Corneal Hysteresis: Evidence Update and Case Report
By Davinder S. Grover, MD, MPH
I incorporated corneal hysteresis (CH) measurement into my clinical practice more than 7 years ago. My experience with CH and the published data on the biomechanics of the eye continue to show that CH is a vital sign of glaucoma. I depend on this value to help me individualize the care of each patient and to further risk-stratify glaucoma patients and glaucoma suspects. In fact, I do not make a clinical decision about a patient with glaucoma or a glaucoma suspect without knowing their CH value.
This article provides an update on recent studies demonstrating the clinical utility and importance of CH, corneal-compensated IOP (IOPcc), and the biomechanics of the eye as they pertain to glaucoma development and progression. Additionally, a case report shows how I used this information to care for a patient who presented for a glaucoma evaluation.
EVIDENCE UPDATE
CH is the only in vivo measurement of the biomechanics of the cornea and ocular tissue. Its value reflects the ability of the corneal tissue to dissipate energy.1,2 The exact method for measuring CH is beyond the scope of this article, but several detailed overviews have been published in the peer-reviewed literature.1-4
Broadly, I think of CH as a reflection of the shock-absorbing ability of the eye. Essentially, eyes that are good shock absorbers (high CH) are less likely to develop glaucoma and less likely to experience glaucomatous progression. Conversely, eyes that are poor shock absorbers (low CH) are more likely to develop glaucoma and disease progression. CH reflects how an eye responds to stress (elevated IOP) and whether the eye experiences the brunt of that stress (low CH) or is able to dissipate the energy and protect the optic nerve (high CH).
As a point of reference, the CH population average for most ethnicities is around 10 mm Hg.2-4 A simplistic interpretation is that a CH above 10 mm Hg is good and a CH below 10 mm Hg is poor. Interestingly, Wong et al recently reported that low CH was significantly associated with posterior displacement of the anterior lamina cribrosa.5 Although this is not the first study to suggest this association, it advances a mechanistic theory as to why eyes with low CH are more likely to develop glaucoma and disease progression.
In a prospective study by Medeiros et al, baseline CH had a significant effect on the rate of visual field (VF) progression in patients with glaucoma.4 Specifically, the investigators found that, over time, glaucomatous eyes with a CH of 10 mm Hg or higher did not experience rapidly progressive VF loss, whereas several eyes with a CH that was lower than 10 mm Hg did. In their multivariate model, CH had a threefold greater association with an increased rate of VF progression than central corneal thickness (CCT). Numerous other studies have reported similar findings.3,6,7
In particular, Murphy et al demonstrated that not only was low CH a risk factor for progression but high CH was also protective against glaucomatous progression.6 Susanna et al followed up with a similarly designed study to evaluate whether CH is a risk factor for predicting disease development in glaucoma suspects. These investigators reported that the cumulative probability of an eye’s developing glaucoma was nearly three times higher when CH was lower than average versus when CH was above average.8 Medeiros et al also found that CH was closely linked to a patient’s risk of glaucoma development and progression.4
CH AND IOP
Although CH refers to the specific output number by the Ocular Response Analyzer (Reichert Technologies), this measurement reflects the overall biomechanics of the eye. Other interesting and clinically useful information from the device includes the predicted Goldmann applanation tonometry value, or the value that the machine predicts that a Goldmann applanation tonometer will read (IOPg), and the IOPcc, which is an IOP measurement that minimizes the influence of corneal properties and incorporates the biomechanics of the eye. Although I personally do not give the IOPg measurement a lot of weight, I consider the CH value and IOPcc to be essential for caring for patients who have glaucoma or who are at risk of developing the disease.
Often, my Goldmann IOP and IOPcc measurements are in close agreement when the CH measurement is average or above average. However, I have found that, when the CH measurement is low, there is sometimes a discrepancy between the IOPcc and Goldmann IOP; the Goldmann IOP is almost always lower than the IOPcc. I often encounter this scenario when a patient has progressive glaucoma despite having a Goldmann IOP measurement in the low teens. In these cases, I often find that CH is lower than average and the IOPcc is in the middle to upper teens. I tend to give the IOPcc more weight in these cases and to treat these patients based on the IOPcc rather than the Goldmann IOP.
CASE REPORT: DISC HEMORRHAGE AND SUSPICIOUS OPTIC NERVES
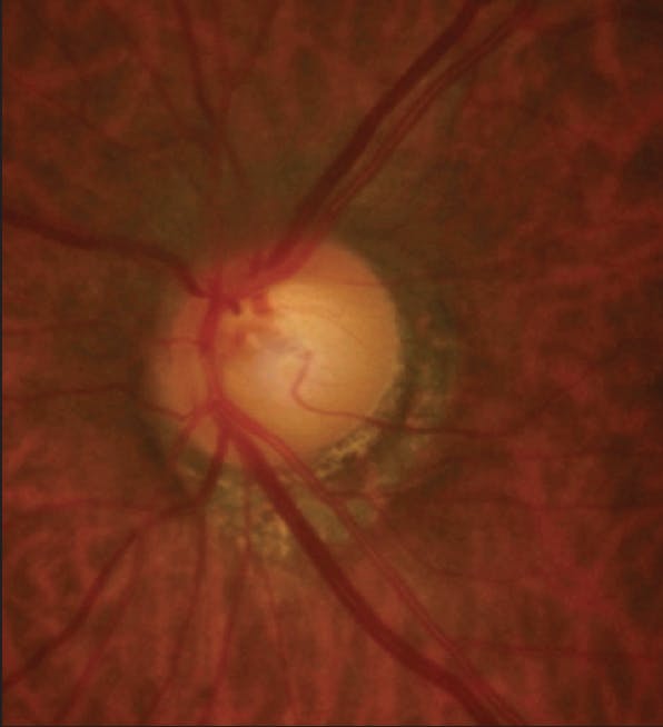
A 59-year-old Hispanic man was referred to me for a glaucoma evaluation after his optometrist detected a disc hemorrhage in the patient’s right eye. He had no significant past medical history or ocular history and no family history of glaucoma. BCVA was 20/20 OU, and the refractive error was around -3.00 D of sphere in each eye. CCT was 536 µm OD and 538 µm OS. Cup-to-disc ratios were 0.8 OD and 0.85 OS. A resolving disc hemorrhage and inferior thinning of the retinal nerve fiber layer (RNFL) were observed in the right eye (Figure 1), and peripapillary atrophy and inferior thinning of the RNFL were observed in the left eye (Figure 2). VF testing showed a relatively stable field in the left eye (Figure 3A) but there was a mild nasal step (Figure 3B) and corresponding focal loss of RNFL on OCT in the right eye (Figure 4). Goldmann IOPs were 13 mm Hg OD and 14 mm Hg OS.
Figure 1. A resolving disc hemorrhage and inferior thinning of the RNFL were observed in the patient’s right eye.
Courtesy of Davinder S. Grover, MD, MPH
Figure 2. Peripapillary atrophy and inferior thinning of the RNFL were observed in the patient’s left eye.
Courtesy of Davinder S. Grover, MD, MPH
Figure 3. VF testing showed a relatively stable field in the left eye (A) and a mild nasal step in the right eye (B).
Courtesy of Davinder S. Grover, MD, MPH
Figure 4. Focal loss of the RNFL in the right eye was observed on OCT.
Courtesy of Davinder S. Grover, MD, MPH
Based on the Ocular Hypertension Treatment Study (OHTS) calculator, the patient’s 5-year risk of developing primary open-angle glaucoma was around 15%, with an OHTS score of 10. Although this individual is not a classic OHTS patient, it is instructive to use various models to help predict a patient’s risk of developing glaucoma, especially in complex cases of a resolving disc hemorrhage, myopic discs, and VF defects.
I initiated therapy with latanoprost in each eye. When the patient returned for follow-up in 2 months, Goldmann IOP was essentially unchanged from baseline at 13 mm Hg OD and 12 mm Hg OS. Thus, based on most studies of glaucoma drugs in the United States, this patient would be classified as a nonresponder. Interestingly, his initial IOPcc was 16.7 mm Hg OD and 17.7 mm Hg OS. Despite a minimal change in Goldmann IOP, at 2 months, the patient’s IOPcc had decreased to 12.2 mm Hg OD and 12.6 mm Hg OS. His CH was 8.7 mm Hg OD and 8.9 mm Hg OS. This case exemplifies how CH can help to further risk-stratify a patient and perhaps provide more accurate insight into IOP.
CONCLUSION
In my experience, CH and IOPcc allow me to further risk-stratify my patients. Gazzard et al recently suggested that Goldmann applanation tonometry may no longer be the gold standard for measuring IOP and that IOPcc may be preferable for IOP assessment.9 Although I do not think it is time to throw away Goldmann applanation tips, I do think it is vital to incorporate CH and IOPcc into the decision-making algorithm when caring for patients with glaucoma.
1. Luce DA. Determining in vivo biomechanical properties of the cornea with an Ocular Response Analyzer. J Cataract Refract Surg. 2005;31:156-162.
2. Shah S, Laiquzzaman M, Cunliffe, Mantry S. The use of the Reichert Ocular Response Analyser to establish the relationship between ocular hysteresis, corneal resistance factor and central corneal thickness in normal eyes. Cont Lens Anterior Eye. 2006;29:257-262.
3. Congdon NG, Broman AT, Bandeen-Roche K, Grover D, Quigley HA. Central corneal thickness and corneal hysteresis associated with glaucoma damage. Am J Ophthalmol. 2006;141:868-875.
4. Medeiros FA, Meira-Freitas D, Lisboa R, et al. Corneal hysteresis as a risk factor for glaucoma progression: a prospective longitudinal study. Ophthalmology. 2013;120:1533-1540.
5. Wong BJ, Moghimi S, Zangwill LM, et al. Relationship of corneal hysteresis and anterior lamina cribrosa displacement in glaucoma. Am J Ophthalmol. 2020;212:134-143.
6. Murphy ML, Pokrovskaya O, Galligan M, O’Brien C. Corneal hysteresis in patients with glaucoma-like optic discs, ocular hypertension and glaucoma. BMC Ophthalmology. 2017;17:1.
7. De Moraes CVG, Hill V, Tello C, Liebmann JM, Ritch R. Lower corneal hysteresis is associated with more rapid glaucomatous visual field progression. J Glaucoma. 2012;21:209-213.
8. Susanna CN, Diniz-Filho A, Daga FB, et al. A prospective longitudinal study to investigate corneal hysteresis as a risk factor for predicting development of glaucoma. Am J Ophthalmol. 2018;187:148-152.
9. Gazzard G, Jayaram H, Roldan AM, et al. When gold standards change: time to move on from Goldmann tonometry? Br J Ophthalmol. Published online September 24, 2020. doi:10.1136/bjophthalmol-2020-317112
An Overtreated Patient With High Corneal Hysteresis
By Nathan Radcliffe, MD, and Nicholas Tan, BA
An otherwise healthy 55-year-old man presented with follicular conjunctivitis, periocular dermatitis, and IOPs of 30 mm Hg OU. He had a 10-year history of treatment for ocular hypertension, with baseline untreated IOPs of 30 to 32 mm Hg OU. IOP remained stable between 22 and 25 mm Hg OU on a regimen of latanoprost, a fixed combination of dorzolamide and timolol, and brimonidine 0.2%. CCT was 550 µm OD and 555 µm OS, and optic nerve and visual field testing were normal and stable.
The differential diagnosis for follicular conjunctivitis and dermatitis in this patient included both timolol and brimonidine type IV hypersensitivity reactions. Eventually, both medications were stopped. The patient continued administering latanoprost and experienced a significant improvement in symptoms. On follow-up, measurements with the Ocular Response Analyzer found Goldmann-correlated IOPs of 28 mm Hg OU and CH of 14 mm Hg OU.
CH is determined by measuring the difference between the air-jet pressure at inward and outward applanation and provides information about the cornea’s viscoelasticity or biomechanics. CH can be used to adjust Goldmann IOP measurements and to assess the risk of glaucoma development and progression (Figure 5).1,2 Based on prospective evidence that suggests that patients with high CH values have a low risk of glaucoma development,1 we stopped all of this patient’s topical glaucoma medications and initiated careful monitoring. Subsequently, the patient has been observed for 4 years, and his IOPs are between 28 and 30 mm Hg OU with no signs of disease progression.
Figure 5. A schematic demonstrating the interaction between CH and IOP, with the highest risk for glaucomatous progression occurring with both elevated CH and high IOP. The patient described in the article, who had a high CH value, might have a risk for disease progression that is similar to that of a patient with an IOP of 17 mm Hg and a normal CH value.
Courtesy of Nathan Radcliffe, MD, and Nicholas Tan, BA
Patients with high CH values are likely to present with healthy optic nerves and elevated IOPs. Significant IOP reductions with topical agents are atypical in these patients, especially when IOP is measured with Goldmann applanation tonometry.3 In one study, patients within the highest CH quartile (mean CH, 11.9 mm Hg) experienced only a 7.6% reduction in IOP after a prostaglandin analogue was started, whereas those with low CH values (mean CH, 7 mm Hg) experienced a 29% IOP reduction from the same therapy. The investigators found that this relationship remained even after controlling for baseline IOP. Finding a high CH value can cue a clinician to deescalate medical therapy, enabling some patients to be monitored while carrying a lower burden of medications.
1. Medeiros FA, Meira-Freitas D, Lisboa R, et al. Corneal hysteresis as a risk factor for glaucoma progression: a prospective longitudinal study. Ophthalmology. 2013;120(8):1533-1540.
2. Susanna CN, Diniz-Filho A, Daga FB, et al. A prospective longitudinal study to investigate corneal hysteresis as a risk factor for predicting development of glaucoma. Am J Ophthalmol. 2018;187:148-152.
3. Agarwal DR, Ehrlich JR, Shimmyo M, Radcliffe NM. The relationship between corneal hysteresis and the magnitude of intraocular pressure reduction with topical prostaglandin therapy. Br J Ophthalmol. 2012;96(2):254-257.
Worth Another Drop
By John P. Berdahl, MD
Glaucoma contains a number of puzzle pieces that ophthalmologists must try to fit together to form a clearer picture of the disease. CH is increasingly being recognized as an important piece of the puzzle.
CH is representative of the shock-absorbing ability of the eye. The shock being absorbed is likely not solely IOP but the balance between IOP and intracranial pressure. Therefore, I think of CH as a surrogate for what is happening at the optic nerve and how vulnerable a patient’s nerve is to their current IOP values and to IOP fluctuations.
CH measurements can inform clinical practice in a few ways. My colleagues and I conducted a study that showed that patients with lower CH measurements (< 10 mm Hg) had worse VFs than patients with normal CH measurements (≥ 10 mm Hg). This suggests that glaucoma may not be detected as quickly in patients with low CH or that patients with low CH may have a more aggressive form of the disease. Therefore, in general, a low CH value prompts me to have either a lower threshold to initiate treatment or a lower threshold to proceed with more aggressive treatment. When a patient presents with a low CH value, I mentally set a lower target IOP and take a more aggressive treatment approach. When a patient presents with a slightly elevated IOP but a low CH, I still consider them to be glaucoma suspects but have a lower threshold to initiate treatment.
CASE EXAMPLE
A 79-year-old patient had severe glaucoma and stable VFs. OCT imaging showed some signs of disease progression, but her IOPs were borderline and stable. Her CH measurement, however, was on the low side. Considering this entire clinical picture, we opted to adopt a lower threshold for treatment. We expanded her treatment regimen by adding a Rho kinase inhibitor to her prostaglandin analogue to try to lower her IOPs. Subtle signs of progression on OCT plus a low CH suggested it was in this patient’s best interest to take another drop, despite the increased burden, in order to decrease the likelihood of disease progression.
1. Schweitzer JA, Ervin M, Berdahl JP. Assessment of corneal hysteresis measured by the Ocular Response Analyzer as a screening tool in patients with glaucoma. Clin Ophthalmol. 2018;12:1809-1813.
