One of the most common initial procedures for the treatment of advanced and medically refractory primary open-angle glaucoma is trabeculectomy with adjunctive antifibrotic therapy. Even with the application of an antiinflammatory or antimetabolite agent such as mitomycin C and 5-fluorouracil, the rate of bleb failure secondary to subconjunctival fibrosis and encapsulation is as high as 51% at 5 years and 59% at 15 years.1,2 What, then, are the options for managing a failed bleb?
CASE EXAMPLE
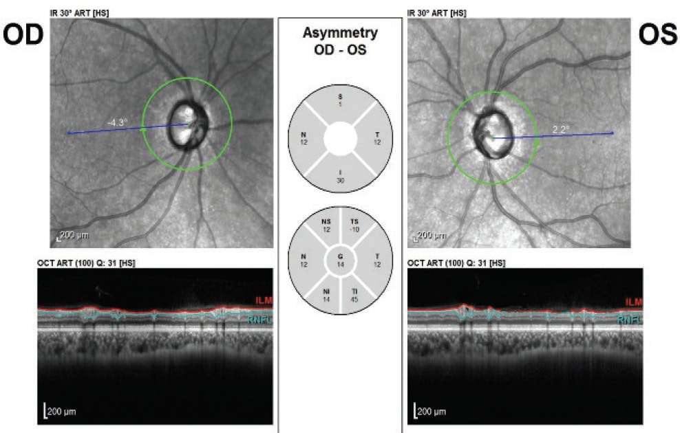
Presentation. A 61-year-old Black man with bilateral primary open-angle glaucoma presented for a glaucoma evaluation and management. His history was significant for two trabeculectomies in the left eye, most recently in 2005. On examination, BCVA was 20/20 OU, and IOP was 12 mm Hg OU with applanation tonometry. The cup-to-disc ratio was 0.95 OU. Central corneal thickness was 506 µm OD and 496 µm OS, and OCT showed thinning of the nerve fiber layer in all quadrants (Figure 1). Of note, the OCT scan was compared to a European database, which might have reduced its reliability. The patient’s drug regimen consisted of a fixed combination of dorzolamide and timolol administered every 12 hours and latanoprost administered at bedtime. He was intolerant of brimonidine.
At a 1-month follow-up visit, BCVA was stable in each eye, but IOP had increased to 15 mm Hg OU. Humphrey visual field testing (Carl Zeiss Meditec) using a 10-2 strategy revealed superior and inferior arcuate defects in the right eye and dense superior and inferior arcuate defects in the left eye (Figure 2). The patient received a prescription for a preservative-free fixed combination of dorzolamide hydrochloride and timolol maleate (Cosopt PF, Akorn) instead of latanoprost to lessen the preservative load and address ocular surface complaints, including foreign body sensation and blurry vision, although no punctate epithelial keratopathy was evident. The two blebs in the left eye were flat and did not elevate with massage, suggesting tight flaps. The conjunctiva over the flaps exhibited some mobility. Given the visual field progression, latanoprostene bunod ophthalmic solution 0.024% (Vyzulta, Bausch + Lomb) was also prescribed for the left eye.
At the next 1-month follow-up visit, the patient stated that he could not afford latanoprostene bunod so he had maintained his prior drug regimen instead. IOP at that visit was 16 mm Hg OD and 18 mm Hg OS.
Considerations. Risk factors associated with bleb failure include but are not limited to prior failure, darker skin pigmentation, a history of keloid formation, neovascular changes, younger age, intraocular inflammation, and a shallow anterior chamber.3 Some signs that a bleb is failing are a smaller central area, overall flattening, and IOP elevation. These signs merit aggressive treatment. Initial management often consists of needling with the application of an antimetabolite and digital massage, and these strategies can be employed at the slit lamp. The amount by which IOP decreases varies based on the antimetabolite used, and the reduction may be transient.4 Bleb needling is not a benign procedure; it can be complicated by blebitis, a bleb leak, aqueous misdirection syndrome, suprachoroidal hemorrhage, etc.4
When needling fails to rescue a bleb, options include formal revision of the trabeculectomy, a second trabeculectomy, the placement of a glaucoma drainage device, and cyclodestruction. Based on data from the Advanced Glaucoma Intervention Study (AGIS), the target IOP for this patient was less than 14 mm Hg.5 Because the IOP was higher than this target and progressive damage to the optic nerve was observed in the left eye, aggressive intervention was required. Although trabeculectomy can be repeated successfully,6,7 patients who have undergone a second trabeculectomy are not good candidates for a third. This is because inferior trabeculectomies are associated with high rates of serious complications such as blebitis, endophthalmitis, and bleb leaks.8
In the Tube Versus Trabeculectomy (TVT) study, the rate of complications was higher in the trabeculectomy group.9 Trabeculectomy, however, generally reduces IOP to a greater degree than tube shunts, and this patient required a significant IOP reduction.
Although the safety profile of cyclophotocoagulation in sighted eyes has not been fully elucidated, a 20% to 30% loss of vision has been reported.10,11 Cyclophotocoagulation is therefore typically reserved for eyes with refractory glaucoma and poor visual potential. This patient’s BCVA was excellent.
Based on these considerations, revision trabeculectomy in the left eye was recommended.
Surgical course. A limbus-based conjunctival incision was made in the superior fornix, and blunt dissection was performed toward the limbus, revealing the less scarred bleb. A corneal stay suture was used to rotate the eye downward to optimize its position.12 Sponges soaked in 5-fluorouracil (50 g/mL) were inserted under the conjunctiva-Tenon pocket and left in place for 5 minutes before removal.13 Irrigation of the treatment area with 30 mL of balanced salt solution was then performed.
A 15º sharp blade was used to open the prior superior nasal trabeculectomy (5 x 2-mm) flap that had been identified. A blunt cyclodialysis spatula was inserted into the sclerotomy site, resulting in flow from the anterior chamber, and the sclerotomy site was then widened with a Kelly Descemet punch. Next, a temporal paracentesis was made with a 15º blade, and high flow through the sclerostomy was confirmed. Two 10-0 nylon sutures were placed at the margin of the scleral flap to provide some resistance to aqueous outflow such that the anterior chamber was well formed. Tenon capsule was approximated with several interrupted sutures, and the conjunctiva was closed with a running 9-0 polyglactin suture (Vicryl, Ethicon). A superior diffuse bleb was observed.
Outcome. The patient completed a standard postoperative course of polymyxin B sulfate-trimethoprim, difluprednate, and atropine in the left eye. No complications were encountered (Figure 3). Six months after surgery, BCVA was 20/20 OD and 20/30+3 OS. IOP was 13 mm Hg OD on medication, and the unmedicated IOP in the left eye was 9 mm Hg. The right eye is being monitored closely because of the prior range to 16 mm Hg on the same regimen.
CONCLUSION
There are multiple surgical techniques for revision trabeculectomy, and no consensus has been reached on the best approach because the decision largely depends on features of the failed original trabeculectomy and the surgeon’s judgment. Adequate access is the key to initiating any procedure. A limbus-based incision should extend down to the sclera and be placed as far from the limbus as possible to create a wide operative field.12 If a failed sclerostomy is identified, it can be re-created or enlarged. It is important to consider the size of the sclerostomy in relation to the scleral flap so that a functional obstruction does not occur.12 If obstruction is caused by internal structures, an iridectomy or vitrectomy may be required.12 Once access to the anterior chamber is guaranteed, the subconjunctival space may be widened as necessary, and additional scar and endothelial elements may be removed with diathermy.12 The anterior chamber may be filled with an OVD before the sponge application of an antifibrotic to decrease the risk of aspirating the antifibrotic into the anterior chamber, especially if mitomycin C is used.
Although trabeculectomy is the gold-standard surgical treatment of glaucoma, the success of this procedure can be limited by bleb failure. Revision trabeculectomy is known for its technical difficulty and low success rate, but this does not mean the procedure does not have a role in glaucoma management. Careful consideration of the original surgical method and location, the extent and location of scarring, and the reason for bleb failure guides appropriate management.
1. Suzuki R, Dickens CJ, Iwach AG, et al. Long-term follow-up of initially successful trabeculectomy with 5-fluorouracil injection. Ophthalmology. 2002;109(10):1921-1924.
2. Chen TC, Wilensky JT, Viana MA. Long-term follow-up of initially successful trabeculectomy. Ophthalmology. 1997;104(7):1120-1125.
3. Trattler WB, Kaiser PK, Friedman NJ. Review of Ophthalmology. 2nd ed. Saunders; 2012.
4. Anand N, Khan A. Long-term outcomes of needle revision of trabeculectomy blebs with mitomycin C and 5-fluorouracil: a comparative safety and efficacy report. J Glaucoma. 2009;18(7):513-520.
5. The Advanced Glaucoma Intervention Study (AGIS): 7. The relationship between control of intraocular pressure and visual field deterioration. The AGIS Investigators. Am J Ophthalmol. 2000;130(4):429-440.
6. Cankaya AB, Elgin U. Comparison of the outcome of repeat trabeculectomy with adjunctive mitomycin C and initial trabeculectomy. Korean J Ophthalmol. 2011;25(6):401-408.
7. Rajendrababu S, Shroff S, Patil SV, Uduman MS, Vardhan A, Krishnadas SR. Surgical outcomes of repeat trabeculectomy augmented with high dose mitomycin C. Indian J Ophthalmol. 2019;67(1):95-100.
8. Caronia RM, Liebmann JM, Friedman R, Cohen H, Ritch R. Trabeculectomy at the inferior limbus. Arch Ophthalmol. 1996;114(4):387-391.
9. Gedde SJ, Schifman JC, Feuer WJ, Herndon LW, Brandt JD, Budenz DL. Treatment outcomes in the Tube Versus Trabeculectomy Study after one year of follow-up. Am J Ophthalmol. 2007;143(1):9-22.
10. Gaasterland DE. Diode laser cyclophotocoagulation. Glaucoma Today. 2009;7(2):35-37,41.
11. Egbert PR, Fiadoyor S, Budenz DL, et al. Diode laser transscleral cyclophotocoagulation as a primary surgical treatment for primary open-angle glaucoma. Arch Ophthalmol. 2001;119(3):345-350.
12. Coote M, Crowston J. Revision trabeculectomy: pearls and pitfalls. J Curr Glaucoma Prac. 2012;6(3):131-138.
13. Dietze PJ, Feldman RM, Gross RL. Intraoperative application of 5-fluorouracil during trabeculectomy. Ophthalmic Surg. 1992;23(10):662-665.
