Perimetry is a valuable diagnostic method for assessing visual function in patients with glaucoma. In addition to identifying and quantifying vision loss at the time of initial diagnosis, perimetry plays a critical role in detecting glaucomatous progression and measuring the rate of change. The subjective nature of this testing modality results in variability and fluctuations between tests, presenting numerous challenges for clinicians seeking to determine the true progression of the disease and tailor therapy appropriately. In this article, Astrid Werner, MD, discusses two main approaches to determining glaucomatous progression—event-based and trend-based analyses—and reviews different analytical tools, including mean deviation plotted against time, guided progression analysis, and visual field index. She also provides an update on newer strategies, such as SITA Faster and 24-2C, which deliver essential data and reduce test duration, and she explores the role of AI in further enhancements of automated progression analysis.
Sarwat Salim, MD, FACS | Section Editor
Standard automated perimetry (SAP) is a fundamental tool for the detection and monitoring of glaucoma. However, as any ophthalmologist and glaucoma patient can attest, SAP testing is not without its challenges. Patients can find testing onerous, and it requires a certain level of cognitive function and physical dexterity.1 Moreover, inattention, loss of fixation, and other artifacts can undermine the reliability of test results.2 There is even inherent intertest variability in patients who are excellent visual field test takers and have stable disease.3 These factors can make test interpretation challenging. Therefore, a stepwise approach to interpretation and a thorough understanding of techniques for detecting progression are critical for appropriate clinical decision-making.
METHODS FOR DETECTING PROGRESSION
Clinical judgment is an unreliable method for detecting visual field progression.4 It should therefore be used in conjunction with trend-based and event-based analyses.
Trend-based analyses use global indices of visual function such as mean deviation (MD), visual field index, and pattern standard deviation plotted over time. Linear regression plots produce an estimated rate of change, and they can be extrapolated forward over a patient’s lifetime5—a useful tool when weighing treatment options (Figure 1). These global measures of function are less influenced by intertest variability than are localized measures of visual function,2,6 but global indices can be affected by ocular conditions other than glaucoma.7 Additionally, because they are insensitive to localized loss, these measures can miss meaningful progression, especially early in the disease course.8-10
Figure 1. A trend-based Guided Progression Analysis from the Humphrey Field Analyzer. For this patient, the slope of the line of the visual field index (VFI) plotted over time is determined to be not significant (or, in other words, the VFI results are stable). This rate of progression is also projected forward to predict VFI results at age 80.
In contrast, event-based analyses emphasize local visual function, which is inherently more variable than global visual function.8 Guided Progression Analysis (Carl Zeiss Meditec) is a widely used, automated, event-based analysis tool that emphasizes focal loss by comparing pattern deviation values at each test location to the average values from two baseline plots. Progression is flagged when the same three spots deteriorate beyond the 95% confidence interval threshold for intertest variability on three subsequent tests (Figure 2).11
Figure 2. An event-based Guided Progression Analysis from the Humphrey Field Analyzer. In the middle row, a cluster of three new inferonasal depressed points appears to indicate an inferonasal step and potential progression. However, the Guided Progression Analysis states no progression detected because this is the first time these points have been depressed (represented with an open triangle). In the bottom figure, when the test is repeated, these points are no longer present.
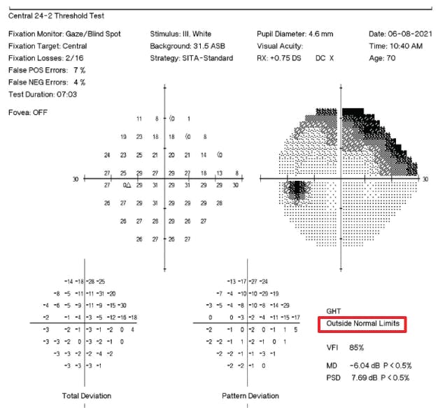
Region-wise visual field data provide a compromise between trend-based and event-based analyses.2,12 This strategy involves looking at anatomically related clusters of points within the visual field. The EyeSuite software on the Octopus perimeter (Haag-Streit) can perform a trend analysis of 10 visual field sectors. It performs as well as an MD-based trend analysis but is more sensitive to localized loss.12 The Humphrey Field Analyzer (Carl Zeiss Meditec) offers the Glaucoma Hemifield Test as a region-wise assessment of visual function that is useful in the diagnosis of glaucoma but, to date, is not part of progression analysis algorithms (Figure 3).13
Figure 3. A Glaucoma Hemifield Test. This patient has a superior arcuate scotoma, and the asymmetry between the superior and inferior fields prompts the outside normal limits result.
OPTIMAL TESTING STRATEGY TO DETECT PROGRESSION
The inherent variability in SAP testing can make it difficult to distinguish true glaucomatous progression from measurement variability. In fact, point-wise variability increases proportionally to field loss, meaning that the timely detection of progression becomes even more challenging as the disease advances.6 Increasing test frequency is one strategy to decrease the time required to detect progression14 and minimize the undue influence of a single test result on the apparent trajectory of the disease. However, real-life constraints limit the feasibility of performing multiple tests.
Several investigators have proposed evidence-based guidance on the optimal frequency of testing. Chauhan et al15 recommend six visual field tests in the first 2 years after glaucoma diagnosis to identify patients with rapidly progressing disease (>2 dB of MD loss per year) and decrease the time to detect this progression. Crabb et al16 developed a computerized model to determine the influence of testing frequency on the sensitivity and specificity of progression analysis tools, and they found that three tests per year optimized both measures.
More recently, Wu et al17 found that the time to detect disease progression decreased significantly when testing increased from once to twice per year. However, they also determined that, beyond this, the gains were smaller and that more frequent testing may not be an efficient use of resources. They recommend obtaining two baseline tests quickly and following with two tests per year as a general strategy that can reliably rule out rapid progression. Although this strategy provides a high negative predictive value for rapid progression, it cannot necessarily detect whether rapid progression is occurring or determine the rate of progression.18,19 Thus, individuals with more risk factors for disease progression and patients with higher than average test variability may be better served by more frequent testing.20
THE FUTURE OF IMPROVED DETECTION OF PROGRESSION
Recently, AI has been applied to visual field progression analysis and has been shown to detect glaucomatous progression earlier and with more accuracy than currently available analytical tools.2 AI has also been shown to improve predictive models of future visual field loss.21 Further, AI can incorporate other data sources such as retinal nerve fiber layer OCT analysis into its predictive models to improve the detection of progression.22 This is an area of research that holds great promise for the future of automated progression analysis.
Fixation losses are a common source of error that can increase variability and decrease MD values. Fundus-tracking technology presents stimuli to specific areas of the retina under continuous visualization.23 This new approach does not require active fixation by the patient and can thus reduce error from fixation losses, thereby decreasing test time and the time required to detect progression.19
EXAMINING THE CENTRAL VISUAL FIELD
The 24-2 and 30-2 (or similar) testing strategies are the clinical standard for evaluating glaucoma. However, these protocols emphasize peripheral vision, and they do not sample the macula adequately to enable consistent identification or characterization of central field defects. Recent research has shown that a significant proportion of patients identified as glaucoma suspects or as having preperimetric glaucoma actually have central visual field defects that can be detected on 10-2 tests.24-26
Because central vision has a significant impact on vision-related quality of life,27 some researchers have asserted that physicians should conduct 10-2 tests on all glaucoma suspects and patients with early glaucoma.26 Although this approach seems reasonable, the clinical benefit of this strategy is not yet clear. Incorporating 10-2 fields into routine glaucoma screening would require patients to undergo even more visual field tests as physicians also continue to monitor the peripheral field. Further, an abnormal macular OCT scan is predictive of an abnormal 10-2 result,19,28 and thus the additional 10-2 test may not alter the physician’s clinical decisions.
The 24-2C grid was recently introduced to the Humphrey Field Analyzer 3 (Carl Zeiss Meditec) as a way to increase sampling within the macular region while continuing to monitor the peripheral field. The 24-2C grid adds 10 test points to the traditional 24-2 grid within the central 10° of fixation in locations commonly affected in glaucoma. The 24-2 and the 24-2C protocols perform similarly in terms of global assessments, but the additional 10 points in the latter result in a fourfold improvement in sensitivity for central field loss with a minimal addition of 20 to 30 seconds per test.29
DECREASING TEST TIME AND IMPROVING USER EXPERIENCE WITH SITA FASTER
In 2018, Heijl et al30 introduced the Swedish Interactive Thresholding Algorithm (SITA) Faster, which significantly reduces test time compared with prior algorithms. Because age-corrected normal SITA threshold values have been identified, SITA Faster can test initial values closer to expected thresholds than prior algorithms, and only one reversal is required at primary test points (compared to two used in earlier SITA tests).30 This reduces test time by more than 50% from SITA Standard and 30% from SITA Fast to just under 3 minutes.30,31
SITA Standard, SITA Fast, and SITA Faster perform similarly in terms of MD, visual field index, and Glaucoma Hemifield Test, and all three algorithms show low test-retest variability.30,31 False positive rates appear to be higher with SITA Faster compared with SITA Standard, likely because the testing conditions for SITA Faster, in which presentation intensities are initially set very near threshold, are more difficult than the testing conditions for SITA Standard.30 Increased seeding point errors—defined as low sensitivity measurements at one or more of the four primary test locations of the 24-2 test grid—in SITA Faster may also reduce reliability and result in a false scotoma.32 Despite these sources of error, SITA Faster performs well in most clinical scenarios except in the setting of advanced field loss.33
CONCLUSION
Although SAP technology has been available for decades, advances continue to improve physicians’ ability to use this technology effectively. Progression analysis tools and appropriate testing frequency can help physicians to detect progression earlier and with greater certainty. Newer technologies, such as AI, may further refine testing capabilities. Moreover, SITA Faster and the 24-2C grid can improve patients’ experiences by obtaining critical visual field data more quickly than with other testing approaches.
1. Diniz-Filho A, Delano-Wood L, Daga FB, et al. Association between neurocognitive decline and visual field variability in glaucoma. J Am Med Assoc Ophthalmol. 2017;135:734-739.
2. Yousefi S, Kiwaki T, Zheng Y, et al. Detection of longitudinal visual field progression in glaucoma using machine learning. Am J Ophthalmol. 2018;193:71-79.
3. Heijl A, Lindgren G, Olsson J. Normal variability of static perimetric threshold values across the central visual field. Arch Ophthalmol. 1987;105:1544-1549.
4. Tanna AP, Bandi JR, Budenz DL, et al. Interobserver agreement and intraobserver reproducibility of the subjective determination of glaucomatous field progression. Ophthalmology. 2011;188:60-65.
5. Bengtsson B, Patella VM, Heijl A. Prediction of glaucomatous visual field loss by extrapolation of linear trends. Arch Ophthalmol. 2009;127(12):1610-1615.
6. Gardiner SK, Crabb DP. Examination of different pointwise linear regression methods for determining visual field progression. Invest Ophthalmol Vis Sci. 2002;43(5):1400-1407.
7. Koucheki B, Nouri-Mahdavi K, Patel G, et al. Visual field changes after cataract extraction: the AGIS experience. Am J Ophthalmol. 2004;138(6):1022-1028.
8. Aref AA, Budenz DL. Detecting visual field progression. Ophthalmology. 2017;124:S51-S56.
9. Chauhan BC, Drance SM, Douglas GR. The use of visual field indices in detecting changes in the visual field in glaucoma. Invest Ophthalmol Vis Sci. 1990;31:512-520.
10. Artes PH, O’Leary N, Hutchison DM, et al. Properties of the Statpac visual field index. Invest Ophthalmol Vis Sci. 2011;52(7):4030-4038.
11. Heijl A, Leske MC, Bengtsson B, et al; Early Manifest Glaucoma Trial Group. Measuring visual field progression in the Early Manifest Glaucoma Trial. Acta Ophthalmol Scand. 2003;81(3):286-293.
12. Aoki S, Murata H, Fujino Y, et al. Investigating the usefulness of a cluster-based trend analysis to detect visual field progression in patients with open-angle glaucoma. Br J Ophthalmol. 2017;101(12):1658-1665.
13. Asman P, Heijl A. Glaucoma Hemifield Test. Automated visual field evaluation. Arch Ophthalmol. 1992;110(6):812-819.
14. Perdicchi A, Abdolrahimzadeh S, Cutini A, et al. Evaluation of the progression of visual field damage in patients suffering from early manifest glaucoma. Clin Ophthalmol. 2016;10:1647-1651.
15. Chauhan BC, Garway-Heath DF, Goñi FJ, et al. Practical recommendations for measuring rates of visual field change in glaucoma. Br J Ophthalmol. 2008;92(4):569-573.
16. Crabb DP, Russell RA, Malik R, et al. Frequency of visual field testing when monitoring patients newly diagnosed with glaucoma: mixed methods and modelling. NIHR Journals Library; 2014. doi:10.3310/hsdr02270
17. Wu Z, Saunders LJ, Daga FB, et al. Frequency of testing to detect visual field progression derived using a longitudinal cohort of glaucoma patients. Ophthalmology. 2017;124(6):786-792.
18. Anderson AJ. Significant glaucomatous visual field progression in the first two years: What does it mean? Transl Vis Sci Technol. 2016;5(6):1. Erratum in: Transl Vis Sci Technol. 2017;6(1):10.
19. Wu Z, Medeiros FA. Recent developments in visual field testing for glaucoma. Curr Opin Ophthalmol. 2018;29(2):141-146.
20. Chan TCW, Bala C, Siu A, et al. Risk factors for rapid glaucoma disease progression. Am J Ophthalmol. 2017;180:151-157.
21. Wang M, Shen LQ, Pasquale LR, et al. Artificial intelligence classification of central visual field patterns in glaucoma. Ophthalmology. 2020;127(6):731-738.
22. Yousefi S, Goldbaum MH, Balasubramanian M, et al. Glaucoma progression detection using structural retinal nerve fiber layer measurements and functional visual field points. IEEE Trans Biomed Eng. 2014;61(4):1143-1154.
23. Wu Z, McKendrick AM, Hadoux X, et al. Test-retest variability of fundus-tracked perimetry at the peripapillary region in open angle glaucoma. Invest Ophthalmol Vis Sci. 2016;57(8):3619-3625.
24. Schiefer U, Papageorgiou E, Sample PA, et al. Spatial pattern of glaucomatous visual field loss obtained with regionally condensed stimulus arrangements. Invest Ophthalmol Vis Sci. 2010;51(11):5685-5689.
25. Traynis I, De Moraes CG, Raza AS, et al. Prevalence and nature of early glaucomatous defects in the central 10° of the visual field. JAMA Ophthalmol. 2014;132(3):291-297.
26. Tomairek RH, Aboud SA, Hassan M, Mohamed AH. Studying the role of 10-2 visual field test in different stages of glaucoma. Eur J Ophthalmol. 2020;30(4):706-713.
27. Sun Y, Lin C, Waisbourd M, et al. The impact of visual field clusters on performance-based measures and vision-related quality of life in patients with glaucoma. Am J Ophthalmol. 2016;163:45-52.
28. Hood DC, Raza AS, de Moraes CGV, et al. Glaucomatous damage of the macula. Prog Retin Eye Res. 2013;32:1-21.
29. Phu J, Kalloniatis M. Ability of 24-2C and 24-2 grids to identify central visual field defects and structure-function concordance in glaucoma and suspects. Am J Ophthalmol. 2020;219:317-331.
30. Heijl A, Patella VM, Chong LX, et al. A new SITA perimetric threshold testing algorithm: construction and a multicenter clinical study. Am J Ophthalmol. 2019;198:154-165.
31. Raghavan L, Riyazuddin M. A Comparison of the visual field parameters of SITA Faster and SITA Standard strategies in glaucoma. J Glaucoma. 2020;29(9):783-788.
32. Phu J, Kalloniatis M. A strategy for seeding point error assessment for retesting (SPEAR) in perimetry applied to normal subjects, glaucoma suspects, and patients with glaucoma. Am J Ophthalmol. 2021;221:115-130.
33. Phu J, Kalloniatis M. Clinical evaluation of Swedish Interactive Thresholding Algorithm–Faster compared with Swedish Interactive Thresholding Algorithm–Standard in normal subjects, glaucoma suspects, and patients with glaucoma. Am J Ophthalmol. 2019;208:251-264.
