
Because glaucoma is mostly asymptomatic, patients often present when the condition is advanced and vision loss encroaches upon fixation. Too often, underserved and at-risk patients do not seek medical care until glaucoma is approaching the end stage. Population screening could identify these individuals and encourage education and eye care, but this effort is complicated by the issues of cost, personnel, and resources.
AT A GLANCE
• Many at-risk patients do not seek medical care until glaucoma is approaching the end stage.
• The utility of optical coherence tomography for glaucoma screening remains in question. Optical coherence tomography is particularly effective at detecting early and preperimetric glaucoma in the office setting.
• Its use for screening works best when the technology is combined with a clinical eye examination or with other strategies such as portable tonometry, fundus photography, and visual field testing.
New technology may offer a solution as instruments become smaller and more portable. There are mobile autorefractors, tonometers, fundus cameras, visual field methods, and now optical coherence tomography (OCT) devices.
ACCURACY
Prevent Blindness America recommends that technology for screening be easy for a patient to use reliably, detect all moderate and advanced disease, and identify most early cases. It should be at least 85% sensitive and 95% to 98% specific to minimize false positives. OCT and visual field testing can detect both moderate and late disease, but only OCT can detect early disease, is easy for patients to use, is highly repeatable, and has a sufficiently low false-positive rate.
The Ocular Hypertension Treatment Study (OHTS) showed that certain baseline optic nerve parameters measured by confocal scanning laser ophthalmoscopy predicted future visual field defects.1
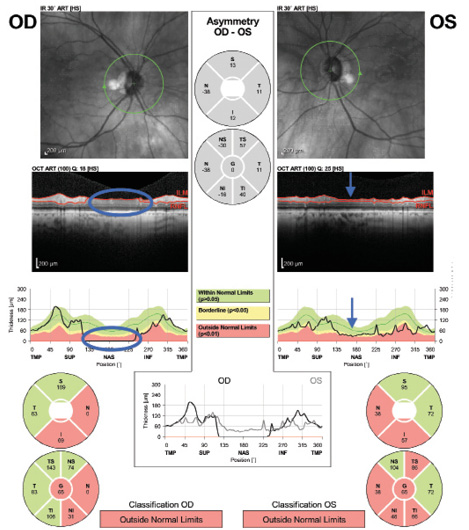
Figure 1. Myopic and tilted optic nerve. Some disc changes do not fall into the normative database of the OCT device that is used to establish abnormality. Beware of false positives. This is a scan of a highly myopic patient; eye pressures were in the low 20s, but visual fields are normal. The OCT RNFL demonstrates algorithm failure (blue circles), and the OCT is unhelpful in diagnosing or managing this patient.
Figure 2. These are anomalous optic nerves with absent cups and anomalous RNFL scans.
The objective evaluation of the retinal nerve fiber layer (RNFL) is the fundamental appeal of OCT as a diagnostic ancillary device. In glaucoma diagnosis and management, OCT supplements clinical optic nerve assessment with reproducible, quantitative measurements of the nerve head and peripapillary RNFL. Although RNFL and macular thickness parameters can discriminate between healthy and glaucomatous eyes,2,3 there are numerous sources of anomalous or inaccurate OCT scans. Cataract, dry eye disease, and small pupils reduce signal strength and, therefore, scan quality. Coexisting pathology may impede reliable measurement. Myopia, axial length, vitreous traction, and macular disease may also confound accurate scans and lead to a falsely classified diagnosis (Figure 1-3).
Although OHTS demonstrated that OCT can predict future visual field loss, other studies have shown that the sensitivity and specificity of this imaging technology depends on disease severity. The diagnostic accuracy of OCT imaging is better with more advanced disease where visual field loss is present than with early glaucoma.4,5 Moreover, screening works best when OCT is combined with a clinical eye examination or with other strategies such as portable tonometry, fundus photography, and visual field testing.6
Figure 3. Vitreous traction on the RNFL can distort thickness measurements (blue arrows).
Questions on Screening
Population screening is expensive, and few studies demonstrate the cost-effectiveness of targeted screening in high-risk groups such as those of African or Hispanic heritage or those with a family history of glaucoma.7 Despite improvements in screening devices, there is limited research on the effects of screening for open-angle glaucoma on visual impairment or IOP, the optic nerve, the visual field, and patients’ outcomes. After reviewing evidence from studies that investigated the diagnostic performance of OCT, the United States Agency for Healthcare Research and Quality concluded that it remains unclear whether OCT could be used in combination with other tests for general population screeing.8 Finally, patients’ compliance with follow-up and treatment adherence are essential to slowing progressive glaucomatous optic neuropathy and preventing blindness. These factors must also be taken into account in order to optimize, and ideally justify, the outcomes of any glaucoma screening program.
Early Identification
It would certainly be beneficial to identify early glaucoma, and this is where OCT currently performs most strongly in office-based settings. A recent study by Blumberg and colleagues used a mathematical model to estimate both clinical impact and cost while using spectral-domain OCT to identify glaucomatous optic neuropathy in an at-risk population.9 They calculated that screening would decrease the prevalence of glaucoma from 75% to 38%, reduce the prevalence of severe vision loss from 29.1% to 23.9%, and double the diagnosis of mild visual field loss from 9.2% to 18.7%.9
Even with advances in technology, the human element will always be involved in screening efforts. Physicians and investigators should continue to focus on improving screening methodologies to identify this silent disease, especially in people with moderate and severe glaucoma who are closest to severe disability. n
1. Zangwill LM, Weinreb RN, Beiser JA, et al. Baseline topographic optic disc measurements are associated with the development of primary open-angle glaucoma: the Confocal Scanning Laser Ophthalmoscopy Ancillary Study to the Ocular Hypertension Treatment Study. Arch Ophthalmol. 2005;123(9):1188-1197.
2. Mansouri K, Leite MT Medeiros FA, et al. Assessment of rates of structural change in glaucoma using imaging technologies. Eye. 2011;25:269-277.
3. Sung KR, Wollstein G, Kim NR, et al. Macular assessment using optical coherence tomography for glaucoma diagnosis. Br J Ophthalmol. 2012;96:1452-1455.
4. Bengtsson B, Andersson S, Heijl A. Performance of time-domain and spectral-domain optical coherence tomography for glaucoma screening. Acta Ophthalmol. 2010;90:310-315.
5. Medeiros FA, Zangwill LM, Bowd C, et al. Influence of disease severity and otic disc size on the diagnostic performance of imaging instruments in glaucoma. Invest Ophthalmol Vis Sci. 2006;47:1008-1015.
6. Li G, Fansi AK, Boivin J, et al. Screening for glaucoma in high-risk populations using optical coherence tomography. Ophthamology. 2010;117:453-461.
7. Hernandez R, Rabindranath K, Fraser C, et al. OAG screening project group. Screening for open angle glaucoma: systematic review of cost-effectiveness studies. J Glaucoma. 2008;17:159-168.
8. Ervin AM, Boland MV, Myrowitz EH, et al. Screening for glaucoma: comparative effectiveness. Comparative effectiveness reviews. Rockville, MD: Agency for Healthcare Research and Quality, 2012.
9. Blumberg D, Vaswani R, Nong E, et al. A comparative effectiveness analysis of visual field outcomes after projected glaucoma screening using SD-OCT in African American communities. Invest Ophthalmol Vis Sci. 2014;55(6):3491-3500.
Lisa F. Rosenberg, MD
• associate professor of clinical ophthalmology, Feinberg School of Medicine, Northwestern University, Chicago
• (312) 475-1000; lisarosenberg731@yahoo.com
• financial interest: none acknowledged
Casey Cahill, MD
• glaucoma fellow, Feinberg School of Medicine, Northwestern University, Chicago
• caseycahill@gmail.com
• financial interest: none acknowledged
