The release of pigment into the anterior chamber is a major contributor to adult glaucoma. This phenomenon is evident in pigmentary glaucoma and exfoliation glaucoma, and it is typical of primary open-angle glaucoma and angle-closure glaucoma. The deposition of pigment in the trabecular meshwork is often an underlying cause of elevated IOP, ocular hypertension, and glaucoma. This article describes the mechanisms that cause a release of pigment and reviews solutions for reducing the number of pigment particles in the anterior chamber.
AGE-RELATED ENLARGEMENT OF THE LENS
Enlargement of the lens is one of the most identifiable worldwide causes of pigment liberation and angle closure that contribute to glaucoma.1 In this age-related disorder, the lens enlarges, leading to increased iridolenticular and iridozonular contact. This is exacerbated by posterior bowing of the iris during accommodation (Figure 1).2
Figure 1. The arrow indicates posterior bowing of the iris with accommodation and increased iris-lens-zonule rubbing.
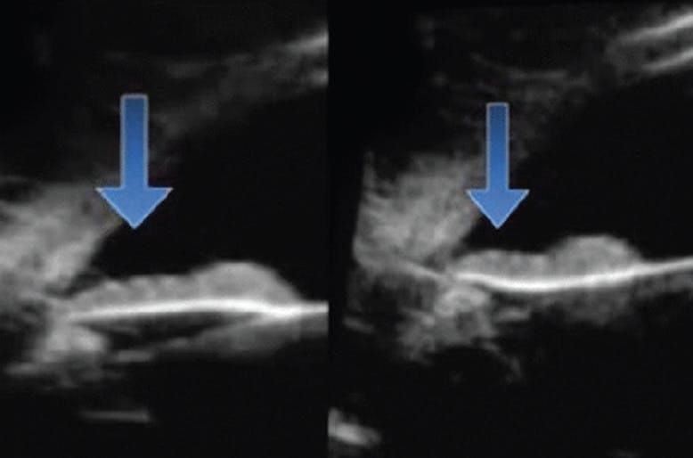
Contact between the anterior lens capsule, the zonules, and the iris disrupts the iris pigment epithelium, distributing pigment throughout the anterior chamber. Pigmentation of the trabecular meshwork increases as a result, more inferiorly than superiorly (Figure 2).
Figure 2. More pigment is present in the inferior angle (I) than in the superior angle (S). Image captured with the GS-1 Gonioscope (Nidek).
At IOPs of 18 mm Hg or higher in eyes with normal corneal thickness, gonioscopy should be performed to look for a greater amount of pigment in the inferior versus the superior angle and for narrowing of the angle. Increased pigment in the trabecular meshwork of patients with glaucoma has also been confirmed by light microscopy.3,4
PIGMENT DISPERSION SYNDROME
Pigment dispersion syndrome5 is an autosomal-dominant disorder that typically occurs when patients are in their early 20s. The condition may regress as patients age. Among individuals with this syndrome, the iris insertion is more posterior, and the peripheral iris configuration tends to be concave. Iridozonular contact during accommodation and during normal pupillary constriction and dilation disrupts the iris pigment epithelium and results in the deposition of pigmentary granules throughout the anterior segment.6,7 The classic diagnostic triad consists of corneal pigmentation (Krukenberg spindle); slit-like, radial, midperipheral iris transillumination defects; and dense trabecular pigmentation. Subsequent increases in IOP can be as high as 30 mm Hg above baseline and may peak as many as 2 or 3 hours after pupillary dilation.8
ATYPICAL PIGMENT DISPERSION SYNDROME
An entity of pigment dispersion syndrome is distinct from the classic type and presents atypically.4 It is the most common cause of glaucoma that I (D.L.) have seen in my practice. Structurally, the peripheral concave bowing of the iris that is typical of the classic type of pigment dispersion syndrome is not observed in patients with the atypical presentation. Instead, the iris inserts below the scleral spur, and it is flat or slightly convex, although the angle remains open. The atypical presentation is also associated with a lack of iris transillumination defects.
In atypical pigment dispersion syndrome, pigment dispersion is caused by the mechanical rubbing of the enlarged lens against the flat posterior surface of the iris. This mechanism could explain why iris transillumination defects are not common; the damage inflicted by the lens-iris contact may not be significant enough to cause complete pigment epithelial defects. Fewer transillumination defects are also seen in Black and Brown patients.9 In a series by Semple and Ball,4 the age of affected patients ranged from 57 to 80 years, with a mean of 73 years.
EXFOLIATION SYNDROME
Exfoliation syndrome is an age-related disorder in which fibrillar extracellular materials are produced by and accumulate in various ocular tissues.10-14 Friction between the anterior capsule of the enlarged lens and the iris disrupts the iris pigment epithelium, dispersing pigment throughout the anterior chamber. Pigmentation in the cornea and trabecular meshwork increases, and iris sphincter transillumination defects develop. Pigment dispersion may occur before the physician even detects exfoliation syndrome with a slit-lamp examination.
SURGICAL THERAPY
Patients with elevated IOPs of 18 mm Hg or higher and evidence of pigment liberation should be monitored carefully for glaucoma. They should also be advised that undergoing early cataract surgery or lens extraction could help to stop pigment liberation. Removal of the enlarged lens can halt iridolenticular and iridozonular contact and consequently pigment liberation (Figure 3).
Figure 3. The absence of iridolenticular and iridozonular contact after cataract surgery, as demonstrated by anterior segment OCT.
During surgery, a trabecular bypass stent should be implanted to restore normal aqueous outflow via Schlemm canal to the aqueous veins.2 This procedure can reduce the patient’s need for medications to lower IOP and preserve outflow via the trabecular meshwork to the aqueous veins. Lens extraction also expands Schlemm canal, which can reduce IOP further.15
LASER THERAPY
Laser peripheral iridotomy (LPI) can eliminate reverse pupillary block, flatten the iris’ contour in eyes with traditional pigmentary glaucoma, and reduce the extent of iridolenticular contact.16 LPI may also prevent the deepening of the iris’ concavity upon accommodation.17 Although LPI decreases the number of melanin granules present in the anterior chamber, it does not completely stop pigment liberation due to persistent rubbing of the iris against the lens and zonules.18 Although LPI may relieve IOP spikes, it does not lower baseline IOP because of the persistent pigment liberation and obstruction.18
DRUG THERAPY
Patients who refuse initial surgery can begin medical therapy. In addition to the administration of agents currently used to lower IOP such as prostaglandin analogues, carbonic anhydrase inhibitors, alpha agonists, and Rho kinase inhibitors, the nighttime administration of pilocarpine 2% may be considered to reduce pupillary movement and pigment liberation. Because miotics both constrict the pupil and increase aqueous outflow, they should, in principle, be first-line therapy. In practice, pilocarpine can reduce exercise-induced pigmentary release and IOP elevation.19-24 Miotics can convert the iris configuration from concave to convex and eliminate iridozonular friction. However, younger patients may tolerate pilocarpine drops poorly because of accommodative spasm and induced myopia.
CONCLUSION
The release of pigment into the anterior chamber and subsequent deposition on the trabecular meshwork are major contributors to IOP elevation and glaucoma in patients older than 50 years as well as among individuals with exfoliation syndrome and pigment dispersion syndrome. A reduction in the amount of pigment released can be achieved with early uncomplicated cataract surgery or refractive lensectomy and with microinvasive Schlemm canal surgery that restores aqueous outflow via the obstructed trabecular meshwork.
1. Laroche D, Capellan P. The aging lens and glaucoma in persons over 50: why early cataract surgery/refractive lensectomy and microinvasive trabecular bypass can prevent blindness and cure eye pressure. J Natl Med Assoc. 2021;113(4):471-473.
2. Laroche D, Nkrumah G, Ng C. Real-world efficacy of the Hydrus Microstent in Black and Afro-Latinx patients with glaucoma: a retrospective study. Ther Adv Ophthalmol. 2020;12:1-9.
3. Sommer A, Tielsch, J, Katz J, et al. Relationship between intraocular pressure and primary open angle glaucoma among White and Black Americans: The Baltimore Eye Survey. Arch Ophthalmol. 1991;109(8):1090-1095.
4. Semple H, Ball S. Pigmentary glaucoma in the Black population. Am J Ophthalmol. 1990;109(5):518-522.
5. Campbell DG. Pigmentary dispersion and glaucoma: a new theory. Arch Ophthalmol. 1979;97(9):1667-1672.
6. Aggarwal JL, Beveridge B. Liberation of iris pigment in the anterior chamber. Br J Ophthalmol. 1971;55:544-549.
7. Kristensen P. Pigment liberation test in open-angle glaucoma. Acta Ophthalmol. 1968;46:586-599.
8. Mapstone R. Pigment release. Br J Ophthalmol. 1981;65:258-263.
9. Rodrigues MM, Spaeth GL, Weinreb S, Sivalingam E. Spectrum of trabecular pigmentation in open-angle glaucoma: a clinicopathologic study. Trans Sect Ophthalmol Am Acad Ophthalmol Otolaryngol. 1976;81(2):258-276.
10. Prince AM, Streeten BW, Ritch R, et al. Preclinical diagnosis of pseudoexfoliation syndrome. Arch Ophthamol. 1987;105:1076-1082.
11. Prince AM, Ritch R. Clinical signs of the pseudoexfoliation syndrome. Ophthalmology. 1986;93:803-807.
12. Tarkkanen A. Pseudoexfoliation of the lens capsule. Acta Ophthalmol. 1962;71:1-98.
13. Ritch R, Schlötzer-Schrehardt U. Exfoliation syndrome. Surv Ophthalmol. 2001;45:265-315.
14. Chen Z, Sun J, Li M, et al. Effect of age on the morphologies of the human Schlemm’s canal and trabecular meshwork measured with swept-source optical coherence tomography. Eye. 2018;32:1621-1628.
15. Breingan PJ, Esaki K, Ishikawa H, et al. Iridolenticular contact decreases following laser iridotomy for pigment dispersion syndrome. Arch Ophthalmol. 1999;117:325-328.
16. Pavlin CJ, Macken P, Trope G, et al. Accommodation and iridotomy in the pigment dispersion syndrome. Ophthalmic Surg Lasers. 1996;27:113-120.
17. Küchle M, Mardin CY, Nguyen NX. Quantification of aqueous melanin granules in primary pigment dispersion syndrome. Am J Ophthalmol. 1998;126:425-431.
18. Wang JC, Liebmann JM, Ritch R. Long-term outcome of argon laser iridotomy in pigment dispersion syndrome. Invest Ophthalmol Vis Sci. 2001;42(suppl):S560.
19. Schenker HI, Luntz MH, Kels B, Podos SM. Exercise-induced increase of intraocular pressure in the pigmentary dispersion syndrome. Am J Ophthalmol. 1980;89:598-600.
20. Haynes WL, Johnson AT, Alward WLM. Effects of jogging exercise on patients with the pigment dispersion syndrome and pigmentary glaucoma. Ophthalmology. 1992;99:1096-1103.
22. Smith DL, Kao SF, Rabbani R, Musch DC. The effects of exercise on intraocular pressure in pigmentary glaucoma patients. Ophthalmic Surg. 1989;20:561-567.
23. Haargaard B, Jensen PK, Kessing SV, Nissen OI. Exercise and iris concavity in healthy eyes. Acta Ophthalmol Scand. 2001;79:277-282.
24. Jensen PK, Nissen O, Kessing SV. Exercise and reversed pupillary block in pigmentary glaucoma. Am J Ophthalmol. 1995;120:110-112.
