells, elevated IOP with fluctuation, and rhegmatogenous retinal detachment with tears around the ora serrata. Treatment includes retinal detachment repair, which often resolves the ocular hypertension.
Following his diagnosis, the patient underwent scleral buckling, cryopexy, and C3F8 gas OS to repair the retinal detachment. His IOP normalized with these interventions.
Unilaterally elevated IOP, pigmented anterior chamber cells, and a history of head trauma (even in the absence of direct eye trauma) should prompt careful evaluation of the peripheral retina to rule out Schwartz-Matsuo syndrome in patients undergoing evaluation for glaucoma.
Author's Note: Dr. Tehrani thanks Julie Falardeau, MD (neuro-ophthalmologist, Oregon Health & Science University), and Phoebe Lin, MD, PhD (vitreoretinal surgeon, Oregon Health & Science University), for helpful discussion and comanagement of these cases.
1. Petersen RA, Walton DS. Optic nerve hypoplasia with good visual acuity and visual field defects: a study of children of diabetic mothers. Arch Ophthalmol. 1977;95(2):254-258.
2. Kim RY, Hoyt WF, Lessell S, Narahara MH. Superior segmental optic hypoplasia. A sign of maternal diabetes. Arch Ophthalmol. 1989;107(9):1312-1315.
3. Schwartz A. Chronic open-angle glaucoma secondary to rhegmatogenous retinal detachment. Trans Am Ophthalmol Soc. 1972;70:178-189.
4. Matsuo N, Takabatake M, Ueno H, Nakayama T, Matsuo T. Photoreceptor outer segments in the aqueous humor in rhegmatogenous retinal detachment. Am J Ophthalmol. 1986;101(6):673-679.
5. Callender D, Jay JL, Barrie T. Schwartz-Matsuo syndrome: atypical presentation as acute open angle glaucoma. Br J Ophthalmol. 1997;81(7):609-610.
Shandiz Tehrani, MD, PhD
• Assistant Professor of Ophthalmology, Casey Eye Institute, Oregon Health & Science University, Portland, Oregon
• tehrani@ohsu.edu
• Financial disclosure: Research support from Research to Prevent Blindness (Career Development Award to S.T. and unrestricted grant to OHSU); National Institutes of Health/National Eye Institute (K08EY024025 to S.T. and P30EY010572 to OHSU)
