CASE PRESENTATION
A 60-year-old man of European ancestry is referred for uncontrolled IOP and visual field progression. On examination, UCVA is 20/30 OD and 20/40 OS, and pinhole visual acuity is 20/25 OU. IOP is 19 mm Hg OU, and central corneal thickness (CCT) is 515 µm OD and 505 µm OS. Historically, the maximum IOP reading for each eye is 26 mm Hg.
Motility and pupillary examinations are normal. A slit-lamp examination shows an early cataract in each eye. Gonioscopy is D40r 3+ pigmented trabecular meshwork (Spaeth) and grade IV (Shaeffer). The cup-to-disc ratio is 0.8 in each eye with vertical elongation and a suggestion of nasal pallor. The retinal examination is normal. Automatic achromatic visual field testing and imaging of the retinal nerve fiber layer (RNFL) of each eye demonstrate abnormalities (Figures 1 and 2). The patient is currently administering latanoprost in each eye at bedtime.
Figure 1. Automated achromatic visual field testing with a Humphrey Field Analyzer (Carl Zeiss Meditec) demonstrates abnormalities.
How would you proceed?
—Case prepared by Douglas J. Rhee, MD
THOMAS PATRIANAKOS, MD
Although this patient may have glaucoma that is suboptimally controlled on his current medication regimen, I am more concerned that causes other than glaucoma could be contributing to his visual field loss. Because the results of neither OCT imaging of the RNFL nor visual field testing are classic for glaucomatous optic neuropathy, other etiologies for this patient’s bitemporal field loss should be explored.
I would ask the patient whether he has experienced rapid growth of his hands or feet or any episodes of impotence or galactorrhea. Patients who have a hormone secreting pituitary macroadenoma can experience these symptoms. I would also assess this patient’s extraocular motility and color vision. The presence of a cranial nerve palsy could indicate lateral growth of a pituitary tumor into the cavernous sinus, leading to various deficits in extraocular motility. Decreased color vision is uncommon in glaucoma and could be highly suggestive of another cause of his optic neuropathy. Regardless of whether any of these symptoms are present, I would still proceed to order an MRI of the brain and orbits to look for another etiology of this gentleman’s optic neuropathy because the ancillary tests (visual field testing, OCT scans) are so inconsistent with findings of optic neuropathy from glaucoma.
Other forms of optic neuropathy can often coexist with or masquerade as glaucoma. It is important to attempt to correlate presenting symptoms and diagnostic testing results in a case such as this one. If they do not seem to make sense, further workup is necessary to discover why.
SHAKEEL SHAREEF, MD
Two simultaneous processes are occurring. First, bitemporal visual field loss respecting the vertical meridian indicates that a compressive optic neuropathy such as a pituitary macroadenoma is enlarging and impinging on the chiasm1 where nasal fibers decussate. This may account for the visual field progression and nasal pallor. Second, an inferonasal arcuate scotoma aligned with the x-axis in the left eye correlates with the temporal RNFL respecting the temporal raphe. OCT shows a 50% reduction in RNFL thickness superiorly in the left eye compared to the right eye. These findings are consistent with glaucoma.
Primary open-angle glaucoma is prevalent among patients with European ancestry. Gonioscopy demonstrated open angles. In the Ocular Hypertension Treatment Study (OHTS), decreasing IOP by 20% or more with ocular hypotensive medication reduced patients’ risk of developing glaucoma by 50% at 5 years.2 For those with a baseline IOP higher than or equal to 25.75 mm Hg and a CCT of less than or equal to 555 µm, the 5-year risk of developing glaucoma was 36%.3
A maximum IOP of 26 mm Hg OU and an average CCT measurement for the two eyes of 510 µm put this patient at high risk of developing glaucoma in each eye. Assuming the presence of ocular hypertension in the past, this patient’s current IOP of 19 mm Hg on latanoprost in both eyes represents a reduction of 20% or more from baseline. However, considering the inferior arcuate scotoma in the left eye, a thin pachymetry reading, a vertically elongated 0.8 cup-to-disc ratio, and the patient’s ethnicity, I would be more aggressive about further lowering IOP by adding a second agent (ie, a carbonic anhydrase inhibitor) for the treatment of both eyes. Based upon subsequent serial visual field testing, I would adjust the IOP with additional medical, laser, or surgical treatment to retard progression. If he were a candidate for cataract surgery, I would offer phacoemulsification combined with angle surgery for his left eye. Options could include implantation of a Hydrus Microstent (Ivantis) or ab interno canaloplasty (iTrack surgery system, Ellex) combined with goniotomy using a Kahook Dual Blade (New World Medical).
For the suspected compressive optic neuropathy, I would request neuroimaging (MRI) and refer the patient to neurosurgery as appropriate. The degree of reversibility of visual dysfunction after surgical decompression has been shown to correlate with average loss of RNFL thickness as measured preoperatively with OCT.4 A value of more than 80 µm was correlated with a postdecompression improvement of greater than 10 dB mean deviation in visual field defects and improved visual acuity. The average RNFL thickness in this patient (71 µm OD, 53 µm OS) suggests the prospect of a modest recovery of visual function after surgery.
ARTHUR J. SIT, MD
This patient has two apparent problems: uncontrolled IOP and visual field progression. In this case, it is clearly more important to start by considering the visual fields, which suggest a bitemporal hemianopsia that is denser in the left eye. Although there is also an inferior nasal step in the left eye, a neurologic cause for the visual field defects should be considered, consistent with the nasal pallor of the discs. Taking a careful medical history will help to determine if there is a known cause for a bitemporal defect, particularly a chiasmal lesion such as a pituitary adenoma. Even then, the progressive visual field decline would make the next step an MRI of the head and orbits to rule out a compressive lesion. If the MRI is positive, the patient should be referred to neurosurgery for further evaluation and management, and modification of glaucoma therapy should be deferred. If the neuroimaging is negative, it would then be reasonable to focus on the uncontrolled IOP, with the assumption that the visual field progression is due to glaucoma.
It is unclear whether the patient’s IOP increased recently or whether progression has occurred at an IOP that was previously considered acceptable. Regardless, if visual field progression is occurring at 19 mm Hg, then the target IOP should be set at a lower level, likely in the low to middle teens, given the significant visual field defects and thin corneas. Because the patient is using only a single medication, there is a wide variety of options for additive therapy. Selective laser trabeculoplasty would be appropriate given the wide-open angles and 3+ trabecular pigmentation. Adding a second medication would also be reasonable. If the patient is symptomatic from the early cataracts, then microinvasive glaucoma surgery could be considered. I would not recommend filtering surgery until more conservative measures were tried and failed.
WHAT I DID: DOUGLAS J. RHEE, MD
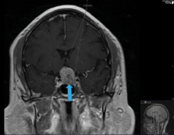
I thought that the changes in this patient’s visual acuity could be attributed to bilateral cataracts. The inferior nasal step in his left eye appeared to be localized to the RNFL. The other visual field changes respected the horizontal meridian, however, and seemed out of proportion to the RNFL damage. I ordered an MRI of the brain with and without contrast and subsequently referred this patient to neurosurgery for treatment based on findings of a pituitary mass (Figures 3–5). He subsequently underwent resection of the mass (Figure 6).
Figure 3. T1-weighted MRI scan, coronal section, with contrast. Blue arrow indicates the growing pituitary mass.
Figure 4. T1-weighted MRI scan, coronal section, with contrast. Blue arrow indicates the growing pituitary mass. Labeled elongated blue arrow indicates the optic chiasm.
Figure 6. T1-weighted MRI scan, coronal section, with contrast, after surgical resection. No mass is present.
In the 2 years following surgery, most of this patient’s visual field defects resolved (Figure 7) even though his RNFL defects remained stable (Figure 8). Given his history of elevated IOP and a persistent RNFL-localizing inferior arcuate defect, he continued glaucoma medical therapy. He recently underwent bilateral cataract surgery, after which IOP decreased in each eye. At his last follow-up visit, UCVA was 20/20 OU, and IOP measured in the middle teens in each eye.
Figure 7. Serial automated achromatic visual field testing with a Humphrey Field Analyzer demonstrates reversal of vertical meridian respecting visual field defects. Most recent visual field is seen at the top.
Figure 8. RNFL testing over the same date range as the visual fields shown in Figure 7. Stability of the RNFL defects is seen.
1. Atan D. The visual impact of pituitary tumours. The Pituitary Foundation website. https://www.pituitary.org.uk/news/2017/08/the-visual-impact-of-pituitary-tumours/. Published May 8, 2017. Accessed April 29, 2019.
2. Kass MA, Heuer DK, Higginbotham EJ, et al. The Ocular Hypertension Treatment Study: a randomized trial determines that topical ocular hypotensive medication delays or prevents the onset of primary open-angle glaucoma. Arch Ophthalmol. 2002;120(6):701-713.
3. Gordon M, Beiser J, Brandt J, et al. The Ocular Hypertension Study: baseline factors that predict the onset of primary open-angle glaucoma. Arch Ophthalmol. 2002;120(6):714-720.
4. Danesh-Meyer HV, Papchenko T, Savino PJ, Law A, Evans J, Gamble GD. In vivo retinal nerve fiber layer thickness measured by optical coherence tomography predicts visual recovery after surgery for parachiasmal tumors. Invest Ophthalmolol Vis Sci. 2008;49(5):1879-1885.
