OCT imaging has been proven to be an effective screening tool for glaucoma. In one study, investigators concluded that the quantitative parameters derived from OCT images, particularly vertical cup-to-disc ratio and retinal nerve fiber layer (RNFL) thickness, demonstrated sensitivities and specificities that were “adequately robust” for community glaucoma screening.1 Another study showed a fair level of agreement regarding glaucoma referral recommendations between glaucoma specialists with access to comprehensive screening data and OCT specialists with access to only OCT data.2
In 2022, however, Chou et al3 set out to update two reviews on glaucoma screening that were designed to inform the US Preventive Services Task Force. Their conclusions, which were published in JAMA, reported “limited direct evidence on glaucoma screening, showing no association with benefits.” The authors further noted that “screening tests can identify persons with glaucoma and treatment was associated with a lower risk of [glaucomatous] progression” but that “the evidence of improvement in visual outcomes, quality of life, and function remains lacking.” These conclusions were also published by the US Preventive Services Task Force in an Agency for Healthcare Research and Quality report.4
The bar is apparently set high to prove that glaucoma screening, although effective, indeed improves visual outcomes, patient quality of life, and function. This article reviews how best to use OCT to screen patients, establish a diagnosis, and actualize the many benefits of this diagnostic modality.
ESTABLISHING A DIAGNOSIS
Ophthalmologists have all come to rely on OCT. However, in the past few years, I have seen many pitfalls, related not only to misdiagnosis but also to codiagnosis, wherein the presence of other ocular pathology may be overlooked in the setting of glaucoma.
One early pitfall relates to examining cup-to-disc asymmetry, the hallmark of glaucoma detection. In Figure 1A, the optic cups of the right and left eyes may seem similarly sized at first glance; however, bringing the images closer together to eliminate the distance between the optic cups reveals that the optic nerve of the right eye occupies more space within the green circle than the optic nerve of the left eye (Figure 1B). Side-by-side viewing can help to magnify subtle differences between optic nerves and reveal a case of nerve size asymmetry. This finding can be confirmed by the extreme symmetry of RNFL measurements between eyes (Figure 1C).
Figure 1. Two optic nerves seem similarly sized (A), but side-by-side viewing reveals nerve size differences (B). Symmetric RNFL measurements confirm nerve size asymmetry (C).
To establish a diagnosis of glaucoma with OCT, analysis of the optic nerve and RNFL is performed. With a typical presentation of glaucoma, as shown in Figure 2, an inferior RNFL defect can be seen on color fundus photography, and a focal “pinch” inferotemporally can be seen on the RNFL printout, indicating focal loss. A corresponding loss of retinal thickness is noted inferiorly, along with a superior paracentral scotoma (Figure 2A). A comparison to the normative database shows abnormalities in the RNFL and ganglion cell layer (GCL) thickness inferiorly (Figure 2B).
Figure 2. An inferior RNFL defect on color fundus photography and a focal “pinch” inferotemporally on the RNFL printout (A). A corresponding loss of retinal thickness is noted inferiorly, along with a superior paracentral scotoma (A). Comparison to the normative database shows abnormalities in RNFL and ganglion cell layer thickness inferiorly (B).
Certain features of each of these reports can also help in identifying eyes that may not be glaucomatous.
At first glance, Figure 3A appears to depict a patient with severe glaucoma. Significant RNFL loss is present in the superotemporal and inferotemporal quadrants of the left eye. In the right eye, however, the RNFL loss is present in the nasal sectors. This extreme asymmetry between eyes suggests that this could be a diagnosis other than glaucoma—and it is, in fact, homonymous hemianopia. A vertical cutoff in the macular thickness measurements confirms this diagnosis (Figure 3B).
Figure 3. Severe RNFL loss is present in the superotemporal and inferotemporal quadrants of the left eye (A) and in the nasal sectors of the right eye (A), suggesting homonymous hemianopia. A vertical cutoff in the macular thickness measurements confirms this diagnosis (B).
In Figure 4A, significant cupping and severe RNFL loss are present in both eyes. The macular thickness measurements of both eyes are abnormal. There is no vertical cutoff, but the asymmetry analysis shows severe loss of macular thickness in the far periphery of the left eye and not in an arcuate shape toward the nerve, as is seen in glaucoma. This should prompt a review of the raw images, which indicate that this, in fact, is cancer-associated retinopathy (Figure 4B). OCT imaging shows the photoreceptors that have been lost because of the antibodies.
Figure 4. Abnormal macular thickness measurements with no vertical cutoff. Asymmetry analysis shows severe loss of macular thickness in the far periphery of the left eye. Significant cupping and severe RNFL loss are also present in both eyes (A). A loss of macular thickness that is not arcuate-shaped prompts a review of the raw images, which indicate cancer-associated retinopathy (B).
In contrast to the aforementioned examples, some eyes show extreme symmetry. Figure 5 shows extremely symmetric RNFL loss as well as symmetric macular thickness loss in both eyes. Further, even the visual fields are extremely symmetric. Such significant symmetry suggests a diagnosis other than glaucoma—in this case, segmental disc hypoplasia.
Figure 5. Extremely symmetric RNFL and macular thickness loss between eyes as well as extremely symmetric visual fields suggest a diagnosis other than glaucoma.
EVALUATING PROGRESSION
OCT imaging is also used to detect disease progression. RNFL thinning and arcuate-shaped changes in macular thickness are typically suggestive of glaucoma. However, not all progressive RNFL loss indicates worsening glaucoma.
Figure 6 depicts a patient who was experiencing both progressive RNFL loss and progressive cupping but no change in visual field. This diagnostic picture was actually caused by a reduction in edema of the RNFL in a uveitic eye treated with steroids. Uveitis is a major confounding factor in assessing RNFL thickness.
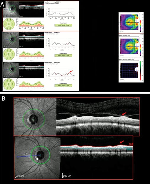
In Figure 7, the patient’s RNFL is changing, but the macular thickness is not (Figure 7A). How can that be? No progression is actually occurring; the RNFL is thinning due to a release of vitreous traction on the RNFL (Figure 7B).
Figure 7. A decrease in RNFL thickness but not macular thickness (A). A closer look reveals release of vitreous traction on the RNFL (B).
RECOGNIZING CODIAGNOSES
Previously, upon seeing the optic nerve in Figure 8A, I would label this patient a glaucoma suspect. The complete picture, shown in Figure 8B, reveals significant RNFL defects emanating from the optic nerve, seemingly confirming a diagnosis of glaucoma. However, despite so many RNFL defects, where is the cupping?
Figure 8. An optic nerve suggestive of glaucoma (A). A more complete image reveals significant RNFL defects emanating from the optic nerve (B).
RNFL defects, especially if multiple and in the macula, may be associated with systemic vascular risk factors such as hypertension, rather than glaucoma.5 In a large Korean epidemiological study of nonglaucomatous eyes, the reported prevalence of RNFL defects over 5 years was 4.8%.6 Approximately 66% of these patients lacked any signs of glaucoma. Localized RNFL defects in nonglaucomatous eyes were independently associated with hypertension and diabetes.
In another study, investigators concluded that localized RNFL defects may be useful for grading arterial hypertension.7 RNFL defects were present significantly more often in hypertension grades 2 and 3, with odds ratios of 10.01 and 6.45, respectively. Severe hypertension can also cause a progressive decrease in RNFL and central macular thicknesses over time.8 The impact of systemic diseases such as hypertension should therefore be considered in analyzing the thickness of the RNFL and the central macula in glaucoma.
Additionally, decreased thickness of the RNFL and GCL has been reported to be correlated to the extent of cerebral small vessel disease lesions on MRI. RNFL and GCL loss may even be useful in the detection and staging of cerebral small vessel disease.9 Chronic kidney disease and compromised kidney function have also been associated with thinning of the RNFL and GCL.10
Many patients with glaucoma have chronic kidney disease, hypertension, diabetes, and small blood vessel diseases. If we do not know how to differentiate between these conditions and their associated OCT findings, we may be overtreating glaucoma. Not all RNFL loss is caused by glaucoma, nor is all progressive loss of RNFL and GCL thickness. The unique findings that help us differentiate vascular conditions versus glaucoma are the absence of cupping and the loss of the inner nuclear layer thickness in vascular conditions.12
Scan Me, Scan Me Not: How Best to Use OCT for Glaucoma Screening or Establishing a Diagnosis?
Sanjay G. Asrani, MD
CONCLUSION
To best screen and establish a diagnosis with OCT, examine the symmetry or lack thereof for the RNFL and the macula. Remember that not all progressive RNFL thinning is due to glaucoma and could be caused by uveitis or the release of vitreous traction. RNFL loss and progressive thinning of the inner retinal layers could be due to other systemic conditions, such as hypertension, diabetes, and chronic kidney disease. Given these nuances, it is essential to be cautious with interpretation of AI results of glaucomatous progression when retinal layers are being used.
1. Liu MM, Cho C, Jefferys JL, Quigley HA, Scott AW. Use of optical coherence tomography by nonexpert personnel as a screening approach for glaucoma. J Glaucoma. 2018;27(1):64-70.
2. Ramchandran R, Joiner DB, Patel V, et al. Comparison between the recommendations of glaucoma specialists and OCT report specialists for further ophthalmic evaluation in a community-based screening study. Ophthalmol Glaucoma. 2022;5(6):602-613.
3. Chou R, Selph S, Blazina I, et al. Screening for glaucoma in adults: updated evidence report and systematic review for the US Preventive Services Task Force. JAMA. 2022;327(20):1998-2012.
4. Chou R, Selph S, Blazina I, et al. Screening for glaucoma in adults: a systematic review for the US Preventive Services Task Force. AHRQ Publication No. 21-05286-EF-1. Rockville, MD: Agency for Healthcare Research and Quality; 2022.
5. Jung KI, Kim SJ, Park CK. Systemic vascular risk factors for multiple retinal nerve fiber layer defects. Sci Rep. 2018;8(1):7797.
6. Baek J, Jung Y, Ohn K, Jung SY, Oh SE, Moon JI. Association between localized retinal nerve fiber layer defects in nonglaucomatous eyes and metabolic syndrome: a propensity score-matched analysis. Ann Transl Med. 2023;11(9):316.
7. Xu L, Zhou JQ, Wang S, et al. Localized retinal nerve fiber layer defects and arterial hypertension. Am J Hypertens. 2013;26(4):511-517.
8. Lee HM, Lee WH, Kim KN, Jo YJ, Kim JY. Changes in thickness of central macula and retinal nerve fibre layer in severe hypertensive retinopathy: a 1-year longitudinal study. Acta Ophthalmol. 2018;96(3):e386-e392.
9. Langner SM, Terheyden JH, Geerling CF, et al. Structural retinal changes in cerebral small vessel disease. Sci Rep. 2022;12(1):9315.
10. Majithia S, Chong CCY, Chee ML, et al. Associations between chronic kidney disease and thinning of neuroretinal layers in multiethnic Asian and White populations. Ophthalmol Sci. 2023;4(1):100353.
11. Koh JW, Park KH, Kim MS, Kim JM. Localized retinal nerve fiber layer defects associated with cotton wool spots. Jpn J Ophthalmol. 2010;54(4):296-299.
12. De Salvo G, Oshallah M, Sepetis AE, et al. Inner retinal thinning comparison between branch retinal artery occlusion and primary open-angle glaucoma. Diagnostics (Basel). 2023;13(22):3428.
