Three Cases of Customized Care
By Won I. Kim, MD
CASE NO. 1
An 80-year-old white man presented with primary open-angle glaucoma (OAG). A review of his medical record revealed a pretreatment maximum IOP of 28 mm Hg OS. At his initial visit with me in April 2013, his BCVA was 20/20 OS and IOP was 21 mm Hg OS on latanoprost and a fixed combination of dorzolamide-timolol (Cosopt, Merck). Dilated fundus examination revealed a cup-to-disc ratio of 0.95. Visual field (VF) testing (Humphrey Visual Field Analyzer, Carl Zeiss Meditec) showed a steadily worsening superior arcuate scotoma that had progressed from -9.32 dB in 2006 to -15.86 dB in 2013 (Figure 1).
The patient’s ocular history was significant for a brimonidine tartrate (Alphagan, Allergan) allergy and phacoemulsification cataract surgery on the right eye in 1992 and the left eye in 2002. Before undergoing cataract surgery, the patient had a history of high axial myopia and retinal detachment repair with a scleral buckle in the left eye in 1980.
This evaluation indicated that surgical intervention was necessary. I considered trabeculectomy but ultimately ruled it out due to the patient’s history of scleral buckling surgery and resultant scarred conjunctiva. A Baerveldt glaucoma implant (Johnson & Johnson Vision) seemed to be a reasonable choice in this setting, as the patient had severe VF loss that was progressing and a target IOP in the low teens. However, the patient’s history of high axial myopia increased his risk of hypotony-related complications with traditional filtration surgery, and the risk of tube erosion is greater in patients with multiple prior ocular surgeries. Further, the risks of diplopia, motility disturbance, and corneal decompensation were particularly worrisome to the patient.
As an alternative, I offered the patient a combination of two MIGS procedures I had available at the time: excisional or ablative goniotomy with the Trabectome (MicroSurgical Technology) and endoscopic cyclophotocoagulation (ECP). I communicated to the patient that the latter treatment was less established than the former, with less supporting data. However, the patient wished to attempt this approach to minimize the risk of complications. He accepted the potential need to return to the OR for the more traditional option (the Baerveldt implant) if the combined approach failed to achieve the desired IOP reduction.
The patient underwent nasal Trabectome goniotomy combined with two-incision 360° ECP in June 2013 (Figure 2). From postoperative day 1 to year 4, the patient’s IOP was consistently in the 10 to 14 mm Hg range on latanoprost and dorzolamide-timolol. Even more important, his postoperative VFs remained stable on the four tests obtained up to 2017 (Figure 3). At that point, the patient moved and was lost to my follow-up care.
Figure 2. Trabectome goniotomy (A) was combined with two-incision 360° ECP (B) to minimize the patient’s risk of complications.
This case was memorable to me as it demonstrated the ability to use MIGS to achieve consistently low IOP and preserve vision over a long follow-up period in a patient with severe and progressive VF loss.
CASE NO. 2
A 77-year-old black woman who was newly diagnosed with normal-tension primary OAG was referred to me in May 2015. Her only recorded pretreatment IOP was 18 mm Hg OU. The referring provider had started her on latanoprost OU, and her IOP over three visits ranged from 13 to 15 mm Hg OU.
On my initial examination, the patient demonstrated severe cupping, with a 0.9 cup-to-disc ratio OU, and severe VF loss of -30 dB OD (mean deviation) and -27 dB OS. I set an initial target IOP of 10 mm Hg, with an acceptable range of 8 to 12 mm Hg OU. The patient’s BCVA was 20/70 OD and 20/50 OS. Potential acuity testing predicted 20/25 visual acuity OU if cataract surgery were to be performed.
I discussed the option of trabeculectomy with the patient due to the severity of her disease; however, she was reluctant to undergo this procedure once informed of the associated complication rate and rigorous postoperative care regimen. All the patient truly wanted was cataract surgery to improve her visual acuity. After an in-depth discussion, she accepted that undergoing a MIGS procedure at the time of her cataract surgery would not add much risk compared with cataract surgery alone and would likely keep the postoperative care relatively easy.
The MIGS options available to me at the time were a trabecular microbypass stent (iStent, Glaukos), excisional ablative goniotomy with the Trabectome, ab interno canaloplasty, gonioscopy-assisted transluminal trabeculotomy (GATT), and ECP. I wanted greater IOP-lowering efficacy than I thought the iStent could achieve. GATT presented too great a risk for significant postoperative hyphema that could delay visual recovery, which I felt would not be acceptable to this patient. ECP could have elevated the risk for cystoid macular edema.
Therefore, I decided to use the Trabectome to eliminate the resistance at the trabecular meshwork (TM) in the nasal sector, and to augment that with ab interno canaloplasty (ABiC, Ellex) through the Trabectome cleft to encourage further IOP lowering by expanding the rest of Schlemm canal. I treated the right eye in July 2015, followed by the left eye in November 2015 (Video 1).
The patient’s postoperative course was excellent and exceeded my expectations. She maintained an IOP of 7 to 9 mm Hg OD over many visits, from 1 month postoperative to past year 2 postoperative off all medications. She maintained an IOP of 7 to 11 mm Hg OS over the same timeframe, also off all medications. In June 2018, her IOP was recorded as 12 mm Hg OD and 14 mm Hg OS, and I reinitiated latanoprost OU. Since then, her IOP over six office visits has remained between 7 and 11 mm Hg OU, up to the most recent office visit in December 2019.
This case produced results that defy conventional wisdom regarding the degree of IOP lowering that can be achieved with MIGS, and it is also notable for the longevity and durability of its effects, lasting more than 4 years. This is not to suggest that MIGS procedures will always produce these kinds of results, but such results are within the realm of possibility, and combining MIGS procedures with different and complementary mechanisms of action may improve the odds of achieving outcomes like these.
In my opinion, it is not out of the question to consider MIGS procedures as an initial surgical intervention, even in patients with severe VF loss and advanced disease. MIGS should be strongly considered as an alternative to traditional glaucoma filtration surgery, especially when performed in conjunction with phacoemulsification cataract surgery.
CASE NO. 3
A 60-year-old white man with pseudoexfoliative glaucoma was referred for surgical intervention due to high IOP OD despite maximum tolerated medical therapy. At presentation, his UCVA was 20/20 OD and IOP was 48 mm Hg OD on netarsudil/latanoprost ophthalmic solution 0.02%/0.005% (Rocklatan, Aerie Pharmaceuticals), dorzolamide-timolol fixed combination, and brimonidine tartrate. Gonioscopy revealed open angles to scleral spur with dense 4+ pigmentation in the TM. Dilated fundus examination showed inferior notching of the neuroretinal rim corresponding to an early superior nasal step, with -3 dB (mean deviation) loss on VF testing. With the addition of oral acetazolamide (Diamox Sequels, Teva Pharmaceuticals) 500 mg twice a day to his topical regimen, his IOP at the preoperative visit was 34 mm Hg.
Surgery was recommended, and we discussed all options. With an IOP in the high 40s mm Hg on maximum topical glaucoma therapy and an IOP still in the mid 30s mm Hg with the addition of an oral carbonic anhydrase inhibitor, I felt that selective laser trabeculoplasty (SLT) was not a good option. Similarly, I thought his IOP was too high to have a realistic chance for success with MicroPulse transscleral cyclophotocoagulation. With just an early nasal step on VF testing, traditional filtration surgery such as trabeculectomy would subject the patient to too great a risk of complications for the level of disease he had. Glaucoma drainage implants presented a slightly diminished risk for complications compared with trabeculectomy but would still subject the patient to a 10% risk of diplopia or motility disturbance, about a 5% risk for tube erosion, and a small risk for corneal decompensation over the course of his life.
In order to prioritize safety, we decided to evaluate the options for MIGS. We discussed Xen 45 Gel Stent (Allergan) implantation as a viable option, but the patient would soon be moving to another state, so we needed to minimize postoperative care and avoid the potential need for bleb needling, a long course of topical corticosteroids, and the use of mitomycin C. We discussed ABiC, but with such dense pigmentation in the TM I did not feel that expanding Schlemm canal would sufficiently lower his IOP.
I felt that the resistance at the TM had to be directly addressed. Therefore, we discussed forms of surgery that cut or remove TM, such as ablative goniotomy with the Trabectome, excisional goniotomy with the Kahook Dual Blade (New World Medical), or ab interno circumferential trabeculotomy or GATT performed with either the iTrack lighted microcatheter (Ellex) or the Omni Surgical System (Sight Sciences). These were all reasonable options in this scenario, but the patient was concerned about the risk of hyphema, especially with GATT, and preferred to seek options that were tissue-sparing.
For the patient, having a metal microstent implanted was preferable. We discussed that these implants would be considered off label, as he did not have a visually significant cataract. We also discussed that phacoemulsification cataract extraction could be justified and could possibly lower IOP slightly and make the use of the microstents an on-label procedure; however, given the patient’s lack of visual symptoms and 20/20 UCVA, the risk-to-benefit ratio was not in his favor. In our military setting, insurance reimbursement was not an issue, so the off-label use of the microstents was not a barrier. The iStent and iStent Inject (Glaukos) were discussed as good options and, without a doubt, the safest interventions we could offer. However, we discussed the COMPARE trial, in which the Hydrus microstent (Ivantis) was shown to be superior to two first-generation iStents in lowering IOP and reducing medication burden. In this case, because the patient’s preoperative IOP was so high, we decided to err on the side of efficacy and chose the Hydrus.
I also discussed with the patient my success in combining different MIGS procedures to increase efficacy, so we decided to incorporate that as well. Our final surgical plan was to dilate Schlemm canal first with the Omni System and then follow that with Hydrus microstent implantation. The Omni system and the Hydrus share similar designs and pair well together. We discussed that, if possible, I would try to implant two Hydrus microstents to increase the chance of success given his extremely high IOP and extremely high medication burden.
The patient underwent surgery in March 2020 (Video 2). I started the case sitting temporally with the patient’s head turned away from me 40° and the microscope tilted 40°. Through a 1.5-mm paracentesis placed inferotemporally, with injection of an ophthalmic viscosurgical device (OVD) to expand the anterior chamber and under direct gonioscopic visualization, I used the Omni system to dilate Schlemm canal. Through that same incision, a Hydrus microstent was implanted in the nasal quadrant and easily slid into the dilated Schlemm canal. I then moved to the superior position, positioned the patient’s head to face vertically, and created a second 1.5-mm paracentesis superotemporally. The microscope was angled to a more extreme 50° angle, and the patient was asked to look down. Under direct gonioscopic visualization, a second Hydrus microstent was implanted in the inferior angle. The OVD was removed, and the wounds were sealed with simple hydration.
On postoperative day 1, the patient’s visual acuity was 20/40, IOP was 7 mm Hg on dorzolamide-timolol overnight, and all wounds were Seidel-negative. I stopped the dorzolamide-timolol and started the patient on pilocarpine to try to prevent anterior synechiae from occluding the Hydrus microstents’ ostia. The patient was also placed on a topical corticosteroid and an antibiotic.
On postoperative week 1, visual acuity was 20/25 and IOP was 9 mm Hg on pilocarpine. I stopped the antibiotic and sent the patient home with instructions to taper off the pilocarpine and the corticosteroid over the following month. The patient then moved away, and he followed up recently with an ophthalmologist near his new home. He reported that, at his 2-month postoperative visit, his IOP was 12 mm Hg off all medications in the operative eye.
This case is memorable for the incredible reduction in IOP achieved off all medical therapy. It is also memorable in the sense that it illustrates the shared decision-making that is now the norm in obtaining informed consent for glaucoma surgery. Discussing the risks, benefits, and alternatives is a complicated and lengthy exercise but a rewarding one. MIGS has greatly expanded our repertoire and our ability to tailor surgery to each patient to meet his or her unique needs, preferences, and expectations.
Sparing Limited Remaining Conjunctiva in Severe Disease
By Mazeyar Saboori, MD
A 65-year-old black man with a history of advanced glaucoma came to me for a second opinion. He had a 15-year history of primary OAG that was controlled medically before being diagnosed with anterior scleritis and macular edema in both eyes, which necessitated treatment with oral steroids and methotrexate as well as topical steroids. His glaucoma became uncontrolled, and he underwent placement of a Baerveldt 350 tube shunt in the right eye and cataract extraction and Ahmed Glaucoma Valve (New World Medical) placement in the left eye.
At the time he came to see me, the patient’s BCVA was 20/30 OD and 20/50 OS, and his central corneal thickness was 480 µm OD and 494 µm OS. His IOP was 20 mm Hg OD and 9 mm Hg OS on travoprost (Travatan, Alcon), brinzolamide-brimonidine (Simbrinza, Novartis), and timolol in both eyes.
Examination of the right eye was remarkable for inferior scleral injection, a superiorly placed Baerveldt tube shunt (encompassing the superotemporal and superonasal quadrants), 2+ nuclear sclerotic and 1+ posterior subcapsular cataract, and a cup-to-disc ratio of 0.85. The left eye was notable for a superotemporal Ahmed valve, 0.9 cup-to-disc ratio, and macular edema. The patient was taking difluprednate ophthalmic emulsion 0.05% (Durezol, Novartis) OU three times a day and oral methotrexate.
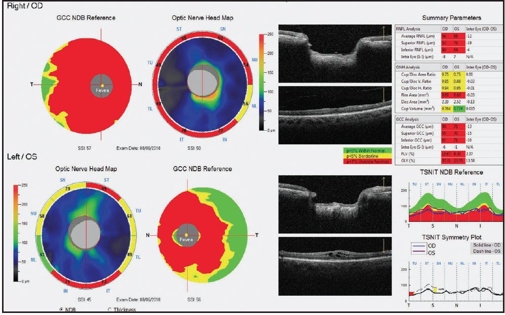
Gonioscopy was open to scleral spur OU with a few areas of pinpoint peripheral anterior synechiae inferiorly in the right eye; of note, the tube entered the eye just anterior to the TM in the right eye. VF and OCT showed advanced loss in both eyes (Figures 4 and 5).
Figure 5. OCT optic nerve head maps and ganglion cell complex thickness maps showed advanced retinal nerve fiber layer and ganglion cell complex damage in both eyes.
At this time, the patient was started on rituximab by his rheumatologist in an effort to decrease the need for topical steroids. However, the discontinuation of difluprednate ophthalmic emulsion 0.05% and addition of netarsudil ophthalmic solution 0.02% (Rhopressa, Aerie Pharmaceuticals) failed to decrease his IOP. Given the patient’s visually significant cataract and inadequately controlled severe glaucoma, a decision was made to proceed with further glaucoma surgery combined with cataract extraction. Due to the placement of the Baerveldt tube shunt in both quadrants superiorly, there was no more conjunctival real estate for additional filtering surgeries superiorly.
The patient underwent cataract surgery with synechiolysis and 360° of GATT using the iTrack microcatheter. Cannulation of Schlemm canal was performed successfully for 360° without obstruction from the tube shunt due to its anterior placement. Viscodilation was performed while the catheter was advanced. The anterior chamber was left filled 50% with a cohesive OVD at the end of the surgery.
On postoperative day 1, IOP was 15 mm Hg and visual acuity was 20/100 due to the presence of microhyphema. All glaucoma drops except pilocarpine twice daily were withheld in the operative eye, and the patient was placed on difluprednate ophthalmic emulsion 0.05% four times daily due to his history of uveitis. At 1 week postoperative, his IOP measured 12 mm Hg and vision had improved to 20/40. The difluprednate ophthalmic emulsion 0.05% was tapered to once daily over the course of 2 months, and the patient experienced no steroid response during this time.
At his most recent visit, at 15 months postoperative, the difluprednate ophthalmic emulsion 0.05% has been tapered off in both eyes, with no recurrence of scleritis or cystoid macular edema. UCVA was 20/30 OD and 20/40 OS, with IOP of 8 mm Hg OD and 10 mm Hg OS. The patient was using dorzolamide three times daily in the right eye, as prescribed by his uveitis specialist for treatment of cystoid macular edema, as well as travoprost, timolol, and brinzolamide-brimonidine in the left eye.
This was a particularly memorable case given the advanced nature of the patient’s disease and the lack of available untouched conjunctiva superiorly. In my hands, GATT has been successful for secondary OAG, such as uveitic and steroid-response glaucoma. This particular patient, however, had a long history of primary OAG prior to his diagnosis of uveitis and steroid use, which made the decision to proceed with GATT more difficult. As reported by Grover et al,1 GATT has a high probability of failure in eyes with severe glaucoma (mean deviation -15.0 or more). On the other hand, in secondary OAG, GATT is an effective tool for lowering IOP, with a reported average IOP reduction of 49.8%.1
I always have a candid discussion with my patients regarding the risk of failure of MIGS procedures and the possible need to proceed to further filtering surgeries. Thankfully, in this case the need for additional filtering procedures has been mitigated, thanks to advances in safe and effective MIGS procedures.
1. Grover DS, Smith O, Fellman RL, Godfrey DG, Gupta A. Gonioscopy assisted transluminal trabeculotomy: an ab interno circumferential trabeculotomy–24-month follow-up. J Glaucoma. 2018;27(5):393-401.
A New Range of Options
By Monisha M. Vora, MD
A 94-year-old high-functioning white woman came to me for a fourth opinion for surgical management of moderate-to-severe pseudoexfoliative glaucoma in her left eye. She had an extensive ocular history that included multiple SLT treatments since the early 2000s in both eyes as well as a steroid response in both eyes (Figure 6). In the right eye, she had a history of retinal tear treatments; geographic atrophy from macular degeneration; and, most recently, a Xen Gel Stent implantation in 2018. Both eyes were pseudophakic. The patient also had a chronic history of intolerance to multiple drops. She was using brimonidine tartrate and dorzolamide twice daily in the left eye. However, she wished to stop her use of the carbonic anhydrase inhibitor due to its side effect of metallic taste. Pachymetry was relatively normal, at 545 μm in both eyes.
On presentation (Figure 7), the patient’s visual acuity was counting fingers and IOP was 9 mm Hg in the right eye. In the left eye, visual acuity was 20/60 and IOP was 26 mm Hg on maximally tolerated medical therapy. Her anterior examination was remarkable for a beautiful superonasal bleb in the right eye, and otherwise as per her history. The posterior pole examination revealed extensive cupping of both nerves, with a cup-to-disc ratio of 0.85. No Drance hemorrhages were present.
We proceeded with SLT treatment of 270° of the angle of the left eye. She had an initial drop in IOP within 2 weeks, but by 4 weeks postoperative her IOP was back up to pretreatment levels. VF testing revealed an impending splitting of fixation in her left eye, with extensive damage and splitting of fixation in her right eye.
This patient was extremely hesitant to accept another surgical option, given her extensive ocular history. She was restricted to only a few options, as there was no room to maximize her medications due to multiple intolerances. After extensive and honest discussions, it was made clear to the patient that she needed a filtration procedure to salvage her vision. She was not agreeable.
I decided to offer the patient a minimally invasive approach with a standalone viscocanaloplasty and goniotomy, given her history of secondary open-angle pseudoexfoliative glaucoma. The patient was agreeable. We proceeded with a 180° approach to the angle. The surgery was unremarkable and went as planned with no complications (Video 3).
The patient experienced an immediate drop in her IOP to the mid-teens. At her most recent 1-year follow-up visit, her visual acuity remained stable at 20/50 and her IOP was
11 mm Hg on brimonidine tartrate twice daily. This case demonstrates the power and efficacy that MIGS can offer both physician and patient, expanding the treatment options available in comparison with the past.
New Drugs and New Procedures Working Together
By H. George Tanaka, MD
My most memorable MIGS case involved a 35-year-old woman who had lost her right eye at age 4 to a retinal detachment. Her left and only seeing eye had been treated with glaucoma drops since she was 8 years old. By the time she was referred to me by a colleague, this patient had already undergone three SLT treatments and was taking preservative-free dorzolamide-timolol three times a day, preservative-free tafluprost (Zioptan, Merck) at bedtime, and 25 mg oral methazolamide three times a day. Netarsudil had recently been added with minimal effect, and she did not respond to latanoprostene bunod (Vyzulta, Bausch + Lomb).
Despite using preservative-free medications, the patient complained of a constantly red and itchy left eye. Her IOPs had been creeping up to 22 mm Hg with a normal central corneal thickness of 570 μm. She was a very high myope with visual acuity of 20/30 using a -23.00 D contact lens. Her OCT showed superior nerve fiber layer loss, and her VF showed a corresponding early inferior arcuate defect. She was a well-informed patient and adamantly refused trabeculectomy or tube shunt surgery.
I performed 360° GATT, and her IOP dropped to 11 mm Hg the next day, while visual acuity remained 20/30. She did well for the first month after surgery and traveled overseas for vacation. During this time she saw an ophthalmologist, and I received a frantic message that her IOP was 36 mm Hg at 6 weeks after the GATT procedure. I restarted preservative-free dorzolamide-timolol and pilocarpine 2%, which decreased the IOP to 14 mm Hg. I later switched the pilocarpine to netarsudil, which had not been effective in the past, but the patient had an unexpected response to the rho-kinase inhibitor. I attributed this to netarsudil’s effect on episcleral venous pressure, which had previously been masked by the presence of an intact TM.
One year after surgery, the patient’s IOP is well controlled at 11 mm Hg on two medications and no oral methazolamide. She is very happy to have avoided a more invasive surgery.
A Blue Angle to Remember
By Bac T. Nguyen, MD
Trypan blue dye has been safely used to improve visualization in cataract surgery and angle surgery through its staining of the anterior lens capsule and the TM.1-3 My most memorable MIGS case involved an angle that stained so vividly with trypan blue that it fundamentally changed how I teach MIGS surgery to residents.
CASE PRESENTATION
A 70-year-old white woman with primary OAG and cataracts in both eyes presented with worsening vision interfering with her activities of daily living. Her BCVA was 20/40 in both eyes. IOP was 12 mm Hg OD and 16 mm Hg OS on travoprost 0.04% and timolol maleate 0.5% daily in both eyes. Gonioscopy showed open angles in both eyes, Shaffer grade IV, with faint pigmentation. The patient had 3+ nuclear sclerotic cataracts in both eyes. The cup-to-disc ratio was 0.6 OD and 0.8 OS. Her VF was consistent with mild glaucoma in the right eye and moderate glaucoma in the left eye. The patient elected to undergo cataract extraction with IOL implantation along with the placement of a trabecular microbypass stent (Hydrus Microstent) in the left eye.
SURGICAL COURSE
Given the patient’s preoperative gonioscopy finding of faintly pigmented TM, I decided to use trypan blue ophthalmic solution 0.06% (Vision Blue, DORC International) to help stain the TM and facilitate implantation of the Hydrus Microstent. After creating two paracenteses for bimanual surgery, I instilled 0.2 mL of preservative-free 1% lidocaine into the anterior chamber. Trypan blue was then injected to fill the anterior chamber and stain the anterior lens capsule and TM for 30 seconds before being irrigated out with balanced salt solution. This was followed by successful cataract extraction using phacoemulsification.
After IOL implantation and removal of the OVD from the capsular bag complex, 0.1 mL of carbachol intraocular solution 0.01% (Miostat, Alcon) was instilled in the anterior chamber to induce miosis. This was followed by an injection of OVD to inflate the anterior chamber and nasal angle. The operating microscope was tilted 45° toward the surgeon, and the patient’s head was rotated 30° away from the surgeon to aid in visualization of the nasal angle for the MIGS procedure. A left-handed Swan Jacob gonioprism was placed on the cornea with an OVD coupling agent. The TM was readily identifiable by its bright blue color from the trypan blue staining (Figure 8).
Figure 8. Intraoperative image of stained trabecular meshwork prior to Hydrus Microstent implantation.
I introduced the Hydrus Microstent injector into the anterior chamber through the temporal corneal wound. The injector cannula tip was engaged into Schlemm canal, and the Hydrus Microstent was deployed into the canal by scrolling the injector wheel forward. The injector lock was disengaged from the Hydrus Microstent, and the injector was removed from the anterior chamber. I used a Sinskey hook to adjust the positioning of the device and then removed the remaining OVD. At 6 months postoperative, the patient’s UCVA was 20/25 and IOP was 12 mm Hg on travoprost 0.04% and timolol maleate 0.5% daily.
CONCLUSION
Although it has long been documented that trypan blue aids in enhancing visualization for cataract surgery, recent advances in angle-based glaucoma surgery in adults have shown new uses for this vital dye, including staining of the TM and outlining of the collector channels.1-3 I personally had not seen a TM stain so brightly and vividly until this particular case. Most impressively, the staining persisted until the end of the procedure, despite having been applied before cataract extraction. The views seen in Figure 8 and Video 4 were captured after cataract extraction and IOL implantation.
Because of this case, I changed how I teach MIGS to the residents at Baylor College of Medicine. To prepare them for MIGS, I have our senior residents tilt the microscope and rotate the patient’s head and directly visualize the angle with a Swab Jacob gonioprism during cataract surgery with and without trypan blue. This helps residents become familiar with achieving the proper positioning for angle surgery, viewing the angle anatomy, and seeing how much trypan blue can improve visualization of a lightly pigmented TM. When the residents start performing MIGS, I have them use trypan blue on their first six cases to ensure that they have the best visualization possible.
1. Melles GR, Waard PWD, Pameyer JH, et al. Trypan blue capsule staining to visualize the capsulorhexis in cataract surgery. J Cataract Refract Surg. 1999;25:7-9.
2. Grover DS, Fellman RL. Confirming and establishing patency of glaucoma drainage devices using trypan blue. J Glaucoma. 2013;22:1-2.
3. Laroche D, Nortey A, Ng C. A novel use of trypan blue during canalicular glaucoma surgery to identify aqueous outflow to episcleral and intrascleral veins. J Glaucoma. 2018;27:158-161.
Mixing MIGS During COVID-19
By I. Paul Singh, MD
Glaucoma specialists today are fortunate to practice in an age with a wide variety of available treatment options. During the COVID-19 pandemic especially, I have found having access to a range of MIGS devices to be extremely valuable for addressing the individual needs and concerns of each patient who presents for glaucoma care.
This time has posed a unique set of challenges to physicians, patients, and practices alike. Over the past few months, the specific concerns on my mind have been:
- Identifying which patients are at risk of permanent vision loss;
- Minimizing postoperative events;
- Minimizing postoperative visits;
- Minimizing postoperative drops and compliance issues; and
- Navigating care with a leaner staff.
In light of these additional challenges, the importance of maximizing both the efficacy and safety of glaucoma treatments has been heightened. One way to achieve this goal for surgical glaucoma patients is by combining MIGS approaches and their different mechanisms of action.
With conventional outflow MIGS, we do not know where the resistance to outflow is preoperatively. Is it blockage in the TM, collapse of the Schlemm canal? Are there herniations into the collector system? We have a range of individual approaches—including placement of outflow stents, dilation of the outflow system, stripping or removal of the TM—that work at different levels of the outflow system. Combining approaches allows us to potentially maximize outflow while maintaining the safety of conventional angle-based MIGS procedures.
CASE NO. 1
A 78-year-old patient presented with BCVA of 20/60 OD and 20/40 OS. The patient had ocular surface disease and a significant cataract in the right eye. Maximum IOP was 39 mm Hg OD and 33 mm Hg OS. IOP on four medications was 32 mm Hg OD and 22 mm Hg OS. Gonioscopy revealed an open angle and +2 pigmentation of the TM. The patient had a history of a failed Ex-Press shunt (Alcon) OD, rendering the conjunctiva unhealthy, as well as a history of failed SLT in both eyes, indicating likely resistance behind the TM, either in the Schlemm canal or distal channels. Corneal hysteresis was low, at around 7 OD and 8 OS (compared with a normal value of 10). This indicated that the shock-absorbing ability of the patient’s cornea might be poor, placing him at greater risk of glaucomatous progression.
Pachymetry was fairly normal, with a central corneal thickness of 523 μm OD and 534 μm OS. On OCT, however, the patient’s ganglion cell layer was almost negligible, the ganglion cell complex was wiped out, and the retinal nerve fiber layer in both eyes was extremely thin (Figure 9). The right eye showed a notch in the inferior rim. VF testing revealed paracentral loss with a superior defect in the right eye that was consistent with the retinal nerve fiber layer loss and disc notch. Moderate disease was also indicated in the left eye by VF testing.
Figure 9. The patient’s ganglion cell layer was almost negligible, the ganglion cell complex was wiped out, and the retinal nerve fiber layer in both eyes was extremely thin.
Given this diagnostic picture and the patient’s concerns about coming into the office, I decided to utilize a combined approach including 360° viscodilation with the Omni Surgical System (Sight Sciences), 180° goniotomy, implantation of a Hydrus Microstent (Ivantis), and cataract extraction (Video 5). With the Omni device, I engaged the TM at about a 45° angle and advanced the nylon thread 180° in one direction. As the thread was retracted, OVD was released to dilate the canal and distal channels. I then performed the same technique to address the other 180°, but after viscodilation, I rethreaded the canal and then performed a 180° goniotomy. Next, addressing the part of the angle that was not cut, I placed a Hydrus stent, which not only bypasses the TM but also scaffolds Schlemm canal. Performing viscodilation first enables the Hydrus to slip in beautifully.
In this case, I was able to maximize distal outflow via viscodilation, cut the TM about 180°, and, in the other 180°, place a scaffolding device to maximize outflow through the conventional pathway. On postoperative day 1, IOP was 18 mm Hg. At postoperative month 1, IOP was 14 mm Hg and UCVA was 20/30 on brimonidine-timolol only. For this 78-year-old patient with IOP in the 30s mm Hg on four medications, by mixing MIGS I was able to maximize efficacy, decrease IOP and the number of glaucoma medications, and minimize the number of postoperative visits required compared with traditional glaucoma surgery.
CASE NO. 2
I also recently performed 360° viscodilation with concomitant iStent inject (Glaukos) placement in a patient with open-angle glaucoma who was undergoing cataract surgery. This 68-year-old woman had mild primary open-angle glaucoma on brimonidine, timolol, and bimatoprost. She had preoperative IOPs in the low 20s mm Hg with some fluctuation. She had documented progressive VF loss and a worsening cataract. Central corneal thickness was near 550 μm OU, and corneal hysteresis was around 9 OU. The patient admitted to being noncompliant with her medications.
As shown in Video 6, once the patient’s cataract was removed, I obtained a beautiful view of the angle with a gonioprism, scored the TM with the Omni loader, and then aimed at about a 45° angle toward the posterior wall. I advanced the wheel to release the nylon thread into Schlemm canal. Once the wheel stopped, I reversed the wheel to retract the thread and release OVD. Going back the other way, I also engaged at about a 45° angle, advanced the wheel to release the nylon thread into Schlemm canal for the other 180°, and then retracted the wheel and nylon thread while OVD was released. This maneuver helped to dilate Schlemm canal and the distal channels.
Next, I placed the first iStent inject as perpendicular to the TM as possible while dimpling down to ensure optimal placement. About 2 clock hours away, I placed the second iStent inject. One must be careful not to dimple too much, as the canal has been dilated and there is a risk of over-implantation. While performing irrigation and aspiration, a nice fluid wave appeared near the site of the iStents, verifying that the outflow was increased. After removing OVD, I hydrated the wounds and ensured that the pressure was high enough (in the mid to upper teens) to prevent any blood reflux.
The patient’s vision improved quickly, from 20/30 on postoperative day 1 to 20/20 at postoperative week 1. IOP was 15 mm Hg on postoperative day 1, 17 mm Hg at postoperative week 1, and 16 mm Hg at postoperative month 1 off all medications. No additional or unscheduled visits were required.
A patient taking more than two or three medications, even with mild disease, is one for whom it may make sense to combine mechanisms to maximize outflow yet save the TM for a future procedure such as SLT or a cutting/stripping procedure as needed.
CONCLUSION
Mixing MIGS procedures can be extremely valuable in certain cases. Figure 10 shows my go-to algorithm for working through this decision-making process in order to identify the surgical approach that achieves optimal safety and efficacy for each patient.
PERFORMING MIGS in a Pandemic
By Lorraine M. Provencher, MD
During the COVID-19 pandemic, I treated two urgent glaucoma patients with similar presentations and treatment courses. These cases exemplified the modified decision-making required while caring for patients in this uncertain time and illustrated the heightened value of MIGS in this unique situation.
CASE NO. 1
A 65-year-old man presented to me with severe pigmentary glaucoma in the left eye. He had a history of failed trabeculoplasty, and he was on what I like to call maximum reasonable medical therapy, specifically dorzolamide-timolol, brimonidine, latanoprost, and netarsudil. His BCVA was 20/25, and IOP was 32 mm Hg with a target pressure of low- to mid-teens. He had evidence of medication-related ocular surface disease and blepharitis. He was phakic, and the optic nerve was thin to the inferior rim with a cup-to-disc ratio of 0.75.
CASE NO. 2
A 75-year-old man also presented to me with severe pseudoexfoliative glaucoma in the left eye. He too had a history of failed trabeculoplasty and was on maximum reasonable medical therapy (dorzolamide-timolol, brimonidine, latanoprost, pilocarpine). His BCVA was 20/20, and IOP was 21 mm Hg with a target pressure in the low teens. He had ocular surface disease from his heavy medication regimen. He was pseudophakic, and his optic nerve was severely cupped (0.9 cup-to-disc ratio).
Figures 11 and 12 show the patients’ respective visual fields, both of which show severe defects, as well as corresponding OCT changes.
Figure 12. Visual fields (A) and OCTs (B) for a 75-year-old man with severe pseudoexfoliative glaucoma.
SURGICAL PLANS
When mapping out the treatment plans, my considerations were similar for both cases. Both patients had severe ocular surface disease, both needed IOPs in the low to mid-teens or low teens, and both had virgin conjunctiva. They also required urgent treatment during the COVID-19 pandemic, yielding additional concerns regarding their overall health and well-being.
In both cases, my first priority was to optimize the ocular surface prior to surgery. I recommended that both patients start frequent artificial tears and topical steroids to quiet the conjunctiva. (In some patients, I may also stop offending glaucoma medications if the patient can withstand a brief elevation in IOP.) I then planned to implant a Xen Gen Stent using 60 μg mitomycin C (MMC) and an open conjunctiva technique to ensure optimal stent placement in order to achieve the lowest possible IOP. Video 7 demonstrates my approach in Case No. 2.
As shown in the video, I administered a subconjunctival injection of MMC, taking care to roll the MMC back from the limbus to avoid an ischemic limbal bleb. I created a small fornix-based peritomy. With the conjunctiva open, I used cautery to achieve adequate hemostasis of the scleral bed. I then marked the sclera 2.0 to 2.5 mm back from the limbus, infraducted the eye with a traction suture placed at the start of the case, and placed the Xen ab externo by tunneling through sclera until the Xen inserter tip was visible in the anterior chamber. Early peritubular flow was visible as the Xen inserter was retracted. Flow was then visible from the Xen tip once the stent hydrated. I backed the Xen up slightly, making microadjustments and confirming proper placement with gonioscopy.
As I started to close the conjunctiva, I noticed that an area of thick Tenon capsule would rest at the lumen of the Xen stent, so I decided to perform a small tenonectomy. I closed the conjunctiva with a wing suture, followed by a running closure. I then checked to ensure that the Xen was mobile and a bleb had formed.
A similar surgery was performed in Case No. 1, but a larger tenonectomy was required.
To date, both patients have done well. The patient in Case No. 2 had an IOP of 6 mm Hg on postoperative day 1, and he has since maintained an IOP of 9 mm Hg through 2 months’ follow-up. The patient in Case No. 1 had a higher postoperative day 1 IOP of 11 mm Hg but is still at goal with an IOP of 12 mm Hg at 2 months’ follow-up. Both patients required subconjunctival 5-fluorouracil injections in the first few postoperative weeks, and both are on a long slow topical steroid taper.
CONCLUSION
During the pandemic, my reasons for performing MIGS and implanting the Xen stent were multiple. The procedure is predictable and requires fewer postoperative visits than other surgical treatments such as trabeculectomy. As shown with these cases, off-label modifications can be used to ensure optimal stent placement in the subconjunctival space and achieve lower IOPs. Further, the quick recovery; lower risk of adverse events with coughing, straining, or ventilation; and reduced stress to the patient overall made this approach particularly valuable during the COVID-19 pandemic.






