Nathan M. Radcliffe, MD: A major milestone in ophthalmology was recently reached with the development of two new treatments for geographic atrophy (GA). As I learned more about the changing GA treatment paradigm, it brought to mind several parallels to glaucoma. The glaucoma space has been experiencing a philosophical and interventional revolution, and it seems like a similar shift is occurring with GA. Dr. Kitchens, as a retina specialist, can you shed light on the history of GA care prior to these advances?
John Kitchens, MD: I started practicing almost 20 years ago, in the era of photodynamic therapy for wet age-related macular degeneration (AMD). I then saw the introduction of anti-VEGF therapy begin to revolutionize wet AMD treatment. However, we remained at a loss for the treatment of GA secondary to dry AMD. GA is relentlessly progressive: When central vision is involved, visual acuity can decrease to 20/200 or 20/400. Having tools to slow progression represents a major breakthrough.
Dr. Radcliffe: Dr. Ristvedt, what has been your experience with GA?
Deborah Ristvedt, DO: I finished training in 2011, just when anti-VEGF therapy was getting going. As a comprehensive ophthalmologist, I performed fluorescein angiography early in my career, and I have experience managing patients with intravitreal injections. But, like Dr. Kitchens said, we always lacked a treatment for GA. While managing dry AMD, I have watched patients go from 20/20 to 20/200 in 2 years, at which point the conversation shifts to the use of low vision aids and the inability to read or drive. When patients lose this independence, their quality of life suffers. That is why it is so important to monitor progression of GA and remember that it may take only 2 years or so to progress to subfoveal involvement.
NEW HORIZONS IN GA CARE
Dr. Kitchens: In a welcome step forward, the first treatment for GA, Syfovre (pegcetacoplan injection; Apellis), was approved by the FDA in February 2023. Syfovre inhibits C3 to help regulate complement overactivation in GA, and it is administered monthly or every other month. In the phase 3 DERBY and OAKS studies, Syfovre yielded about a 20% reduction in GA progression at 2 years.1
Izervay (avacincaptad pegol intravitreal solution; Iveric Bio/Astellas Pharma), which received FDA approval in August 2023, inhibits C5, another key target in the complement cascade. Based on the phase 3 GATHER1 and GATHER2 studies, Izervay also achieved about a 20% reduction in GA progression with monthly and every-other-month dosing.2
Dr. Radcliffe: How has access to these new options unfolded in your practice?
Dr. Kitchens: We have been talking to patients about GA care for some time in anticipation of these approvals. To my surprise, about 80% of patient candidates in my clinic have been interested in treatment. To me, the key is using imaging to show patients how their disease is progressing, ideally at an earlier stage when treatment will be most effective.
COMMON GROUND
Dr. Radcliffe: When I first heard about these advances in GA, glaucoma came to mind. Both GA and glaucoma are irreversible and slowly progressive, complicating their management. Patients with glaucoma have difficulty adhering to prescribed drop regimens, partly because they cannot see any treatment effect; I suspect the same may be true for patients with GA.
Similarities between glaucoma and GA also exist in terms of monitoring progression. Fundus photography and OCT are critical in both paradigms, and ultimately central vision matters most.
Dr. Ristvedt:I see the similarities as well, and I am an advocate for early intervention in both diseases. With the evolution of MIGS, we now have many tools for intervening earlier in glaucoma and alleviating some burdens on patients. This pursuit to maintain quality of vision and life catches my attention in other therapeutic areas such as AMD.
When I look at a patient with GA, I consider both quality of vision and quality of life. How close are the lesions to the fovea? How quickly is the patient progressing? If the patient will undergo cataract surgery, how does their GA factor into the type of lens I implant? Then I think about what might happen with continued injections and IOP fluctuations.
Dr. Radcliffe: Do comprehensive ophthalmologists and glaucoma specialists have the tools to monitor GA progression in their practices today, Dr. Kitchens?
Dr. Kitchens: OCT is the most valuable tool for GA detection for several reasons. Almost every ophthalmologist has access to OCT. Additionally, there are multiple ways to identify GA using OCT, from the reference image to the cross-sectional scan to advanced retinal pigment epithelium analysis. OCT scans are also the best tool for educating patients about GA.
GA IN THE CATARACT PATIENT
Dr. Kitchens: Recognition of GA is key, especially in the cataract patient. GA can be subtle, and early on, patients will have a normal-looking fovea centralis. It is important to learn how to recognize GA because these individuals will not be happy premium IOL patients.
Dr. Radcliffe: How do you approach a cataract patient with risk factors for GA?
Dr. Ristvedt: The question used to be, who gets OCT imaging before cataract surgery: all patients or just those receiving premium IOLs? Now, I obtain a macular OCT scan for every cataract patient, regardless of their IOL selection. As Dr. Kitchens mentioned, it is important to show patients their imaging so that they understand we cannot simply remove the cataract and get to 20/20. We must make clear that they have a cataract and another disease process. We must also determine whether to proceed with cataract surgery in a patient with retinal pathology or to pause and send them to a retina specialist. Dr. Kitchens, when should we be sending GA patients to retina?
Dr. Kitchens: It helps to have good communication with your retina colleague and to ask them when they want to see these patients versus when you should continue to watch them. You can also ask them about their treatment of GA, what they would like for you to tell patients about the available options, and what to send with a referral. Alternatively, you could ask your retina colleague if they are open to receiving nonidentifying images via text, and then use this approach to determine whether they want to see a patient or whether you can continue monitoring.
CASE DISCUSSION
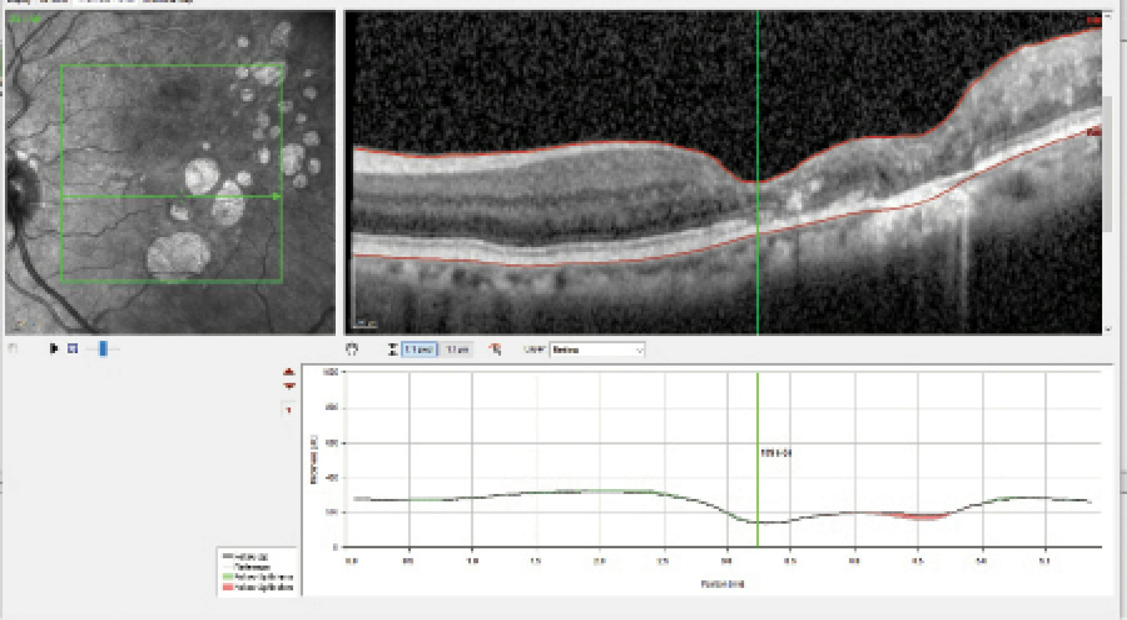
Dr. Radcliffe: A patient who has been followed in my practice is developing two diseases: cataract and GA. Initially, visual acuity was 20/40, but the foveal OCT (Figure 1) was concerning. Dr. Kitchens, why does the fovea look this way?
Dr. Kitchens: The reference image shows big punched-out areas of GA, and it looks like the green arrow is going right through the fovea. The cross-section shows a foveal depression. That leads into not only atrophy of the retinal pigment epithelium and increased signal transmission, but also atrophy of the retina, indicating an advanced stage of GA. A thorough conversation about IOL options and expectations for cataract surgery is warranted. This patient will not be happy if they invest in a premium IOL and 6 months later they are seeing 20/100.
Dr. Ristvedt: Because the atrophy is so close to the fovea, it would be interesting to use fundus autofluorescence to evaluate any areas of hyperfluorescence, indicating progression. I do think that this patient could be a candidate for a nondiffractive, astigmatism-correcting IOL.
Dr. Radcliffe: The patient does not undergo cataract surgery then but returns 1 year later. At this point, a new lesion has developed, more atrophy is present, and quality of vision has decreased due to cataract progression (Figure 2). The patient is interested in surgery. Dr. Kitchens, with the new treatment options for GA, how should this conversation go?
Dr. Kitchens: As mentioned above, there is a wide spectrum of referring doctors, and comfort levels vary. If you keep up on technology, like to prepare your patients, and have a good communication strategy with your retina colleague, then talk to this patient about their GA. You can tell them, “This is where you were then, and this is where you are now. You have geographic atrophy. New treatments are available, and, although they cannot improve your vision, they will help slow down the disease. Therapy involves an injection given by a retina specialist.”
Also, this patient is likely already having difficulty reading and will say that they are missing parts of words. I would love to have caught them at the previous scan or even prior.
Dr. Radcliffe: Disease progression does not stop on the day treatment starts, in GA or in glaucoma. I once operated on a patient the day we met, and their glaucoma still progressed. It sounds like there is an inherent disease velocity to GA as well, and it emphasizes the importance of timely diagnosis and treatment.
In glaucoma and GA care, early intervention is crucial. Patient education and management of expectations are key components to addressing these complex diseases. For both, the primary objective is to preserve patients’ quality of vision and help maintain their quality of life. Advances in care are bringing providers and patients closer to achieving this goal.
1. Apellis presents phase 3 functional analyses of Syfovre (pegcetacoplan injection) for geographic atrophy [press release]. Apellis Pharmaceuticals. April 23, 2023. Accessed November 1, 2023. bit.ly/3APgMcR
2. Iveric Bio announces new functional vision loss reduction data from avacincaptad pegol GATHER trials presented at ARVO annual meeting [press release]. Iveric Bio. April 23, 2023. Accessed November 1, 2023. bit.ly/3HtcuMg
