Utilizing a Second Xen in Cases of Intraluminal Obstruction
By Arkadiy Yadgarov, MD
Every surgeon who uses the Xen Gel Stent (Allergan) encounters the occasional case in which outflow through the stent stops at some point postoperatively, resulting in IOP elevation and a flat bleb. The primary reasons for this obstruction of flow include Tenon capsule scarring and intraluminal blockage.
Tenon capsule scarring. Most commonly, flow is obstructed by Tenon capsule scarring at the tip of the Xen device. Scar tissue can typically be peeled away with a needle or spatula through a closed- or open-conjunctiva revision performed at the slit lamp or in the OR. Once the scarring is removed, the surgeon can confirm flow and reapproximate the conjunctiva if an open revision was performed. In profibrotic eyes, there is an inherent risk that the stent may again become obstructed by Tenon capsule, at which point other incisional surgical options can be explored.
Intraluminal blockage. If flow cannot be reinstated through the Xen stent after the removal of scar tissue from the implant tip, then intraluminal blockage is the likely culprit. Causes of intraluminal blockage include inflammatory debris and iris pigment. At this point, the surgeon must decide whether to replace the existing Xen stent or proceed to a more invasive procedure, such as trabeculectomy or glaucoma drainage device implantation. I have found the replacement of the Xen stent to be an excellent option, with long-lasting clinical results.
WHY PLACE A SECOND XEN?
Although removing the Xen and proceeding to another surgical option such as trabeculectomy is a valid decision, the presence of an occlusion with the first Xen has no bearing on the potential success of a new Xen stent. Advantages of implanting a new Xen stent during a revision versus performing a trabeculectomy or tube shunt surgery include the following:
- The procedure is efficient;
- The postoperative course is less intensive1;
- The visual recovery is quick1; and
- Xen Gel Stents are associated with significantly lower rates of serious ocular complications (such as persistent hypotony) compared with trabeculectomy.2
Before a Xen revision, I inform the patient that I will try to restore flow through their existing stent but that, if this is not possible, we can either move to another type of surgery, such as trabeculectomy or tube shunt implantation, or simply remove the Xen stent and place a new one. After informed consent and a review of the potential postoperative course with each option, patients commonly choose the Xen replacement. They are already familiar with the postoperative course of a Xen stent and likely experienced a quick visual recovery and minimal to no serious postoperative complications with the first. They are often motivated to have a similar experience with subsequent surgery compared with the potentially rocky postoperative course with a trabeculectomy.
Surgically, there is little downside to pursuing Xen replacement surgery. With the “traditional” approach, I remove the nonfunctioning Xen and either close the eye and discuss further options later (more medication or surgery), or I immediately move on to a more invasive incisional surgery, based on the informed consent. If the patient has elected to undergo a Xen replacement, the process is more direct and facile. The conjunctiva is already open during the revision, so I can easily remove the stent and place another one under direct visualization, without substantial additional manipulation of the eye. Although the new Xen could possibly scar or obstruct again, traditional surgery is available if that occurs. If a patient’s IOP is inadequately controlled with the replacement Xen, then the outcome is a reflection of their ocular tissue state and not the lack of patency of the initial stent.
OUTCOMES OF A SECOND XEN
I have been pleasantly surprised by the outcomes of Xen replacement surgery. I have performed six Xen replacements, five of which have yielded great IOP control and diffuse blebs. One patient now has more than 2 years of surgical success, associated with IOPs in the low teens, a diffuse bleb, and excellent control of her glaucoma after a Xen replacement during a revision. Patients are typically happy with their decision, as they attain quick surgical recovery with good vision the next day and no serious complications.
What I have found most interesting is that I am seeing better IOP and bleb morphology results with the second Xen surgery than with many initial Xen implantations. This may be because the Xen replacement is mediated through an open-conjunctiva approach, which was recently shown to yield lower failure and needling rates than the closed-conjunctiva approach, which I use for primary Xen implantation.3 Another contributing factor may be the injection of mitomycin C during the revision to prevent fibrosis—this amounts to a second dose for patients after the initial Xen procedure.
Overall, my Xen replacement patients have been pleased with their results and their decision. They were motivated to avoid high-risk glaucoma surgery when they first chose Xen, and they appreciate the option to repeat implantation of the device rather than proceed to a more invasive surgery.
1. Schlenker MB, Gulamhusein H, Conrad-Hengerer I, et al. Standalone ab interno gelatin stent versus trabeculectomy: postoperative interventions, visual outcomes, and visits. Ophthalmol Glaucoma. 2018;1(3):189-196.
2. Wanichwecharungruang B, Ratprasatporn N. 24-month outcomes of Xen45 gel implant versus trabeculectomy in primary glaucoma. PLoS One. 2021;16(8):e0256362.
3. Do A, McGlumphy E, Shukla A, et al. Comparison of clinical outcomes with open versus closed conjunctiva implantation of the Xen45 Gel Stent. Ophthalmol Glaucoma. 2021;4(4):343-349.
Second OPINION, LIMITED OPTIONS
By H. George Tanaka, MD
A 76-year-old White artist with moderate pseudoexfoliation glaucoma presented for a second opinion. Her medical history was significant for breast cancer and vertigo, but she was otherwise healthy. Baseline IOP was 23 mm Hg OD and 36 mm Hg OS. She had a strong family history of glaucoma, and she had undergone multiple interventions at another center with suboptimal outcomes.
The patient was previously treated with selective laser trabeculoplasty in both eyes. She had tried multiple drops, including timolol, preservative-free dorzolamide-timolol ophthalmic solution 2%/0.5% (Cosopt, Akorn), brimonidine, and latanoprost; however, she reported having allergic reactions to these medications. Timolol was the most effective option in regard to IOP lowering, but it caused significant irritation that affected her vision, despite the use of dry eye drops.
The patient underwent cataract surgery at another center in 2016 and in 2018. Suture trabeculotomy was performed in her left eye in January 2020 and in her right eye in May 2020. Both procedures failed. The patient underwent trabeculectomy with mitomycin C in the right eye in September 2020, after which she developed hypotony (IOP 2 mm Hg to 6 mm Hg OD). The patient was off drops in her right eye, but her vision was suboptimal because of the hypotony. She did not wish to undergo trabeculectomy in her left eye, so tube shunt surgery was recommended.
At this point, the patient sought a second opinion. When she first visited my practice, she was using no drops in the right eye and brimonidine tartrate ophthalmic solution (Alphagan, Allergan) and pilocarpine 1% twice daily in the left eye. Visual acuity was 20/50 OD and 20/20 OS. IOP was 4 mm Hg OD and 30 mm Hg OS. She was pseudophakic and had open angles in both eyes. Visual field testing showed inferior arcuate defects.
The patient’s trabeculectomy resulted in prolonged hypotony. Essentially, this surgery had worked too well. I thought a subconjunctival filtration procedure with more predictable and controlled postoperative outflow would be most suitable for her better-seeing left eye.
In November 2021, I performed ab externo implantation of the Xen Gel Stent. The patient is doing well 4 weeks after surgery, with an IOP of 12 mm Hg OS off all glaucoma drops.
Titrating and Repeating ECP
By Brian A. Francis, MD, MS
Surgical options for glaucoma consist of internal filtration surgeries (angle-based trabecular surgery via Schlemm canal dilation, removal or stenting of the trabecular meshwork, and suprachoroidal stenting), external filtration surgeries (bleb-forming procedures such as trabeculectomy, aqueous tube shunt insertion, and plateless aqueous stent insertion), and procedures to decrease aqueous humor production. Endoscopic cyclophotocoagulation (ECP) falls in the last category and treats the ciliary processes with a diode laser via a direct internal approach with endoscopic visualization.1,2 The instrument probe contains a diode laser, light source, fiberoptic camera, and laser aiming beam (Figure 1) that facilitates targeted treatment of the ciliary epithelium while minimizing collateral damage to the sclera and ciliary body stroma.3,4
Figure 1. Illustration of the endoscope probe with light source, fiberoptic camera, aiming beam, and treating diode laser.
Courtesy of Brian A. Francis, MD, MS
The ability to visualize the target tissue allows for titration of treatment such that several options are available: (1) anterior ECP via a single corneal incision with 180° to 240° of treatment, (2) anterior ECP via two corneal incisions with 360° of treatment, (3) posterior ECP via a pars plana approach, and (4) posterior ECP via a pars plana approach, with treatment of the anterior pars plana (ECP-Plus; Figures 2 and 3). These options are listed in order of least aggressive to most aggressive, based on the amount of ciliary epithelium treated. With the anterior approach, only the anterior two-thirds of the ciliary processes can be visualized and treated. In contrast, the pars plana approach allows for complete treatment of the ciliary processes, resulting in greater efficacy. With this approach, caution should be used to treat 270° to 290° at most in order to prevent hypotony. Additional treatment of the pars plana with ECP-Plus may access additional ciliary epithelial cells or affect ciliary vasculature for greater reduction of aqueous humor production.5
Figure 2. Illustration of the posterior approach ECP-Plus procedure. A pars plana vitrectomy has been performed, and the probe is inserted into a posterior sclerotomy. The ciliary processes are treated along with 1 to 2 mm of the pars plana.
Courtesy of Brian A. Francis, MD, MS
Figure 3. Endoscopic image of ECP-Plus procedure. Note the whitened ciliary processes that have been treated along their entire anterior-to-posterior span and the treatment of the pars plana on the right half of the image.
Courtesy of Brian A. Francis, MD, MS
Case 1: Repeat ECP in Chronic Angle-Closure Glaucoma
A 67-year-old Asian man had a 15-year history of chronic angle-closure glaucoma. At diagnosis, IOP ranged from 25 to 30 mm Hg, with evidence of almost complete synechial angle closure (Figure 4). The optic nerve and visual field showed moderate damage, with a cup-to-disc ratio of 0.8 and a mean deviation of -7 to -8 dB. A peripheral iridotomy was performed, and glaucoma topical medications were started (prostaglandin analogue [PGA] and combination dorzolamide-timolol), with lowering of IOP into the mid-teens. Four years after his diagnosis, the patient’s cataract reached visual significance, with vision decreasing from 20/30 to 20/50. A combined phacoemulsification cataract extraction and anterior approach ECP (210° to 220°) was performed. The IOP remained in the low to mid-teens on a PGA for several years but then rose into the high teens, so the combination dorzolamide-timolol was restarted. The IOP remained in the mid-teens until approximately 8 years after the initial surgery, when it rose to between 19 mm Hg and 21 mm Hg.
Figure 4. Endoscopic image of the angle of a patient with chronic angle-closure glaucoma. Note the angle closed with goniosynechiae and no angle structures visible.
Courtesy of Brian A. Francis, MD, MS
At this point, surgical options for further IOP lowering were discussed with the patient. Due to the prolonged presence of synechial angle closure, angle-based outflow procedures and goniosynechialysis were thought unlikely to succeed. External filtration surgeries were discussed, but the patient wished to avoid these procedures if possible. Due to the success of the initial ECP, the patient decided to undergo a repeat ECP procedure. This was performed via two corneal incisions, with treatment of 360° of the ciliary processes and the intervening spaces (valleys). The treated processes had remained relatively depigmented with a pearlescent appearance from the initial procedure, but they whitened further with retreatment. The previously untreated processes were treated in the standard fashion.
The postoperative course included aggressive antiinflammatory treatment with intraoperative subconjunctival dexamethasone, frequent topical steroids, and ketorolac three times daily with a slow taper over 2 months. The glaucoma medications were continued, and IOP has remained in the 13 to 15 mm Hg range for approximately 3 years of follow-up.
Case 2: ECP-Plus in Juvenile Open-Angle Glaucoma Refractory to Multiple Filtration Surgeries and Anterior ECP
A 33-year-old man with a diagnosis of juvenile open-angle glaucoma had a history of aqueous tube shunt surgery (425-mm2 Baerveldt Glaucoma Implant) with pars plana vitrectomy in both eyes at age 6. IOP ranged from the low to mid-20s mm Hg on topical glaucoma therapy (one to three medications) but increased to 27 to 28 mm Hg on maximal medical therapy 8 years after initial surgery.
At that time, an anterior approach ECP was performed in the right eye, and IOP decreased to the mid to high teens in that eye. One year later, the IOP rose again in the right eye to 33 mm Hg due to presumed vitreous blockage of the tube. A pars plana vitrectomy was performed, with additional ECP and removal of the capsule covering the aqueous tube shunt plate with ligature and fenestrations. Following this procedure, the IOP rose to 48 mm Hg but then decreased with opening of the tube to 17 to 26 mm Hg on maximum medications, including oral carbonic anhydrase inhibitors. The IOP then slowly rose to 28 to 33 mm Hg on dorzolamide-timolol, bimatoprost, and methazolamide, at which point additional surgery was recommended.
At this time, an ECP-Plus procedure was performed, which included a pars plana approach as well treatment of the entire ciliary processes and 1 to 2 mm of treatment of the pars plana for 270°. Subconjunctival and intravenous dexamethasone was given at the time of surgery, with topical steroids, ketorolac, and atropine twice daily. The atropine was stopped after 3 weeks, and the steroids and ketorolac were tapered over 3 months. For 10 years since, the IOP has been stable from 10 to 15 mm Hg on dorzolamide-timolol twice daily.
Given the outcome achieved in the right eye, when it came time for surgery on the left eye, the same procedure was performed. Prior to surgery, the IOP ranged from 25 to 33 mm Hg on dorzolamide-timolol, brimonidine, bimatoprost, and methazolamide. For the 4 years after surgery in the left eye, the IOP has ranged from 12 to 20 mm Hg on dorzolamide-timolol, brimonidine, and bimatoprost.
ECP-Plus can be considered in the treatment of refractory glaucoma, even in patients who have had prior aqueous tube shunts and standard anterior ECP. My colleagues and I published a case series of 53 patients with glaucoma refractory to standard external filtration surgery and medications treated with ECP-Plus.5 Prior surgeries included trabeculectomy (53%), aqueous shunt (77%), and multiple external filtration surgeries (55%). IOP decreased from a baseline of 27.9 ±7.5 mm Hg to 10.2 ±5.6 at 6 months and 10.7 ±5.2 mm Hg at 12 months. Medications were also reduced from a baseline of 3.4 ±1.2 to 0.8 ±1.0 at 6 months and 0.7 ±1.2 at 12 months. Complications after 6 months of follow-up included hypotony (8%), serous choroidal detachment (8%), cystoid macular edema (6%), and failed corneal transplantation (2%).
CONCLUSION
ECP is a titratable6 and repeatable way to reduce aqueous humor production and lower IOP in a wide variety of glaucoma subtypes and severities. It can be performed in mild primary open-angle glaucoma at the time of cataract extraction with a 180° treatment via the temporal corneal incision, in chronic angle-closure glaucoma in which angle-based minimally invasive glaucoma procedures are likely to fail, and in glaucomas refractory to multiple external filtration surgeries. By varying the degrees of ciliary processes treated and the length of the processes treated (as dictated by the anterior versus posterior approach), the aggressiveness of the procedure can be titrated to fit the needs of the specific case scenario. In addition, if a prior ECP effect has waned over time, it can be repeated, with the possibility of escalating to the next level of therapy.
1. Uram M. Combined phacoemulsification, endoscopic ciliary process photocoagulation, and intraocular lens implantation in glaucoma management. Ophthalmic Surg. 1995;26:346-352.
2. Lin S. Endoscopic cyclophotocoagulation. Br J Ophthalmol. 2002;86:1434-1438.
3. Francis BA, Flowers B, Dastiridou A, et al. Endoscopic cyclophotocoagulation and other cyclodestructive modalities: histopathological comparison of in vivo treatment in humans and monkeys. Ophthalmol Glaucoma. 2019;2(6)413-421.
4. Pantcheva MB, Kahook MY, Schuman JS, Noecker RJ. Comparison of acute structural and histopathological changes in human autopsy eyes after endoscopic cyclophotocoagulation. Br J Ophthalmol. 2007;91:248-252.
5. Tan JCH, Francis BA, Noecker R, et al. Endoscopic cyclophotocoagulation and para plana ablation (ECP-Plus) to treat refractory glaucoma. J Glaucoma. 2016;25(3):117-122.
6. Kahook MY, Lathrop KL, Noecker RJ. One-site versus two-site endoscopic cyclophotocoagulation. J Glaucoma. 2007;16:527-530.
Sustained-Release Implants for Adjunctive Efficacy After Filtering Surgery
By Ahmad A. Aref, MD, MBA
It is not uncommon for adjunctive medical therapy to be required after trabeculectomy or aqueous shunt surgery. The Tube Versus Trabeculectomy (TVT) study found that the majority of patients randomized to aqueous shunt surgery and with otherwise successful outcomes required adjunctive medical therapy.1 Unfortunately, topical medical therapy is not a practical option for some patients who undergo aqueous shunt surgery.
Recently, I cared for an extremely pleasant 65-year-old man with advanced traumatic glaucoma in his left eye and admitted nonadherence to prescribed medical therapies. He also had difficulty with keeping his follow-up visits to the clinic. In January 2019, he presented with an elevated IOP of 47 mm Hg OS and admitted to nonadherence with prescribed topical fixed-combination dorzolamide-timolol and latanoprost drops. Together, we made the decision to proceed with nonvalved aqueous shunt surgery (Baerveldt Glaucoma Implant, Johnson & Johnson Vision) in his left eye.
Over the next 2 years, the patient’s IOP improved substantially but required reinstitution of preoperative medical therapies and remained in a range that was too high (upper teens to mid-20s) given his stage of disease. The patient was forthcoming about his frequent forgetfulness and inability to adhere to his topical therapies.
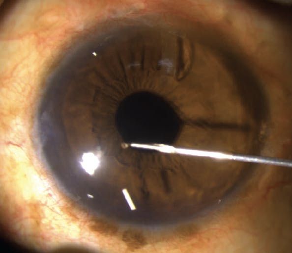
In March 2021, the patient underwent implantation of the sustained-release bimatoprost intracameral implant (Durysta, Allergan) in his left eye (Figure 5). The topical PGA was discontinued, and he was instructed to continue his aqueous suppressant therapy to the best of his ability. Over the next 7 months, IOP remained 16 mm Hg or lower at all visits, and he has yet to require reinstitution of a topical PGA.
Figure 5. Slit-lamp photograph demonstrating implantation of the sustained-release bimatoprost intracameral implant (Durysta, Allergan) in a patient with advanced traumatic glaucoma. The tube tip of a previously placed nonvalved aqueous shunt (Baerveldt Glaucoma Implant, Johnson & Johnson Vision) is visible superiorly.
Courtesy of Ahmad A. Aref, MD, MBA
Nonadherence to prescribed topical therapies negatively affects the ability to control glaucomatous disease. Glaucoma filtering operations are by no means a guaranteed solution in this scenario, as adjunctive medical therapy is often still required postoperatively. Sustained-release medical therapies offer the promise of incrementally lowering IOP while bypassing adherence challenges.
1. Gedde SJ, Feuer WJ, Lim KS, et al. Treatment outcomes in the primary Tube Versus Trabeculectomy study after 3 years of follow-up. Ophthalmology. 2020;127(3):333-345.
