The management of childhood glaucoma continues to present significant challenges. Although great progress has been made in the surgical glaucoma space and although pediatric glaucoma is primarily a surgical disease, treatment outcomes in children may be guarded for several reasons. These include the patient’s youth at presentation, diverse and complex pathophysiology, altered anterior segment anatomy, associated amblyopia, and a greater potential for failure and complications compared with adult patients. In addition, a surgeon’s familiarity and experience with pediatric cases and different surgical procedures may affect treatment success.
The advent of MIGS has rapidly changed the surgical landscape in adults with mild to moderate glaucoma, but the role of MIGS in childhood glaucoma has not yet been fully explored. With many classes of MIGS devices available, it is important to individualize the surgical approach and to make evidence-based decisions in every case. In this article, James D. Brandt, MD, shares his insights into and experiences with incorporating MIGS into the surgical armamentarium for childhood glaucoma. He also highlights the importance of taking a multidisciplinary team–based approach to treating pediatric patients and emphasizes the need for additional research and high-quality prospective randomized clinical trials to assess the efficacy and safety of MIGS for childhood glaucoma.
Sarwat Salim, MD, FACS | Section Editor
The year 2018 marked the 125th anniversary of angle surgery for glaucoma. The earliest known attempt dates back to 1893, when Italian ophthalmologist Carlo de Vincentiis tried to incise the iridocorneal angle directly. However, without gonioscopic visualization, this blind (and blinding) approach was abandoned. Forty-three years later, in 1936, Otto Barkan, MD, had the insight to incise the trabecular meshwork under direct gonioscopy, and true angle surgery was born. By 1942, the particular utility of goniotomy in infantile glaucoma had become apparent.
Unfortunately, childhood glaucoma is rare enough that it remains, in many ways, an orphan surgical disease. The surgical treatment of childhood glaucoma largely went unchanged from the 1950s until the mid-1990s, with minimal advances in goniotomy and trabeculotomy. In the late 1980s, when I began my career, the use of surgical innovations such as glaucoma drainage devices, mitomycin C, and cyclophotocoagulation started trickling down to childhood cases. We now find ourselves in a golden age of innovation for glaucoma, yet pediatric patients by and large remain an afterthought.
ADDRESSING CHILDHOOD GLAUCOMA
It is important to recognize that childhood glaucoma comprises many diseases, pathophysiologies, prognoses, and treatment pathways. That said, there are two key principles to keep in mind when addressing childhood glaucoma. First, we are playing the long game and trying to preserve vision for a lifetime. In the first few years of a patient’s life, amblyopia is the oft-neglected enemy, so it is important to act quickly and to move on if an initial treatment fails. Second, we must always think ahead and preserve options for subsequent procedures.
Conceptually, I like to divide MIGS into two categories: (1) angle-based procedures and (2) translimbal or fistulizing procedures. Figure 1 displays a simplified treatment algorithm that shows the pathways that can be followed when addressing childhood glaucoma. Whenever possible, it is preferable to use the child’s own outflow system and to preserve the conjunctiva, thus the optimal pathway in green.
Where, if at all, does MIGS fit into the treatment of childhood glaucoma? Advances in angle-based techniques and instrumentation have spun off from the adult surgical world, but arguably the most interesting area in coming years will be the fistulizing or translimbal space because angle surgery fails in many children. In general, having options to use before trabeculectomy and tube shunt implantation would represent a significant improvement for children with glaucoma.
ANGLE-BASED PROCEDURES
Angle surgery specifically targets dysfunctional tissue, and performing a circumferential treatment allows the surgeon to move on to other options quickly if, for example, the downstream collector system cannot be resurrected. However, angle surgery requires a functioning downstream collector system, it reduces IOP to no lower than episcleral venous pressure, and it can be technically challenging for the occasional angle surgeon.
The existing hypothesis for how angle surgery works in children is that incising an abnormal trabecular meshwork (or Barkan membrane) reestablishes flow to Schlemm canal and that the downstream collector system is unaffected by primary disease. This hypothesis has remained unquestioned since Barkan’s time. An advantage of my practicing in the same area for 3 decades is that I have gotten to observe many of my pediatric patients into adulthood. Figure 2 is a photograph I took 28 years ago during an ab externo Harms trabeculotomy in an infant. I treated only the superior 120º, but, during follow-up, except for some scattered peripheral anterior synechiae superiorly, the patient’s angle was normal in appearance. This case and similar cases have made me question whether, in actuality, angle incision restarts the arrested development (eg, cleavage of tissue planes) of angle structures underlying primary congenital glaucoma and other developmental glaucomas.
Figure 2. A photograph taken nearly 3 decades ago during an ab externo trabeculotomy on an infant eye. Only the superior 120º was treated, but, at a recent follow-up appointment, the patient’s angle was normal in appearance.
Most pediatric glaucoma surgeons currently prefer circumferential trabeculectomy as their initial treatment approach. Children with glaucoma are benefitting from innovation in the adult surgical space; nowhere is this more evident than with circumferential trabeculectomy, starting with the circumferential ab externo approaches developed by Alan Beck, MD, and Mary Lynch, MD, in the 1990s. The introduction of an illuminated catheter made this procedure more predictable and safer. Circumferential ab externo trabeculectomy is a great option for patients with opaque corneas, and it can be performed inexpensively with a piece of suture.
We then moved to circumferential ab interno trabeculotomy, which has pros and cons of its own. This approach avoids violation of the conjunctiva and preserves real estate for later surgeries, leaving fistulizing options available should the initial surgery fail. However, the view is often suboptimal, and the technique can be challenging for the occasional angle surgeon. The procedure can also be associated with expensive devices and consumables.
When a sufficient view is achievable, my go-to procedure for primary congenital glaucoma is gonioscopy-assisted transluminal trabeculotomy (GATT). Although GATT is challenging to perform in infant eyes, with practice, the procedure can be executed cost-effectively with a suture alone.
Similarly, the Trab360 and Omni devices (both from Sight Sciences) are used to perform two 180º trabeculotomies through a single incision. In eyes with cloudy corneas, if a small window offers a clear view, a circumferential surgery can be performed through a single incision. Four colleagues and I recently published a large (for childhood glaucoma, that is) series in which the Trab360 device was used to treat 46 eyes of 41 patients with childhood glaucoma. Our success and complication rates were consistent with previously published data on pediatric angle surgery using more invasive approaches.1
The Kahook Dual Blade (New World Medical) also has a role to play in pediatric glaucoma, but the published cases are limited, with mixed results in very young children.2,3 It may be that this device has a greater role in older children and especially in secondary glaucomas. It remains unclear whether excising tissue that may be needed to regenerate a normal angle is the appropriate approach for primary congenital glaucoma.
In general, I believe that permanent angle-based implants such as the iStent Trabecular Micro-Bypass Stent (Glaukos) and Hydrus Microstent (Ivantis) add no value to angle surgery in children. Instead, these implants probably subject growing and malleable eyes to the potential long-term risk of device-related complications, so their use should likely be avoided in children.
TRANSLIMBAL PROCEDURES
The clinical images in Figure 3 were captured in two patients I treated surgically as children and then saw again 1 to 2 decades later for trabeculectomy- or device-related complications. Long-term follow-up is humbling, and cases such as these suggest that translimbal MIGS will play an increasing role in the management of childhood glaucoma in the future. Translimbal MIGS procedures preserve conjunctival real estate, and they may offer a safer option to try before proceeding to more invasive procedures. The Xen Gel Stent (Allergan) has been used off-label in children, and the Preserflo MicroShunt (Santen), which has the CE Mark and is awaiting FDA approval, is being investigated in this area as well.
Figure 3. Two patients who were treated surgically in childhood returned 1 to 2 decades later with trabeculectomy- and device-related complications.
Smith et al published an observational case series of three eyes of three patients treated with the Xen Gel Stent.4 The results of this small series are promising, but some general concerns associated with this approach are worth mentioning. In children, surgery is performed on patients whose life expectancy stretches decades into the future. The Xen Gel Stent is fabricated from glutaraldehyde cross-linked porcine collagen. Cross-linked collagen is not permanent, and little has been published on its degradation in the subconjunctival space.
I was a surgery resident in the early 1980s before switching to ophthalmology; at the time, we transitioned from using the patient’s clotted blood to seal Dacron grafts to grafts treated with cross-linked collagen. Histology showed that the nonnative collagen was degraded and infiltrated by native fibroblasts over time.5 It is unclear whether this could happen with the Xen, but the potential risk of degradation6 may warrant avoiding its implantation in very young patients.
SAFETY CONCERNS
Once surgical devices are approved based on clinical trials in adults, surgeons are free to use these devices in children under the FDA’s practice of medicine standard. Thus, all of the devices mentioned herein are used off-label in children, and none has been systematically studied in pediatric patients. The CyPass Micro-Stent (Alcon; no longer available) was being used in children in Europe, and I am aware of at least one case in which the device migrated into the suprachoroidal space in a buphthalmic eye. Shouldn’t we be collecting data so that we can collectively avoid repeating mistakes in young patients in whom the stakes are high?
Discussions with the FDA about how to design pediatric MIGS studies—or at least collect early safety data—are ongoing. About 2 years ago, I proposed a pediatric study of the Preserflo MicroShunt to the FDA, and, together with Santen, we worked to develop a protocol for using the device in children via compassionate use and early-access pathways, tagging onto the existing investigational device exemption. We received the go-ahead to treat a preliminary cohort of 10 eyes in November 2019. All of the children were required to be at least 6 months of age, to have a history of at least one failed conventional surgery, and to have any childhood glaucoma diagnosis except uveitic glaucoma.
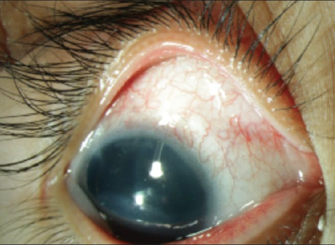
As part of this study, I treated an 8-year-old with late-diagnosed primary congenital glaucoma. She had a history of bilateral GATT, which had been performed on the right eye when she was 2 years of age and had failed, as well as implantation of a limbus-based glaucoma drainage device. The Preserflo MicroShunt was placed superonasally, with 40 mg of mitomycin C injected posteriorly. Figure 4 was captured at the patient’s 2-week postoperative visit. Her IOP was 12 mm Hg at 2.5 months postoperatively, and to date, she is doing well on no medication.
Figure 4. An 8-year-old with late-diagnosed primary congenital glaucoma and a history of GATT and limbus-based glaucoma drainage device implantation. At 2.5 months after treatment with the Preserflo MicroShunt, IOP was 12 mm Hg.
Additionally, I treated a 3-year-old with aniridia and a primary limbus-based glaucoma drainage device placed during the patient’s first month of life. The patient’s IOPs were in the 30s and 40s despite maximum tolerated medical therapy. Central corneal thickness was 1,100 μm, and progressive optic nerve cupping was observed. Two months after surgery, the patient’s IOP ranged from 15 to 25 mm Hg, the cornea was clear, and the cupping had been reversed (Figure 5). I am confident that the procedure helped this child, but the inability to measure IOP with confidence raises an important question: How do we design clinical trials for childhood glaucoma?
Figure 5. A 3-year-old with aniridia and a limbus-based glaucoma drainage device presented with IOPs in the 30s to 40s, a central corneal thickness of 1,100 μm, and progressive optic nerve cupping. Two months after treatment with the Preserflo MicroShunt, the patient’s IOP ranged from 15 to 25 mm Hg, the cornea was clear, and the cupping had reversed.
Device registries and prospective clinical trials at childhood glaucoma centers are baby steps we can take in this pursuit. We cannot, however, use adult-based clinical trial designs for children. I am grateful to the FDA for the agency’s willingness to work with pediatric glaucoma specialists on this issue, and I look forward to providing guidance on how to design studies that will give us the information we need to take the best care of these patients.
CONCLUSION
The MIGS revolution is benefitting pediatric glaucoma surgeons, but it is important to remember that children’s eyes are not simply small adult eyes. Pediatric patients have widely varying pathophysiology, they have very different time horizons (in both the short and long terms), and they possess different risk tolerances. Moreover, many of these patients are monocular. The stakes are high, and we collectively must strive to responsibly acquire safety and efficacy data in these highly vulnerable individuals.
1. Areaux Jr RG, Grajewski AL, Balasubramianiam S, et al. Trabeculectomy ab interno with the Trab360 device for childhood glaucomas. Am J Ophthalmol. 2020;209;178-186.
2. Khouri AS, Wong SH. Ab interno trabeculectomy with a dual blade: surgical technique for childhood glaucoma. J Glaucoma. 2017;26(8):749-751.
3. Harvey MM, Schmitz JW. Use of ab interno Kahook Dual Blade trabeculectomy for treatment or primary congenital glaucoma. Eur J Ophthalmol. 2020;30(1):NP16-NP20.
4. Smith O, Grover DS, Emanuel ME, Godfrey DG, Fellman RL. Xen Gel Stent in pediatric glaucoma. J Glaucoma. 2020;29(4):e19-e22.
5. Wilson GJ, MacGregor DC, Klement PA, et al. A compliant Corethane/Dacron composite vascular prosthesis – comparison with 4-mm ePTFE grafts in a canine model. ASIO Journal. 1993;39(3):M526-M531.
6. Widder RA, Kuhnrich P, Hild M, et al. Intraocular degradation of Xen45 gel stent 3 years after its implantation. J Glaucoma. 2019;28:e171-e173.
